Telefon:
+49 (0)241 95 163 153
Fax:
+49 (0)241 95 163 155
E-Mail:
orders@antikoerper-online.de

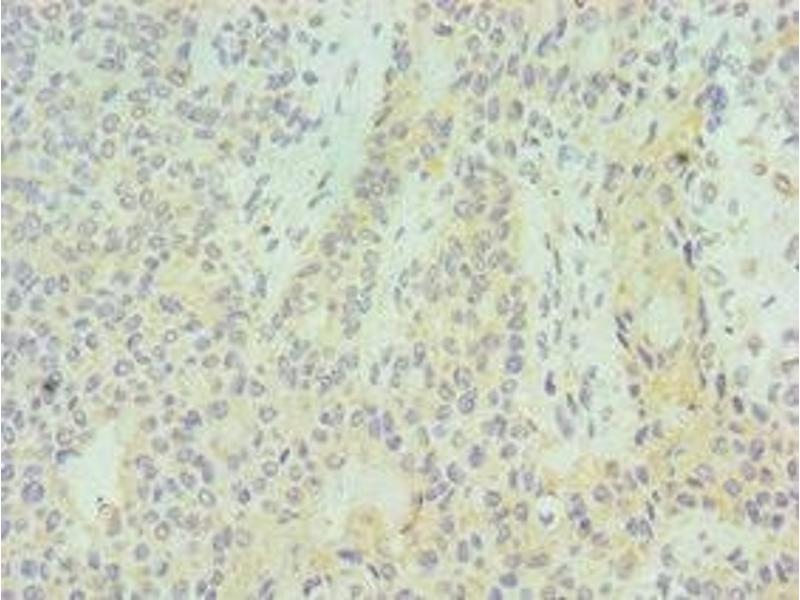
SUV39H2 Antikörper (AA 201-410)

Der Kaninchen Polyklonal anti-SUV39H2 Antikörper (ABIN7155529) detektiert spezifisch SUV39H2 in WB, ELISA und IHC. Dieser Antikörper reagiert spezifisch mit Proben aus Human.
Produktnummer ABIN7155529
328,90 €
Zzgl. Versandkosten 20,00 € und MwSt
Lieferung nach: Deutschland
Lieferung in 11 bis 15 Werktagen

Kurzübersicht für SUV39H2 Antikörper (AA 201-410) (ABIN7155529)

Target

Alle SUV39H2 Antikörper anzeigen
SUV39H2 (Suppressor of Variegation 3-9 Homolog 2 (Drosophila) (SUV39H2))

Reaktivität

  • 75
  • 40
  • 34
  • 2
  • 2
  • 2
  • 1
  • 1
  • 1
  • 1
Human

Wirt

  • 73
  • 2
  • 1
Kaninchen

Klonalität

  • 56
  • 20
Polyklonal

Konjugat

  • 38
  • 6
  • 3
  • 3
  • 3
  • 3
  • 3
  • 3
  • 3
  • 3
  • 3
  • 3
  • 1
  • 1
Dieser SUV39H2 Antikörper ist unkonjugiert

Applikation

  • 59
  • 34
  • 33
  • 12
  • 5
  • 4
  • 2
  • 2
  • 2
  • 1
  • 1
Western Blotting (WB), ELISA, Immunohistochemistry (IHC)
  • Bindungsspezifität

    • 8
    • 8
    • 8
    • 5
    • 3
    • 2
    • 2
    • 2
    • 1
    • 1
    • 1
    • 1
    • 1
    • 1
    • 1
    • 1
    AA 201-410

    Verwendungszweck

    SUV39H2 Antibody

    Aufreinigung

    Antigen Affinity Purified

    Immunogen

    Recombinant Human Histone-lysine N-methyltransferase SUV39H2 protein (201-410AA)

    Isotyp

    IgG
  • Applikationshinweise

    Optimal working dilution should be determined by the investigator.

    Beschränkungen

    Nur für Forschungszwecke einsetzbar
  • Format

    Liquid

    Buffer

    PBS with 0.02 % sodium azide, 50 % glycerol, pH 7.3.

    Konservierungsmittel

    Sodium azide

    Vorsichtsmaßnahmen

    This product contains Sodium azide: a POISONOUS AND HAZARDOUS SUBSTANCE which should be handled by trained staff only.

    Lagerung

    -20 °C,-80 °C

    Informationen zur Lagerung

    Upon receipt, store at -20°C or -80°C. Avoid repeated freeze.
  • Target

    SUV39H2 (Suppressor of Variegation 3-9 Homolog 2 (Drosophila) (SUV39H2))

    Andere Bezeichnung

    SUV39H2

    Hintergrund

    Background: Histone methyltransferase that specifically trimethylates \\\'Lys-9\\\' of histone H3 using monomethylated H3 \\\'Lys-9\\\' as substrate. H3 \\\'Lys-9\\\' trimethylation represents a specific tag for epigenetic transcriptional repression by recruiting HP1 (CBX1, CBX3 and/or CBX5) proteins to methylated histones. Mainly functions in heterochromatin regions, thereby playing a central role in the establishment of constitutive heterochromatin at pericentric and telomere regions. H3 \\\'Lys-9\\\' trimethylation is also required to direct DNA methylation at pericentric repeats. SUV39H1 is targeted to histone H3 via its interaction with RB1 and is involved in many processes, such as cell cycle regulation, transcriptional repression and regulation of telomere length. May participate in regulation of higher-order chromatin organization during spermatogenesis. Recruited by the large PER complex to the E-box elements of the circadian target genes such as PER2 itself or PER1, contributes to the conversion of local chromatin to a heterochromatin-like repressive state through H3 \\\'Lys-9\\\' trimethylation.

    Aliases: FLJ23414 antibody, H3 K9 HMTase 2 antibody, H3-K9-HMTase 2 antibody, Histone H3 K9 methyltransferase 2 antibody, Histone H3-K9 methyltransferase 2 antibody, Histone lysine N methyltransferase H3 lysine 9 specific 2 antibody, Histone lysine N methyltransferase SUV39H2 antibody, Histone-lysine N-methyltransferase SUV39H2 antibody, KMT1B antibody, Lysine N methyltransferase 1B antibody, Lysine N-methyltransferase 1B antibody, sSuppressor of variegation 3 9 homolog 2 (Drosophila) antibody, Su(var)3 9 Drosophila homolog of 2 antibody, Su(var)3 9 homolog 2 antibody, Su(var)3-9 homolog 2 antibody, Suppressor of variegation 3 9 homolog 2 antibody, Suppressor of variegation 3-9 homolog 2 antibody, Suv39h2 antibody, SUV92_HUMAN antibody

    UniProt

    Q9H5I1
Sie sind hier:
Chat with us!