Telefon:
+49 (0)241 95 163 153
Fax:
+49 (0)241 95 163 155
E-Mail:
orders@antikoerper-online.de

Paxillin Antikörper (C-Term)

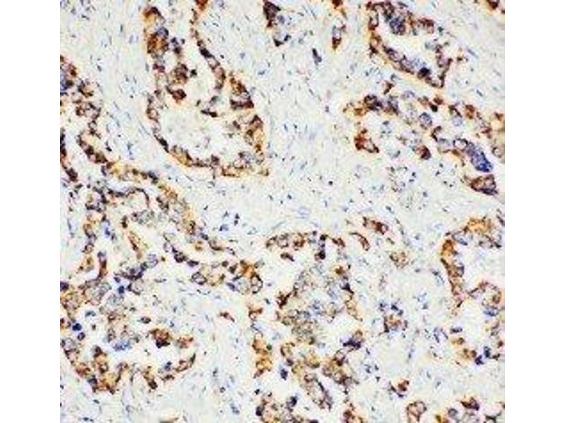
Zitiert in 3+ Publikationen. Der Kaninchen Polyklonal anti-Paxillin Antikörper (ABIN3044187) detektiert spezifisch Paxillin in WB, IHC, IF, ICC, FACS und IHC (fro). Dieser Antikörper reagiert spezifisch mit Proben aus Human, Maus und Ratte.
Produktnummer ABIN3044187
500,50 €
Zzgl. Versandkosten 20,00 € und MwSt
100 μg
Lieferung nach: Deutschland
Lieferung in 8 bis 12 Werktagen

Kurzübersicht für Paxillin Antikörper (C-Term) (ABIN3044187)

Target

Alle Paxillin (PXN) Antikörper anzeigen
Paxillin (PXN)

Reaktivität

  • 249
  • 140
  • 108
  • 18
  • 8
  • 7
  • 6
  • 5
  • 4
  • 3
  • 2
  • 1
  • 1
  • 1
  • 1
Human, Maus, Ratte

Wirt

  • 242
  • 26
  • 1
Kaninchen

Klonalität

  • 190
  • 79
Polyklonal

Konjugat

  • 133
  • 13
  • 9
  • 9
  • 9
  • 9
  • 9
  • 9
  • 6
  • 6
  • 4
  • 4
  • 4
  • 4
  • 4
  • 4
  • 4
  • 4
  • 4
  • 4
  • 4
  • 3
  • 3
  • 2
  • 2
  • 2
  • 1
Dieser Paxillin Antikörper ist unkonjugiert

Applikation

  • 202
  • 76
  • 66
  • 44
  • 41
  • 40
  • 33
  • 32
  • 26
  • 19
  • 13
  • 5
  • 2
  • 2
  • 1
  • 1
  • 1
Western Blotting (WB), Immunohistochemistry (IHC), Immunofluorescence (IF), Immunocytochemistry (ICC), Flow Cytometry (FACS), Immunohistochemistry (Frozen Sections) (IHC (fro))
  • Bindungsspezifität

    • 34
    • 33
    • 23
    • 16
    • 11
    • 10
    • 9
    • 6
    • 6
    • 5
    • 5
    • 4
    • 3
    • 3
    • 2
    • 2
    • 2
    • 2
    • 2
    • 2
    • 2
    • 2
    • 2
    • 2
    • 2
    • 2
    • 2
    • 1
    • 1
    • 1
    • 1
    • 1
    • 1
    • 1
    • 1
    • 1
    • 1
    • 1
    • 1
    • 1
    • 1
    • 1
    • 1
    • 1
    • 1
    • 1
    • 1
    • 1
    • 1
    • 1
    AA 456-472, C-Term

    Verwendungszweck

    Anti-Paxillin/PXN Antibody

    Sequenz

    HEKDGKAYCR KDYFDMF

    Kreuzreaktivität (Details)

    No cross-reactivity with other proteins

    Produktmerkmale

    Anti-Paxillin/PXN Antibody (ABIN3044187). Tested in Flow Cytometry, IF, IHC, IHC-F, ICC, WB applications. This antibody reacts with Human, Mouse, Rat. This is a premium antibody that guarantees superior quality, high affinity, and strong signals with minimal background in Western blot applications.

    Aufreinigung

    Immunogen affinity purified.

    Immunogen

    A synthetic peptide corresponding to a sequence at the C-terminal of human Paxillin, identical to the related mouse and rat sequences.

