Telefon:
+49 (0)241 95 163 153
Fax:
+49 (0)241 95 163 155
E-Mail:
orders@antikoerper-online.de

ATR Antikörper (Ser428)

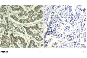
Der Kaninchen Polyklonal anti-ATR Antikörper wird verwendet zum Nachweis von ATR in Proben von Human. Er wurde validiert für IHC (p).
Produktnummer ABIN319379
606,15 €
Zzgl. Versandkosten 20,00 € und MwSt
Lieferung nach: Deutschland
Lieferung in 16 Werktagen

Kurzübersicht für ATR Antikörper (Ser428) (ABIN319379)

Target

Alle ATR Antikörper anzeigen
ATR (Ataxia Telangiectasia and Rad3 Related (ATR))

Reaktivität

  • 7
  • 2
  • 1
  • 1
  • 1
  • 1
  • 1
Human

Wirt

  • 5
  • 2
Kaninchen

Klonalität

  • 5
  • 2
Polyklonal

Konjugat

  • 7
Dieser ATR Antikörper ist unkonjugiert

Applikation

  • 7
  • 5
  • 5
  • 4
  • 2
  • 1
  • 1
  • 1
Immunohistochemistry (Paraffin-embedded Sections) (IHC (p))
  • Bindungsspezifität

    • 2
    • 1
    • 1
    • 1
    • 1
    Ser428

    Spezifität

    This antibody detects endogenous levels of total ATR protein.

    Aufreinigung

    Immunoaffinity Chromatography.

    Immunogen

    The antiserum was produced against synthesized non-phosphopeptide derived from human ATR around the phosphorylation site of Serine 428 (G-I-SP-P-K).
  • Applikationshinweise

    Immunohistochemistry (1/50-1/100).
    Other applications not tested.
    Optimal dilutions are dependent on conditions and should be determined by the user.

    Beschränkungen

    Nur für Forschungszwecke einsetzbar
  • Buffer

    PBS (without Mg2+ and Ca2+), pH 7.4, 150 mM NaCl, 0.02 % Sodium Azide and 50 % Glycerol.

    Konservierungsmittel

    Sodium azide

    Vorsichtsmaßnahmen

    This product contains sodium azide: a POISONOUS AND HAZARDOUS SUBSTANCE which should be handled by trained staff only.

    Handhabung

    Avoid repeated freezing and thawing.

    Lagerung

    -20 °C

    Informationen zur Lagerung

    Store the antibody (in aliquots) at-20 °C.
  • Target

    ATR (Ataxia Telangiectasia and Rad3 Related (ATR))

    Andere Bezeichnung

    ATR / FRP1

    Hintergrund

    Ataxia Telangiectasia Mutated (ATM) and Rad 3-related protein (ATR) is a phosphatidylinositol kinase (PK)-related kinase which functions in response to DNA damage and repair as well as at DNA replication checkpoints during the cell cycle. ATR is a member of the DNA-PK kinases closely related to ATM and DNA-PK for which DNA stimulates the observed kinase activity. Chromosomal remodeling proteins have also been reported to associate with ATR complexes. Several known components of the NuRD complex including histone deacetylase 1 (HDAC1), HDAC2, and CHD4.Synonyms: Ataxia telangiectasia and Rad3-related protein, FRAP-related protein 1, Serine/threonine-protein kinase ATR

    Gen-ID

    545

    NCBI Accession

    NP_001175

    UniProt

    Q13535

    Pathways

    p53 Signalweg, Apoptose, DNA Reparatur, Positive Regulation of Response to DNA Damage Stimulus
Sie sind hier:
Chat with us!