Telefon:
+49 (0)241 95 163 153
Fax:
+49 (0)241 95 163 155
E-Mail:
orders@antikoerper-online.de

SUV39H2 Antikörper (N-Term)

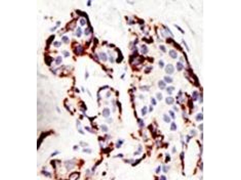
Der Kaninchen Polyklonal anti-SUV39H2 Antikörper (ABIN356790) detektiert spezifisch SUV39H2 in WB, IHC (p) und EIA. Dieser Antikörper reagiert spezifisch mit Proben aus Human.
Produktnummer ABIN356790
870,77 €
Zzgl. Versandkosten 20,00 € und MwSt
0.4 mL
Lieferung nach: Deutschland
Lieferung in 16 Werktagen

Kurzübersicht für SUV39H2 Antikörper (N-Term) (ABIN356790)

Target

Alle SUV39H2 Antikörper anzeigen
SUV39H2 (Suppressor of Variegation 3-9 Homolog 2 (Drosophila) (SUV39H2))

Reaktivität

  • 75
  • 40
  • 34
  • 2
  • 2
  • 2
  • 1
  • 1
  • 1
  • 1
Human

Wirt

  • 73
  • 2
  • 1
Kaninchen

Klonalität

  • 56
  • 20
Polyklonal

Konjugat

  • 38
  • 6
  • 3
  • 3
  • 3
  • 3
  • 3
  • 3
  • 3
  • 3
  • 3
  • 3
  • 1
  • 1
Dieser SUV39H2 Antikörper ist unkonjugiert

Applikation

  • 59
  • 35
  • 34
  • 12
  • 4
  • 4
  • 2
  • 2
  • 1
  • 1
  • 1
Western Blotting (WB), Immunohistochemistry (Paraffin-embedded Sections) (IHC (p)), Enzyme Immunoassay (EIA)
  • Bindungsspezifität

    • 8
    • 8
    • 8
    • 5
    • 2
    • 2
    • 2
    • 2
    • 1
    • 1
    • 1
    • 1
    • 1
    • 1
    • 1
    • 1
    • 1
    N-Term

    Aufreinigung

    Protein G Chromatography, eluted with high and low pH buffers and neutralized immediately, followed by dialysis against PBS.

    Immunogen

    This antibody is generated from rabbits immunized with a KLH conjugated synthetic peptide selected from the N-terminal region of humanSUV39H2.

    Isotyp

    Ig Fraction
  • Applikationshinweise

    ELISA: 1/1,000. Western blot: 1/100-1/500. Immunohistochemistry: 1/50-1/100.
    Other applications not tested.
    Optimal dilutions are dependent on conditions and should be determined by the user.

    Beschränkungen

    Nur für Forschungszwecke einsetzbar
  • Format

    Liquid

    Konzentration

    0.25 mg/mL

    Buffer

    PBS containing 0.09 % (W/V) Sodium Azide as preservative.

    Konservierungsmittel

    Sodium azide

    Vorsichtsmaßnahmen

    This product contains sodium azide: a POISONOUS AND HAZARDOUS SUBSTANCE which should be handled by trained staff only.

    Handhabung

    Avoid repeated freezing and thawing.

    Lagerung

    4 °C/-20 °C

    Informationen zur Lagerung

    Store the antibody undiluted at 2-8 °C for one month or (in aliquots) at-20 °C for longer.
  • Target

    SUV39H2 (Suppressor of Variegation 3-9 Homolog 2 (Drosophila) (SUV39H2))

    Andere Bezeichnung

    SUV39H2 / KMT1B

    Hintergrund

    The murine gene Suv39h2 encodes an H3 histone methyltransferase (HMTase) 59 % identical in sequence to mouse Suv39h1. During embryogenesis, both proteins overlap in tissue expression, yet Suv39h2 transcripts are restricted to the testes in adult animals. Immunolocalization of the Suv39h2 protein during spermatogenesis indicates enrichment at the heterochromatin from the leptotene to the round spermatid stage. Moreover, Suv39h2 specifically accumulates with chromatin of the sex chromosomes, which undergo transcriptional silencing during the first meiotic prophase. Suv39h2 HMTase may also organize meiotic heterochromatin with the potential for epigenetic imprint to the male germline.Synonyms: Histone H3-K9 methyltransferase 2, Histone-lysine N-methyltransferase SUV39H2, Lysine N-methyltransferase 1B, Suppressor of variegation 3-9 homolog 2

    Gen-ID

    5874

    UniProt

    Q9H5I1
Sie sind hier:
Chat with us!