Telefon:
+49 (0)241 95 163 153
Fax:
+49 (0)241 95 163 155
E-Mail:
orders@antikoerper-online.de

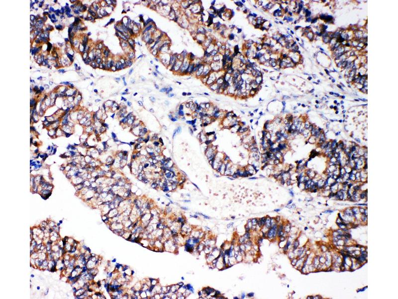
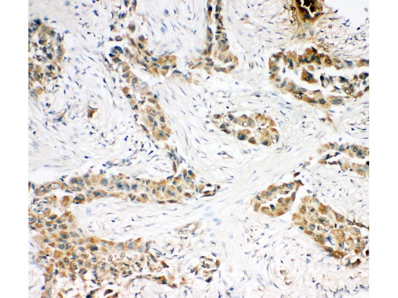
Caspase 3 Antikörper (C-Term)

Es sind 94+ Publikationen für dieses Produkt verfügbar. Der Kaninchen Polyklonal anti-Caspase 3 Antikörper wird verwendet zum Nachweis von Caspase 3 in Proben von Human. Er wurde validiert für WB, IHC und ICC.
Produktnummer ABIN3044357
500,50 €
Zzgl. Versandkosten 20,00 € und MwSt
100 μg
Lieferung nach: Deutschland
Lieferung in 8 bis 12 Werktagen

Kurzübersicht für Caspase 3 Antikörper (C-Term) (ABIN3044357)

Target

Alle Caspase 3 (CASP3) Antikörper anzeigen
Caspase 3 (CASP3)

Reaktivität

  • 281
  • 163
  • 95
  • 19
  • 11
  • 11
  • 11
  • 8
  • 7
  • 5
  • 4
  • 4
  • 4
  • 3
  • 2
  • 2
  • 1
  • 1
Human

Wirt

  • 283
  • 28
  • 3
  • 3
  • 2
  • 2
Kaninchen

Klonalität

  • 200
  • 120
Polyklonal

Konjugat

  • 165
  • 27
  • 14
  • 11
  • 9
  • 9
  • 9
  • 9
  • 9
  • 7
  • 7
  • 7
  • 7
  • 5
  • 2
  • 2
  • 2
  • 2
  • 2
  • 2
  • 2
  • 2
  • 2
  • 2
  • 2
  • 2
  • 2
Dieser Caspase 3 Antikörper ist unkonjugiert

Applikation

  • 254
  • 165
  • 91
  • 85
  • 80
  • 78
  • 63
  • 39
  • 30
  • 29
  • 23
  • 10
  • 8
  • 5
  • 3
  • 2
  • 1
  • 1
  • 1
  • 1
  • 1
  • 1
Western Blotting (WB), Immunohistochemistry (IHC), Immunocytochemistry (ICC)
  • Bindungsspezifität

    • 27
    • 21
    • 21
    • 16
    • 16
    • 14
    • 13
    • 12
    • 11
    • 8
    • 8
    • 7
    • 7
    • 6
    • 6
    • 6
    • 6
    • 5
    • 4
    • 3
    • 3
    • 3
    • 2
    • 2
    • 2
    • 2
    • 2
    • 1
    • 1
    • 1
    • 1
    • 1
    • 1
    • 1
    • 1
    • 1
    • 1
    • 1
    • 1
    • 1
    • 1
    • 1
    • 1
    • 1
    • 1
    • 1
    • 1
    • 1
    • 1
    • 1
    AA 220-236, C-Term

    Verwendungszweck

    Anti-Caspase-3 (P10)/CASP3 Antibody

    Sequenz

    CAMLKQYADK LEFMHIL

    Kreuzreaktivität (Details)

    No cross-reactivity with other proteins

    Produktmerkmale

    Anti-Caspase-3 (P10)/CASP3 Antibody (ABIN3044357). Tested in IHC, ICC, WB applications. This antibody reacts with Human. This is a premium antibody that guarantees superior quality, high affinity, and strong signals with minimal background in Western blot applications.

    Aufreinigung

    Immunogen affinity purified.

    Immunogen

    A synthetic peptide corresponding to a sequence at the C-terminus of human Caspase-3(p10).

    Isotyp

    IgG
  • Applikationshinweise

    Immunohistochemistry (Paraffin-embedded Section), 0.5-1 μg/mL, Human
    Immunocytochemistry , 0.5-1 μg/mL, Human, -
    Western blot, 0.1-0.5 μg/mL, Human

    Kommentare

    Antibody can be supported by chemiluminescence kit ABIN921124 in WB, supported by ABIN921231 in IHC(P) and ICC.

