Telefon:
+49 (0)241 95 163 153
Fax:
+49 (0)241 95 163 155
E-Mail:
orders@antikoerper-online.de

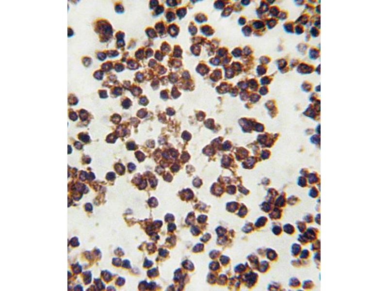
ALOX15 Antikörper (C-Term)

Dieser Kaninchen Polyklonal Antikörper detektiert spezifisch ALOX15 in WB, IF und IHC (p). Es zeigt Reaktivität gegenüber Proben von Human.
Produktnummer ABIN392383
434,77 €
Zzgl. Versandkosten 20,00 € und MwSt
Lieferung nach: Deutschland
Lieferung in 14 bis 17 Werktagen

Kurzübersicht für ALOX15 Antikörper (C-Term) (ABIN392383)

Target

Alle ALOX15 Antikörper anzeigen
ALOX15 (Arachidonate 15-Lipoxygenase (ALOX15))

Reaktivität

  • 62
  • 25
  • 21
  • 2
  • 2
  • 2
  • 2
  • 1
  • 1
Human

Wirt

  • 51
  • 13
  • 1
Kaninchen

Klonalität

  • 51
  • 14
Polyklonal

Konjugat

  • 32
  • 7
  • 5
  • 3
  • 1
  • 1
  • 1
  • 1
  • 1
  • 1
  • 1
  • 1
  • 1
  • 1
  • 1
  • 1
  • 1
  • 1
  • 1
  • 1
  • 1
  • 1
Dieser ALOX15 Antikörper ist unkonjugiert

Applikation

  • 36
  • 21
  • 18
  • 13
  • 13
  • 12
  • 10
  • 10
  • 8
  • 5
  • 4
  • 1
  • 1
Western Blotting (WB), Immunofluorescence (IF), Immunohistochemistry (Paraffin-embedded Sections) (IHC (p))

Klon

RB17156
  • Bindungsspezifität

    • 16
    • 10
    • 4
    • 3
    • 3
    • 3
    • 1
    • 1
    • 1
    • 1
    • 1
    • 1
    • 1
    • 1
    • 1
    AA 610-643, C-Term

    Aufreinigung

    This antibody is prepared by Saturated Ammonium Sulfate (SAS) precipitation followed by dialysis against PBS.

    Immunogen

    This ALOX15 antibody is generated from rabbits immunized with a KLH conjugated synthetic peptide between 610-643 amino acids from the C-terminal region of human ALOX15.

    Isotyp

    Ig Fraction
  • Applikationshinweise

    IF: 1:10~50. WB: 1:2000. WB: 1:1000. IHC-P: 1:10~50

    Beschränkungen

    Nur für Forschungszwecke einsetzbar
  • Format

    Liquid

    Buffer

    Purified polyclonal antibody supplied in PBS with 0.09 % (W/V) sodium azide.

    Konservierungsmittel

    Sodium azide

    Vorsichtsmaßnahmen

    This product contains Sodium azide: a POISONOUS AND HAZARDOUS SUBSTANCE which should be handled by trained staff only.

    Lagerung

    4 °C,-20 °C

    Informationen zur Lagerung

    Maintain refrigerated at 2-8 °C for up to 6 months. For long term storage store at -20 °C in small aliquots to prevent freeze-thaw cycles.

    Haltbarkeit

    6 months
  • Target

    ALOX15 (Arachidonate 15-Lipoxygenase (ALOX15))

    Andere Bezeichnung

    ALOX15

    Hintergrund

    ALOX15 converts arachidonic acid to 15S-hydroperoxyeicosatetraenoic acid. The protein also acts on C-12 of arachidonate as well as on linoleic acid.

    Molekulargewicht

    74804

    Gen-ID

    246

    NCBI Accession

    NP_001131

    UniProt

    P16050

    Pathways

    Regulation of Actin Filament Polymerization
Sie sind hier:
Chat with us!