Telefon:
+49 (0)241 95 163 153
Fax:
+49 (0)241 95 163 155
E-Mail:
orders@antikoerper-online.de

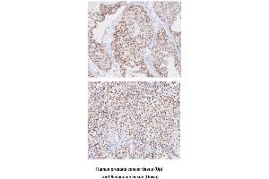
TARDBP Antikörper (AA 1-260)

Der Maus Monoklonal anti-TARDBP Antikörper (Klon k1B8) (ABIN306465) detektiert spezifisch TARDBP in WB, IHC, ELISA und FACS. Dieser Antikörper reagiert spezifisch mit Proben aus Human.
Produktnummer ABIN306465
642,31 €
Zzgl. Versandkosten 20,00 € und MwSt
Lieferung nach: Deutschland
Lieferung in 10 bis 13 Werktagen

Kurzübersicht für TARDBP Antikörper (AA 1-260) (ABIN306465)

Target

Alle TARDBP Antikörper anzeigen
TARDBP (TAR DNA Binding Protein (TARDBP))

Reaktivität

  • 127
  • 80
  • 78
  • 22
  • 8
  • 8
  • 7
  • 6
  • 5
  • 5
  • 5
  • 4
  • 3
  • 1
Human

Wirt

  • 121
  • 24
  • 1
Maus

Klonalität

  • 80
  • 66
Monoklonal

Konjugat

  • 81
  • 8
  • 5
  • 5
  • 5
  • 5
  • 5
  • 5
  • 4
  • 3
  • 3
  • 2
  • 2
  • 2
  • 1
  • 1
  • 1
  • 1
  • 1
  • 1
  • 1
  • 1
  • 1
  • 1
  • 1
Dieser TARDBP Antikörper ist unkonjugiert

Applikation

  • 123
  • 76
  • 67
  • 44
  • 40
  • 35
  • 34
  • 18
  • 14
  • 13
  • 4
  • 3
  • 3
  • 3
  • 2
  • 2
  • 1
  • 1
Western Blotting (WB), Immunohistochemistry (IHC), ELISA, Flow Cytometry (FACS)

Klon

K1B8
  • Bindungsspezifität

    • 15
    • 11
    • 8
    • 8
    • 7
    • 4
    • 3
    • 2
    • 2
    • 2
    • 2
    • 2
    • 2
    • 2
    • 1
    • 1
    • 1
    • 1
    • 1
    • 1
    • 1
    • 1
    • 1
    AA 1-260

    Verwendungszweck

    Human TDP-43/TARDBP antibody

    Aufreinigung

    Purified

    Immunogen

    Recombinant human TARDBP (1-260aa) purified from E. coli

    Isotyp

    IgG1 kappa
  • Applikationshinweise

    Recommended dilution 1:1000(W.B), Recommended dilution 1:100(IHC)

    Beschränkungen

    Nur für Forschungszwecke einsetzbar
  • Format

    Liquid

    Konzentration

    1 mg/mL

    Buffer

    Phosphate-Buffered Saline ( pH 7.4) with 0.02 % Sodium Azide, 10 % glycerol

    Konservierungsmittel

    Sodium azide

    Vorsichtsmaßnahmen

    This product contains Sodium azide: a POISONOUS AND HAZARDOUS SUBSTANCE which should be handled by trained staff only.

    Lagerung

    4 °C,-20 °C,-80 °C

    Informationen zur Lagerung

    Can be stored at +2C to +8C for 1 week. For long term storage, aliquot and store at -20C to -80C. Avoid repeated freezing and thawing cycles.
  • Target

    TARDBP (TAR DNA Binding Protein (TARDBP))

    Andere Bezeichnung

    TDP-43/TARDBP

    Hintergrund

    TAR DNA binding protein (TARDBP), also known as TDP-43, is a cellular protein. TARDBP was identified as the disease accumulating protein in patients with frontotemporal lobar degeneration (FTLD) with ubiquitin inclusions (FTLD-U) and in amyotrophic lateral sclerosis (ALS). TARDBP functions as a DNA-binding protein and specifically binds to the TAR DNA sequence motifs of HIV. Via this association with TAR motifs, TARDBP acts as a transcriptional repressor and inhibits HIV-1 transcription. In addition, this protein regulates alternate splicing of the cystic fibrosis transmembrane receptor (CFTR) gene.

    NCBI Accession

    NP_031401

    Pathways

    Positive Regulation of Peptide Hormone Secretion
Sie sind hier:
Chat with us!