    Beschränkungen

    Nur für Forschungszwecke einsetzbar
  • Format

    Lyophilized

    Rekonstitution

    Add 0.2 mL of distilled water will yield a concentration of 500 μg/mL.

    Konzentration

    500 μg/mL

    Buffer

    Each vial contains 5 mg BSA, 0.9 mg NaCl, 0.2 mg Na2HPO4, 0.05 mg Thimerosal, 0.05 mg Sodium azide.

    Konservierungsmittel

    Thimerosal (Merthiolate), Sodium azide

    Vorsichtsmaßnahmen

    This product contains Thimerosal (Merthiolate) and Sodium azide: POISONOUS AND HAZARDOUS SUBSTANCES which should be handled by trained staff only.

    Handhabung

    Avoid repeated freezing and thawing.

    Lagerung

    4 °C,-20 °C

    Informationen zur Lagerung

    Store at -20°C for one year from date of receipt. After reconstitution, at 4°C for one month.
    It can also be aliquotted and stored frozen at -20°C for six months. Avoid repeated freeze-thaw cycles.

    Haltbarkeit

    12 months
  • Bai, Yang, Luo: "Effects of 5-hydroxy-4'-nitro-7-propionyloxy-genistein on inhibiting proliferation and invasion via activating reactive oxygen species in human ovarian cancer A2780/DDP cells." in: Oncology letters, Vol. 15, Issue 4, pp. 5227-5235, (2018) (PubMed).

    Sun, Cui, Wang, Guo, Zhang: "Tumor necrosis factor-related apoptosis inducing ligand overexpression and Taxol treatment suppresses the growth of cervical cancer cells in vitro and in vivo." in: Oncology letters, Vol. 15, Issue 4, pp. 5744-5750, (2018) (PubMed).

    Yang, Shi, Soomro, Hu, Du, She: "Hepatitis E Virus Induces Hepatocyte Apoptosis via Mitochondrial Pathway in Mongolian Gerbils." in: Frontiers in microbiology, Vol. 9, pp. 460, (2018) (PubMed).

    Qi, Xue, Lv, Sun, Du, Cai, Li, Gu, Wang: "Ginkgolic acids induce HepG2 cell death via a combination of apoptosis, autophagy and the mitochondrial pathway." in: Oncology letters, Vol. 15, Issue 5, pp. 6400-6408, (2018) (PubMed).

    Xu, Xie, Wang, Wang, Luo, Zhou, Wang, Huang, Tan, Jin, Qi, Tang, Chen, Du, Zhao, Liang, Chen: "A novel fibroblast growth factor receptor 1 inhibitor protects against cartilage degradation in a murine model of osteoarthritis." in: Scientific reports, Vol. 6, pp. 24042, (2017) (PubMed).

    Hu, Sun, Zhang, Zhang, Hu: "Catalpol inhibits apoptosis in hydrogen peroxide-induced cardiac myocytes through a mitochondrial-dependent caspase pathway." in: Bioscience reports, Vol. 36, Issue 3, (2017) (PubMed).

    Zhou, He, Wang, Xie, Liu, Liu, Song, Ma: "Intravenous Administration Is an Effective and Safe Route for Cancer Gene Therapy Using the Bifidobacterium-Mediated Recombinant HSV-1 Thymidine Kinase and Ganciclovir." in: International journal of molecular sciences, Vol. 17, Issue 6, (2017) (PubMed).

    Xu, Tan, Jiang, Chen, Lai, Zhang, Liang: "Effects of Bushen Tianjing Recipe in a rat model of tripterygium glycoside-induced premature ovarian failure." in: Chinese medicine, Vol. 12, pp. 10, (2017) (PubMed).

    Zheng, Chen, Zhu, Li, Deng, Wang, Zhang, Chen: "Liraglutide prevents fast weight gain and β-cell dysfunction in male catch-up growth rats." in: Experimental biology and medicine (Maywood, N.J.), Vol. 240, Issue 9, pp. 1165-76, (2016) (PubMed).

    Han, Liu, Li, Tian, Han, Wang, Fu, Guo, Zhu, Du, Tian: "HOXB1 Is a Tumor Suppressor Gene Regulated by miR-3175 in Glioma." in: PLoS ONE, Vol. 10, Issue 11, pp. e0142387, (2016) (PubMed).

    Ji, Geng, Zhou, Wei, Chen: "Chinese herbal medicine Yougui Pill reduces exogenous glucocorticoid-induced apoptosis in anterior pituitary cells." in: Neural regeneration research, Vol. 11, Issue 12, pp. 1962-1968, (2016) (PubMed).

    Kan, Zhou, Jin, Yang: "Effects of PDTC on NF-?B expression and apoptosis in rats with severe acute pancreatitis-associated lung injury." in: International journal of clinical and experimental medicine, Vol. 8, Issue 3, pp. 3258-70, (2015) (PubMed).

