Telefon:
+49 (0)241 95 163 153
Fax:
+49 (0)241 95 163 155
E-Mail:
orders@antikoerper-online.de

Rekombinanter UBE4B Antikörper

Dieser Kaninchen Monoklonal Antikörper detektiert spezifisch UBE4B in WB, FACS und IF (p). Es zeigt Reaktivität gegenüber Proben von Human.
Produktnummer ABIN7800713
598,92 €
Zzgl. Versandkosten 20,00 € und MwSt
100 μL
Lieferung nach: Deutschland
Lieferung in 7 bis 10 Werktagen

Kurzübersicht für Rekombinanter UBE4B Antikörper (ABIN7800713)

Target

Alle UBE4B Antikörper anzeigen
UBE4B (Ubiquitin Conjugation Factor E4 B (UBE4B))

Antikörpertyp

Recombinant Antibody

Reaktivität

  • 48
  • 34
  • 15
  • 3
  • 3
  • 1
  • 1
  • 1
  • 1
Human

Wirt

  • 45
  • 3
Kaninchen

Klonalität

  • 33
  • 15
Monoklonal

Konjugat

  • 27
  • 3
  • 2
  • 2
  • 2
  • 2
  • 2
  • 2
  • 1
  • 1
  • 1
  • 1
  • 1
  • 1
Dieser UBE4B Antikörper ist unkonjugiert

Applikation

  • 37
  • 14
  • 14
  • 12
  • 5
  • 5
  • 4
  • 1
  • 1
Western Blotting (WB), Flow Cytometry (FACS), Immunofluorescence (Paraffin-embedded Sections) (IF (p))

Güteklasse

KD Validated

Klon

24GB1765
  • Expressionssystem

    HEK-293 Cells

    Verwendungszweck

    KD-Validated Ubiquitination Factor E4B Recombinant Rabbit mAb

    Kreuzreaktivität

    Maus, Ratte

    Aufreinigung

    Affinity Purified

    Immunogen

    A synthesized peptide derived from human UBE4B

    Isotyp

    IgG
  • Applikationshinweise

    Western Blotting (WB): 1:1,000-1:5,000, Flow Cytometry (FCM): 1:200-1:2,000, Immunohistochemistry-Paraffin (IHC-P): 1:100-1:200

    Kommentare

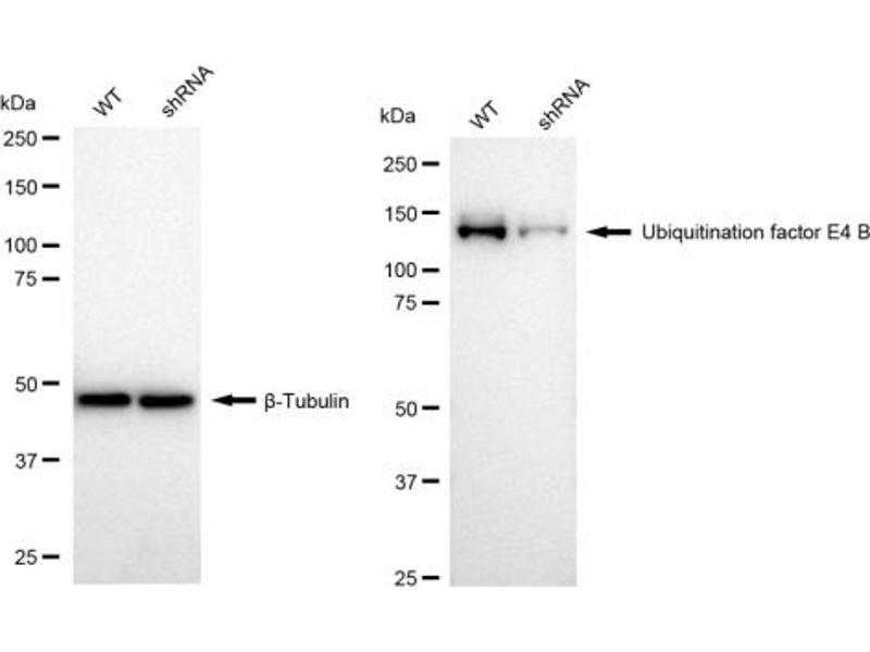
    We assess the antibodies’ specificity and selectivity using knockdown techniques. Our validation approach is straightforward: if an antibody identifies a signal in wild-type (WT) cells, but this signal is absent or noticeably reduced in gene-silenced (KD) cells, we consider the antibody to be highly specific.

    Beschränkungen

    Nur für Forschungszwecke einsetzbar
  • Format

    Liquid

    Buffer

    PBS (pH 7.4) containing 50% glycerol and 0.02% sodium azide.

    Konservierungsmittel

    Sodium azide

    Vorsichtsmaßnahmen

    This product contains Sodium azide: a POISONOUS AND HAZARDOUS SUBSTANCE which should be handled by trained staff only.

    Lagerung

    -20 °C

    Informationen zur Lagerung

    Store at -20 °C for one year.

    Haltbarkeit

    12 months
  • Target

    UBE4B (Ubiquitin Conjugation Factor E4 B (UBE4B))

    Andere Bezeichnung

    Ubiquitination Factor E4B

    Molekulargewicht

    146 kDa

    Gen-ID

    10277

    UniProt

    O95155
Sie sind hier:
Chat with us!