    Isotyp

    IgG
  • Applikationshinweise

    Western blot, 0.1-0.5 μg/mL, Human, Mouse, Rat
    Immunohistochemistry (Paraffin-embedded Section), 0.5-1 μg/mL, Human
    Immunohistochemistry (Frozen Section), 0.5-1 μg/mL, Rat
    Immunocytochemistry , 0.5-1 μg/mL, Human
    Immunocytochemistry/Immunofluorescence, 5 μg/mL, Human
    Immunofluorescence, 5 μg/mL, Human
    Flow Cytometry (Fixed), 1-3 μg/1x106 cells, Human

    Kommentare

    Antibody can be supported by chemiluminescence kit ABIN921124 in WB, supported by ABIN921231 in IHC(P), IHC(F) and ICC.

    Beschränkungen

    Nur für Forschungszwecke einsetzbar
  • Format

    Lyophilized

    Rekonstitution

    Add 0.2 mL of distilled water will yield a concentration of 500 μg/mL.

    Konzentration

    500 μg/mL

    Buffer

    Each vial contains 5 mg BSA, 0.9 mg NaCl, 0.2 mg Na2HPO4, 0.05 mg Thimerosal, 0.01 mg Sodium azide.

    Konservierungsmittel

    Thimerosal (Merthiolate), Sodium azide

    Vorsichtsmaßnahmen

    This product contains Thimerosal (Merthiolate) and Sodium azide: POISONOUS AND HAZARDOUS SUBSTANCES which should be handled by trained staff only.

    Handhabung

    Avoid repeated freezing and thawing.

    Lagerung

    4 °C,-20 °C

    Informationen zur Lagerung

    Store at -20°C for one year from date of receipt. After reconstitution, at 4°C for one month.
    It can also be aliquotted and stored frozen at -20°C for six months. Avoid repeated freeze-thaw cycles.

    Haltbarkeit

    12 months
  • Zhu, Liu, Li, Liu, Wang, Sun, Xiong, Jiang, Zheng, Hu: "Protein tyrosine phosphatase receptor U (PTPRU) is required for glioma growth and motility." in: Carcinogenesis, Vol. 35, Issue 8, pp. 1901-10, (2014) (PubMed).

    Liu, Zhu, Xiong, Zheng, Hu, Qiu: "Knockdown of protein tyrosine phosphatase receptor U inhibits growth and motility of gastric cancer cells." in: International journal of clinical and experimental pathology, Vol. 7, Issue 9, pp. 5750-61, (2014) (PubMed).

    Zhong, Luo, Wang, Tang, Wu, Wang, Huang, Sun, Huang: "Effects of polydopamine functionalized titanium dioxide nanotubes on endothelial cell and smooth muscle cell." in: Colloids and surfaces. B, Biointerfaces, Vol. 116, pp. 553-60, (2014) (PubMed).

  • Target

    Paxillin (PXN)

    Andere Bezeichnung

    PXN

    Hintergrund

    Synonyms: Paxillin;PXN;

    Background: PXN (Paxillin) is a signal transduction adaptor protein discovered in 1990 in the laboratory of Keith Burridge. Salgia et al. (1995) mapped the paxillin gene to 12q24 using fluorescence in situ hybridization.The C-terminal region of paxillin contains four LIM domains that target paxillin to focal adhesions, it is presumed through a association with the cytoplasmic tail of beta-integrin. The N-terminal region of paxillin is rich in protein–protein interaction sites. The proteins that bind to paxillin are diverse and include protein tyrosine kinases, such as Src and FAK, structural proteins, such as vinculin and actopaxin, and regulators of actin organization, such as COOL/PIX and PKL/GIT. Paxillin is tyrosine-phosphorylated by FAK and Src upon integrin engagement or growth factor stimulation, creating binding sites for the adapter protein Crk.The paxillin protein contains 4 LIM domains, a proline-rich domain containing a consensus SH3-binding site, and 3 potential SH2-binding sites. On Northern blots, paxillin was expressed as a 3.7-kb mRNA in all tissues tested.

    Sequence Similarities: Belongs to the paxillin family.

    Molekulargewicht

    65 kDa

    UniProt

    P49023

    Pathways

    MAPK Signalweg, EGFR Signaling Pathway, Response to Growth Hormone Stimulus, Cell-Cell Junction Organization, Maintenance of Protein Location, CXCR4-mediated Signaling Events, Signaling Events mediated by VEGFR1 and VEGFR2, Signaling of Hepatocyte Growth Factor Receptor, VEGF Signaling
Sie sind hier:
Chat with us!