Telefon:
+49 (0)241 95 163 153
Fax:
+49 (0)241 95 163 155
E-Mail:
orders@antikoerper-online.de

TARDBP Antikörper (Internal Region)

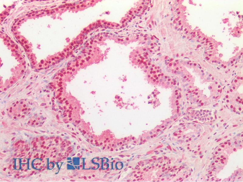
Der Ziege Polyklonal anti-TARDBP Antikörper (ABIN334503) detektiert spezifisch TARDBP in WB, IHC und ELISA. Dieser Antikörper reagiert spezifisch mit Proben aus Human.
Produktnummer ABIN334503
488,25 €
Zzgl. Versandkosten 20,00 € und MwSt
100 μg
Lieferung nach: Deutschland
Lieferung in 5 bis 8 Werktagen

Kurzübersicht für TARDBP Antikörper (Internal Region) (ABIN334503)

Target

Alle TARDBP Antikörper anzeigen
TARDBP (TAR DNA Binding Protein (TARDBP))

Reaktivität

  • 127
  • 80
  • 78
  • 22
  • 8
  • 8
  • 7
  • 6
  • 5
  • 5
  • 5
  • 4
  • 3
  • 1
Human

Wirt

  • 121
  • 25
Ziege

Klonalität

  • 79
  • 67
Polyklonal

Konjugat

  • 81
  • 8
  • 5
  • 5
  • 5
  • 5
  • 5
  • 5
  • 4
  • 3
  • 3
  • 2
  • 2
  • 2
  • 1
  • 1
  • 1
  • 1
  • 1
  • 1
  • 1
  • 1
  • 1
  • 1
  • 1
Dieser TARDBP Antikörper ist unkonjugiert

Applikation

  • 123
  • 76
  • 67
  • 44
  • 40
  • 36
  • 34
  • 18
  • 14
  • 13
  • 4
  • 3
  • 3
  • 3
  • 2
  • 2
  • 1
  • 1
Western Blotting (WB), Immunohistochemistry (IHC), ELISA

Güteklasse

Verified
  • Bindungsspezifität

    • 15
    • 12
    • 8
    • 8
    • 7
    • 4
    • 3
    • 2
    • 2
    • 2
    • 2
    • 2
    • 2
    • 2
    • 1
    • 1
    • 1
    • 1
    • 1
    • 1
    • 1
    • 1
    Internal Region

    Verwendungszweck

    TDP-43

    Sequenz

    HISNAEPKHN SNRQ

    Kreuzreaktivität

    Rind (Kuh), Hund, Human, Maus, Schwein, Ratte

    Aufreinigung

    Purified from goat serum by ammonium sulphate precipitation followed by antigen affinity chromatography using the immunizing peptide.

    Immunogen

    Peptide with sequence C-HISNAEPKHNSNRQ, from the internal region of the protein sequence according to NP_031401.1.

    Isotyp

    IgG
  • Applikationshinweise

    Immunohistochemistry: Paraffin embedded Human Prostate. Recommended concentration: 5 μg/mL.

    Western Blot: Approx. 45 kDa band observed in lysates of cell line Jurkat and in Human Cerebellum and approx. 48 kDa in Human Frontal Cortex and Hippocampus lysates (calculated MW of 44.7 kDa according to NP_031401.1). Recommended concentration: 0.3-1 μg/mL.

    Peptide ELISA: antibody detection limit dilution 1:16000.

    Beschränkungen

    Nur für Forschungszwecke einsetzbar
  • Format

    Liquid

    Konzentration

    0.5 mg/mL

    Buffer

    Supplied at 0.5 mg/mL in Tris saline, 0.02 % sodium azide, pH 7.3 with 0.5 % bovine serum albumin.

    Konservierungsmittel

    Sodium azide

    Vorsichtsmaßnahmen

    This product contains Sodium azide: a POISONOUS AND HAZARDOUS SUBSTANCE which should be handled by trained staff only.

    Handhabung

    Minimize freezing and thawing.

    Lagerung

    -20 °C

    Informationen zur Lagerung

    Aliquot and store at -20°C, with minimal freeze/thawing. A working aliquot may be refrigerated at 4°C for a few weeks and still remain viable.
  • Target

    TARDBP (TAR DNA Binding Protein (TARDBP))

    Andere Bezeichnung

    TARDBP

    Hintergrund

    TARDBP, TAR DNA binding protein, ALS10, TDP-43, OTTHUMP00000002171, TAR DNA-binding protein-43

    Gen-ID

    23435, 230908

    NCBI Accession

    NP_031401

    Pathways

    Positive Regulation of Peptide Hormone Secretion
Sie sind hier:
Chat with us!