SENP2 Antikörper (AA 139-523)
Kurzübersicht für SENP2 Antikörper (AA 139-523) (ABIN1490925)
Target
Alle SENP2 Antikörper anzeigenReaktivität
Wirt
Klonalität
Konjugat
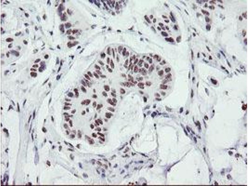
Applikation
Klon
-
-
Bindungsspezifität
- AA 139-523
-
Spezifität
- Human SENP2
-
Aufreinigung
- Protein A/G purified
-
Immunogen
-
Human recombinant protein fragment corresponding to amino acids 139-523 of human SENP2(NP_067640) produced in E. coli.
Type of Immunogen: Recombinant protein -
Isotyp
- IgG1
-
-
-
-
Applikationshinweise
- Approved: Flo (1:100), IF (1:100), IHC, IHC-P (1:150), WB (1:2000)
-
Kommentare
-
Target Species of Antibody: Human
-
Beschränkungen
- Nur für Forschungszwecke einsetzbar
-
-
-
Format
- Liquid
-
Konzentration
- Lot specific
-
Buffer
- PBS, pH 7.3, 1 % BSA, 50 % glycerol, 0.02 % sodium azide
-
Konservierungsmittel
- Sodium azide
-
Vorsichtsmaßnahmen
- This product contains Sodium azide: a POISONOUS AND HAZARDOUS SUBSTANCE which should be handled by trained staff only.
-
Handhabung
- Minimize freezing and thawing.
-
Lagerung
- -20 °C
-
Informationen zur Lagerung
- Store at -20°C. Avoid freeze-thaw cycles.
-
-
- SENP2 (SUMO1/sentrin/SMT3 Specific Peptidase 2 (SENP2))
-
Andere Bezeichnung
- SENP2
-
Hintergrund
-
Name/Gene ID: SENP2
Subfamily: Cysteine C48
Family: Protease
Synonyms: SENP2, SMT3-specific isopeptidase 2, SMT3IP2, AXAM2, KIAA1331, Sentrin-specific protease 2 -
Gen-ID
- 59343
-
NCBI Accession
- NP_067640
-
UniProt
- Q9HC62
-
Pathways
- Chromatin Binding
Target
-