Telefon:
+49 (0)241 95 163 153
Fax:
+49 (0)241 95 163 155
E-Mail:
orders@antikoerper-online.de

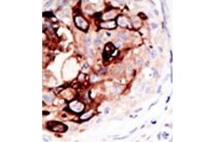
SENP2 Antikörper (C-Term)

Dieser Kaninchen Polyklonal Antikörper detektiert spezifisch SENP2 in WB, IHC (p) und EIA. Es zeigt Reaktivität gegenüber Proben von Human und Maus.
Produktnummer ABIN356752
870,77 €
Zzgl. Versandkosten 20,00 € und MwSt
0.4 mL
Lieferung nach: Deutschland
Lieferung in 16 Werktagen

Kurzübersicht für SENP2 Antikörper (C-Term) (ABIN356752)

Target

Alle SENP2 Antikörper anzeigen
SENP2 (SUMO1/sentrin/SMT3 Specific Peptidase 2 (SENP2))

Reaktivität

  • 49
  • 32
  • 8
  • 5
  • 5
  • 2
  • 2
  • 2
  • 2
  • 1
Human, Maus

Wirt

  • 58
  • 7
Kaninchen

Klonalität

  • 48
  • 17
Polyklonal

Konjugat

  • 27
  • 4
  • 4
  • 3
  • 2
  • 2
  • 2
  • 2
  • 2
  • 2
  • 1
  • 1
  • 1
  • 1
  • 1
  • 1
  • 1
  • 1
  • 1
  • 1
  • 1
  • 1
  • 1
  • 1
  • 1
Dieser SENP2 Antikörper ist unkonjugiert

Applikation

  • 55
  • 28
  • 20
  • 19
  • 15
  • 13
  • 13
  • 11
  • 5
  • 3
  • 1
Western Blotting (WB), Immunohistochemistry (Paraffin-embedded Sections) (IHC (p)), Enzyme Immunoassay (EIA)
  • Bindungsspezifität

    • 15
    • 8
    • 6
    • 5
    • 3
    • 1
    • 1
    • 1
    • 1
    • 1
    • 1
    • 1
    • 1
    • 1
    • 1
    C-Term

    Spezifität

    This antibody is specific to SENP2 (C-term).

    Aufreinigung

    Protein G Chromatography, eluted with high and low pH buffers and neutralized immediately, followed by dialysis against PBS.

    Immunogen

    This antibody is generated from rabbits immunized with a KLH conjugated synthetic peptide selected from the C-terminal region of human SENP2.

    Isotyp

    Ig Fraction
  • Applikationshinweise

    ELISA: 1/1,000. Western blot: 1/100-1/500. Immunohistochemistry: 1/50-1/100.
    Other applications not tested.
    Optimal dilutions are dependent on conditions and should be determined by the user.

    Beschränkungen

    Nur für Forschungszwecke einsetzbar
  • Format

    Liquid

    Konzentration

    0.25 mg/mL

    Buffer

    PBS containing 0.09 % (W/V) Sodium Azide as preservative.

    Konservierungsmittel

    Sodium azide

    Vorsichtsmaßnahmen

    This product contains sodium azide: a POISONOUS AND HAZARDOUS SUBSTANCE which should be handled by trained staff only.

    Handhabung

    Avoid repeated freezing and thawing.

    Lagerung

    4 °C/-20 °C

    Informationen zur Lagerung

    Store the antibody undiluted at 2-8 °C for one month or (in aliquots) at-20 °C for longer.
  • Target

    SENP2 (SUMO1/sentrin/SMT3 Specific Peptidase 2 (SENP2))

    Andere Bezeichnung

    SENP2

    Hintergrund

    SUMO is a small ubiquitin-like protein that can be covalently conjugated to other proteins. SENP2 is one of a group of enzymes that process newly synthesized SUMO1, SUMO2, and SUMO3 into the conjugatable mature forms and catalyze the deconjugation of these same SUMO proteins from their targeted substrates. SENP2 may also down-regulate CTNNB1 levels and thereby modulate the Wnt pathway.Synonyms: Axam2, KIAA1331, SMT3-specific isopeptidase 2, Sentrin-specific protease 2, Sentrin/SUMO-specific protease SENP2, Smt3ip2

    Gen-ID

    59343, 9606

    UniProt

    Q9HC62

    Pathways

    Chromatin Binding
Sie sind hier:
Chat with us!