    Xu, Liu, Zhang, Wang, Wang, Yang, Huo, Sun: "Apoptosis-related protein expression in rabbits with blast brain injury following early hyperbaric oxygen therapy." in: Neural regeneration research, Vol. 7, Issue 17, pp. 1318-24, (2015) (PubMed).

    Ding, Wang, Zhao, Sun, Zhai: "Protective Effects of Baicalin on A?????-Induced Learning and Memory Deficit, Oxidative Stress, and Apoptosis in Rat." in: Cellular and molecular neurobiology, Vol. 35, Issue 5, pp. 623-32, (2015) (PubMed).

    Yang, Li, Liu, Shi, Zhang: "Inhibitory effect of tetramethylpyrazine preconditioning on overload training-induced myocardial apoptosis in rats." in: Chinese journal of integrative medicine, Vol. 21, Issue 6, pp. 423-30, (2015) (PubMed).

    Li, Wang, Wang: "Radioprotective activity of neutral polysaccharides isolated from the fruiting bodies of Hohenbuehelia serotina." in: Physica medica : PM : an international journal devoted to the applications of physics to medicine and biology : official journal of the Italian Association of Biomedical Physics (AIFB), Vol. 31, Issue 4, pp. 352-9, (2015) (PubMed).

    Lu, Yuan, Ou, Cai, Wang, Sun, Zhang: "Autophagy and apoptosis during adult adipose-derived stromal cells differentiation into neuron-like cells in vitro." in: Neural regeneration research, Vol. 7, Issue 16, pp. 1205-12, (2015) (PubMed).

    Zhan, Hu, Yi, An, Huang: "Inhibitory activity of apogossypol in human prostate cancer in vitro and in vivo." in: Molecular medicine reports, Vol. 11, Issue 6, pp. 4142-8, (2015) (PubMed).

    Peng, Chen, Chen, Fang, Cui, Zuo, Deng, Chen, Geng, Lai: "Aflatoxin B1 affects apoptosis and expression of Bax, Bcl-2, and Caspase-3 in thymus and bursa of fabricius in broiler chickens." in: Environmental toxicology, (2015) (PubMed).

    Chen, Peng, Rowat, Gao, Zhang, Wang, Zhang, Wang, Qu: "The effect of concentration and duration of normobaric oxygen in reducing caspase-3 and -9 expression in a rat-model of focal cerebral ischaemia." in: Brain research, Vol. 1618, pp. 205-11, (2015) (PubMed).

  • Target

    Caspase 3 (CASP3)

    Andere Bezeichnung

    CASP3

    Hintergrund

    Synonyms: Caspase-3,CASP-3,3.4.22.56,Apopain,Cysteine protease CPP32,CPP-32,Protein Yama,SREBP cleavage activity 1,SCA-1,Caspase-3 subunit p17,Caspase-3 subunit p12,CASP3,CPP32,

    Tissue Specificity: Highly expressed in lung, spleen, heart, liver and kidney. Moderate levels in brain and skeletal muscle, and low in testis. Also found in many cell lines, highest expression in cells of the immune system.

    Background: Caspase 3 is a caspase protein which interacts with Survivin, XIAP, CFLAR, Caspase 8, HCLS1, Deleted in Colorectal Cancer, TRAF3 and GroEL. This gene which is located at 4q35 encodes a protein that is a member of the cysteine-aspartic acid protease (caspase) family. Sequential activation of caspases plays a central role in the execution-phase of cell apoptosis. Caspases exist as inactive proenzymes that undergo proteolytic processing at conserved aspartic residues to produce two subunits, large and small, that dimerize to form the active enzyme. This protein cleaves and activates caspases 6, 7, and 9, and the protein itself is processed by caspases 8, 9, and 10. It is the predominant caspase involved in the cleavage of amyloid-beta 4A precursor protein, which is associated with neuronal death in Alzheimer's disease. And the caspase-3 activation in heart failure sequentially cleaves SRF and generates a truncated SRF that appears to function as a dominant-negative transcription factor. Additionally, the caspase-3 influence on bone mineral density should be considered in any in vivo application of caspase-3 inhibitors to the treatment of human disease. In erythroid precursors undergoing terminal differentiation, Hsp70 prevents active CASP3 from cleaving GATA1 and inducing apoptosis.

    Sequence Similarities: Belongs to the peptidase C14A family.

    Molekulargewicht

    51 kDa

    UniProt

    P42574

    Pathways

    Apoptose, Caspase Kaskade in der Apoptose, Sensory Perception of Sound, ER-Nucleus Signaling, Positive Regulation of Endopeptidase Activity, Activated T Cell Proliferation
Sie sind hier:
Chat with us!