Telefon:
+49 (0)241 95 163 153
Fax:
+49 (0)241 95 163 155
E-Mail:
orders@antikoerper-online.de

PIAS2 Antikörper (C-Term)

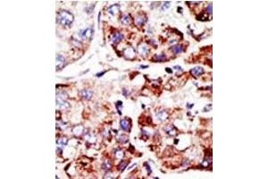
Dieser Kaninchen Polyklonal Antikörper detektiert spezifisch PIAS2 in WB, IHC (p) und EIA. Es zeigt Reaktivität gegenüber Proben von Human.
Produktnummer ABIN356767
870,77 €
Zzgl. Versandkosten 20,00 € und MwSt
0.4 mL
Lieferung nach: Deutschland
Lieferung in 16 Werktagen

Kurzübersicht für PIAS2 Antikörper (C-Term) (ABIN356767)

Target

Alle PIAS2 Antikörper anzeigen
PIAS2 (Protein Inhibitor of Activated STAT, 2 (PIAS2))

Reaktivität

  • 71
  • 38
  • 34
  • 10
  • 8
  • 8
  • 8
  • 6
  • 4
  • 1
  • 1
  • 1
Human

Wirt

  • 64
  • 6
  • 2
  • 1
Kaninchen

Klonalität

  • 58
  • 15
Polyklonal

Konjugat

  • 48
  • 4
  • 3
  • 2
  • 2
  • 2
  • 2
  • 2
  • 2
  • 2
  • 1
  • 1
  • 1
  • 1
Dieser PIAS2 Antikörper ist unkonjugiert

Applikation

  • 59
  • 25
  • 17
  • 15
  • 12
  • 6
  • 2
  • 1
  • 1
  • 1
  • 1
Western Blotting (WB), Immunohistochemistry (Paraffin-embedded Sections) (IHC (p)), Enzyme Immunoassay (EIA)
  • Bindungsspezifität

    • 10
    • 9
    • 9
    • 7
    • 2
    • 2
    • 2
    • 1
    • 1
    • 1
    • 1
    • 1
    • 1
    • 1
    • 1
    • 1
    • 1
    • 1
    • 1
    • 1
    • 1
    C-Term

    Spezifität

    This antibody is specific to PIAS2 (PIASx1/2) (C-term).

    Aufreinigung

    Protein G Chromatography, eluted with high and low pH buffers and neutralized immediately, followed by dialysis against PBS.

    Immunogen

    This antibody is generated from rabbits immunized with a KLH conjugated synthetic peptide selected from the C-terminal region of human PIASx1/2.

    Isotyp

    Ig Fraction
  • Applikationshinweise

    ELISA: 1/1,000. Western blot: 1/100-1/500. Immunohistochemistry: 1/50-1/100.
    Other applications not tested.
    Optimal dilutions are dependent on conditions and should be determined by the user.

    Beschränkungen

    Nur für Forschungszwecke einsetzbar
  • Format

    Liquid

    Konzentration

    0.25 mg/mL

    Buffer

    PBS containing 0.09 % (W/V) Sodium Azide as preservative.

    Konservierungsmittel

    Sodium azide

    Vorsichtsmaßnahmen

    This product contains sodium azide: a POISONOUS AND HAZARDOUS SUBSTANCE which should be handled by trained staff only.

    Handhabung

    Avoid repeated freezing and thawing.

    Lagerung

    4 °C/-20 °C

    Informationen zur Lagerung

    Store the antibody undiluted at 2-8 °C for one month or (in aliquots) at-20 °C for longer.
  • Target

    PIAS2 (Protein Inhibitor of Activated STAT, 2 (PIAS2))

    Andere Bezeichnung

    PIAS2

    Hintergrund

    PIASX functions as an E3-type small ubiquitin-like modifier (SUMO) ligase, stabilizing the interaction between UBE2I and the substrate, and as a SUMO-tethering factor. This protein plays a crucial role as a transcriptional coregulator in various cellular pathways, including the STAT pathway, the p53 pathway and the steroid hormone signaling pathway. The effects of this transcriptional coregulation, transactivation or silencing may vary depending upon the biological context and the PIAS2 isoform studied. However, it seems to be mostly involved in gene silencing. PIASX binds to sumoylated ELK1 and enhances its transcriptional activity by preventing recruitment of HDAC2 by ELK1, thus reversing SUMO-mediated repression of ELK1 transactivation activity. Isoform PIAS2-beta, but not isoform PIAS2-alpha, promotes MDM2 sumoylation. Isoform PIAS2-alpha promotes PARK7 sumoylation. Isoform PIAS2-beta promotes NCOA2 sumoylation more efficiently than isoform PIAS2-alpha.Synonyms: ARIP3, Androgen receptor-interacting protein 3, DAB2-interacting protein, DIP, E3 SUMO-protein ligase PIAS2, Miz1, Msx-interacting zinc finger protein, PIAS-NY protein, PIASX, Protein inhibitor of activated STAT x, Protein inhibitor of activated STAT2

    Gen-ID

    9063, 9606

    UniProt

    O75928

    Pathways

    JAK-STAT Signalweg, Intracellular Steroid Hormone Receptor Signaling Pathway, Regulation of Intracellular Steroid Hormone Receptor Signaling
Sie sind hier:
Chat with us!