Telefon:
+49 (0)241 95 163 153
Fax:
+49 (0)241 95 163 155
E-Mail:
orders@antikoerper-online.de

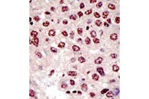
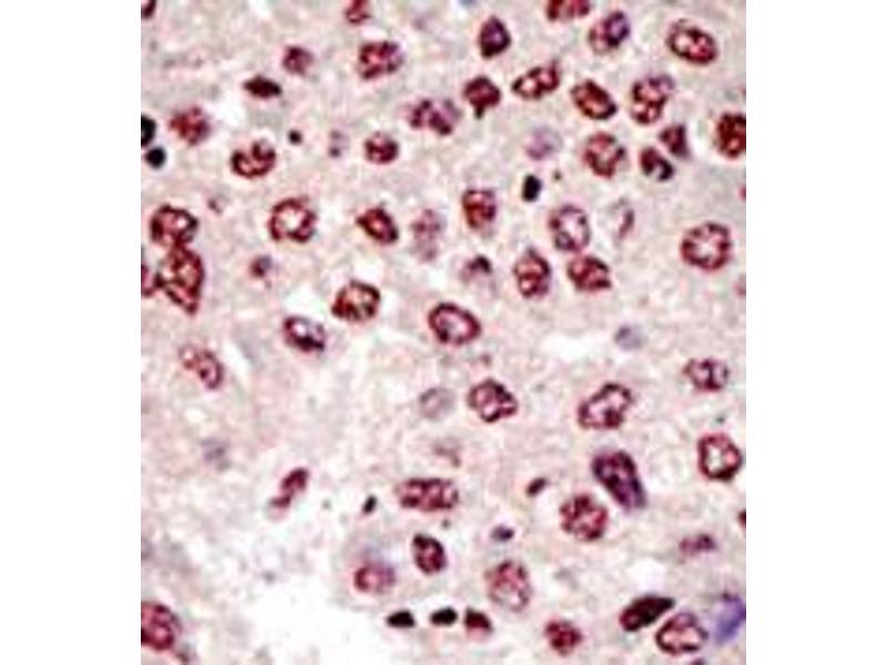
UBE4B Antikörper (N-Term)

Der Kaninchen Polyklonal anti-UBE4B Antikörper (ABIN357483) detektiert spezifisch UBE4B in WB, IHC (p) und EIA. Dieser Antikörper reagiert spezifisch mit Proben aus Human und Maus.
Produktnummer ABIN357483
870,77 €
Zzgl. Versandkosten 20,00 € und MwSt
0.4 mL
Lieferung nach: Deutschland
Lieferung in 16 Werktagen

Kurzübersicht für UBE4B Antikörper (N-Term) (ABIN357483)

Target

Alle UBE4B Antikörper anzeigen
UBE4B (Ubiquitin Conjugation Factor E4 B (UBE4B))

Reaktivität

  • 48
  • 33
  • 15
  • 3
  • 3
  • 1
  • 1
  • 1
  • 1
Human, Maus

Wirt

  • 45
  • 3
Kaninchen

Klonalität

  • 32
  • 16
Polyklonal

Konjugat

  • 27
  • 3
  • 2
  • 2
  • 2
  • 2
  • 2
  • 2
  • 1
  • 1
  • 1
  • 1
  • 1
  • 1
Dieser UBE4B Antikörper ist unkonjugiert

Applikation

  • 37
  • 14
  • 14
  • 12
  • 5
  • 4
  • 4
  • 2
  • 1
Western Blotting (WB), Immunohistochemistry (Paraffin-embedded Sections) (IHC (p)), Enzyme Immunoassay (EIA)
  • Bindungsspezifität

    • 8
    • 4
    • 3
    • 2
    • 2
    • 1
    • 1
    • 1
    • 1
    • 1
    • 1
    N-Term

    Spezifität

    This antibody detects UBE4B at N-term.

    Aufreinigung

    Protein G column, eluted with high and low pH buffers and neutralized immediately, followed by dialysis against PBS

    Immunogen

    This antibody is generated from rabbits immunized with a KLH conjugated synthetic peptide selected from the N-terminal region of human UBE4B.

    Isotyp

    Ig Fraction
  • Applikationshinweise

    ELISA 1: 1,000. Western blot 1: 100 - 1: 500. Immunohistochemistry 1: 50 - 1: 100.
    Other applications not tested.
    Optimal dilutions are dependent on conditions and should be determined by the user.

    Beschränkungen

    Nur für Forschungszwecke einsetzbar
  • Format

    Liquid

    Konzentration

    0.25 mg/mL

    Buffer

    PBS with 0.09 % (W/V) sodium azide

    Konservierungsmittel

    Sodium azide

    Vorsichtsmaßnahmen

    This product contains sodium azide: a POISONOUS AND HAZARDOUS SUBSTANCE which should be handled by trained staff only.

    Handhabung

    Avoid repeated freezing and thawing.

    Lagerung

    4 °C/-20 °C

    Informationen zur Lagerung

    Store the antibody at 2 - 8 °C up to one month or (in aliquots) at -20 °C for longer.
  • Target

    UBE4B (Ubiquitin Conjugation Factor E4 B (UBE4B))

    Andere Bezeichnung

    UBE4B

    Hintergrund

    The modification of proteins with ubiquitin is an important cellular mechanism for targeting abnormal or short-lived proteins for degradation. Ubiquitination involves at least three classes of enzymes: ubiquitin-activating enzymes, or E1s, ubiquitin-conjugating enzymes, or E2s, and ubiquitin-protein ligases, or E3s. UBE4B represents an additional conjugation factor, E4, which is involved in multiubiquitin chain assembly. UBE4B also the strongest candidate among the neuroblastoma tumor suppressors.Synonyms: HDNB1, Homozygously deleted in neuroblastoma 1, KIAA0684, UFD2, Ubiquitin conjugation factor E4 B, Ubiquitin fusion degradation protein 2

    Molekulargewicht

    133275 Da

    Gen-ID

    10277, 9606

    UniProt

    O95155
Sie sind hier:
Chat with us!