Telefon:
+49 (0)241 95 163 153
Fax:
+49 (0)241 95 163 155
E-Mail:
orders@antikoerper-online.de

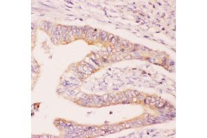
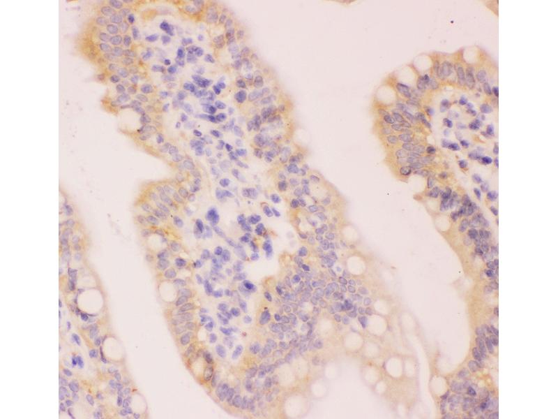
MCL-1 Antikörper (AA 1-350)

Dieser Kaninchen Polyklonal Antikörper detektiert spezifisch MCL-1 in WB und IHC. Es zeigt Reaktivität gegenüber Proben von Human, Maus und Ratte.Es wurde in 1 Publikation zitiert.
Produktnummer ABIN3043876
500,50 €
Zzgl. Versandkosten 20,00 € und MwSt
100 μg
Lieferung nach: Deutschland
Lieferung in 8 bis 12 Werktagen

Kurzübersicht für MCL-1 Antikörper (AA 1-350) (ABIN3043876)

Target

Alle MCL-1 (MCL1) Antikörper anzeigen
MCL-1 (MCL1) (Induced Myeloid Leukemia Cell Differentiation Protein Mcl-1 (MCL1))

Reaktivität

  • 157
  • 80
  • 76
  • 5
  • 5
  • 4
  • 4
  • 2
  • 1
  • 1
Human, Maus, Ratte

Wirt

  • 150
  • 13
  • 1
  • 1
Kaninchen

Klonalität

  • 125
  • 42
Polyklonal

Konjugat

  • 78
  • 11
  • 9
  • 6
  • 5
  • 5
  • 5
  • 5
  • 5
  • 5
  • 4
  • 3
  • 2
  • 2
  • 2
  • 2
  • 2
  • 2
  • 2
  • 2
  • 2
  • 2
  • 2
  • 2
  • 2
Dieser MCL-1 Antikörper ist unkonjugiert

Applikation

  • 134
  • 58
  • 56
  • 54
  • 45
  • 26
  • 26
  • 24
  • 21
  • 20
  • 7
  • 5
  • 4
Western Blotting (WB), Immunohistochemistry (IHC)
  • Bindungsspezifität

    • 27
    • 16
    • 16
    • 11
    • 8
    • 6
    • 5
    • 5
    • 5
    • 5
    • 5
    • 3
    • 3
    • 2
    • 2
    • 2
    • 2
    • 2
    • 1
    • 1
    • 1
    • 1
    • 1
    • 1
    • 1
    • 1
    • 1
    • 1
    • 1
    • 1
    • 1
    • 1
    • 1
    • 1
    • 1
    AA 1-350

    Verwendungszweck

    Anti-MCL1 Antibody

    Kreuzreaktivität (Details)

    No cross-reactivity with other proteins

    Produktmerkmale

    Anti-MCL1 Antibody (ABIN3043876). Tested in IHC, WB applications. This antibody reacts with Human, Mouse, Rat. This is a premium antibody that guarantees superior quality, high affinity, and strong signals with minimal background in Western blot applications.

    Aufreinigung

    Immunogen affinity purified.

    Immunogen

    E.coli-derived human MCL1 recombinant protein (Position: M1-R350). Human MCL1 shares 82% and 78% amino acid (aa) sequences identity with mouse and rat MCL1, respectively.

    Isotyp

    IgG
  • Applikationshinweise

    Immunohistochemistry (Paraffin-embedded Section), 0.5-1 μg/mL, Human, Mouse, Rat
    Western blot, 0.1-0.5 μg/mL, Human, Rat

    Kommentare

    Antibody can be supported by chemiluminescence kit ABIN921124 in WB, supported by ABIN921231 in IHC(P).

    Beschränkungen

    Nur für Forschungszwecke einsetzbar
  • Format

    Lyophilized

    Rekonstitution

    Add 0.2 mL of distilled water will yield a concentration of 500 μg/mL.

    Konzentration

    500 μg/mL

    Buffer

    Each vial contains 5 mg BSA, 0.9 mg NaCl, 0.2 mg Na2HPO4, 0.05 mg Sodium azide.

    Konservierungsmittel

    Sodium azide

    Vorsichtsmaßnahmen

    This product contains Sodium azide: a POISONOUS AND HAZARDOUS SUBSTANCE which should be handled by trained staff only.

    Handhabung

    Avoid repeated freezing and thawing.

    Lagerung

    4 °C,-20 °C

    Informationen zur Lagerung

    Store at -20°C for one year from date of receipt. After reconstitution, at 4°C for one month.
    It can also be aliquotted and stored frozen at -20°C for six months. Avoid repeated freeze-thaw cycles.
  • Liu, Chen, Wang, Yang, Xue, Zhu: "Msi1 confers resistance to TRAIL by activating ERK in liver cancer cells." in: FEBS letters, Vol. 589, Issue 8, pp. 897-903, (2015) (PubMed).

  • Target

    MCL-1 (MCL1) (Induced Myeloid Leukemia Cell Differentiation Protein Mcl-1 (MCL1))

    Andere Bezeichnung

    MCL1

    Hintergrund

    Synonyms: Induced myeloid leukemia cell differentiation protein Mcl-1,Bcl-2-like protein 3,Bcl2-L-3,Bcl-2-related protein EAT/mcl1,mcl1/EAT,MCL1,BCL2L3,

    Tissue Specificity: Ubiquitously expressed, with more abundant expression in the brain.

    Background: MCL1, also known as myeloid cell leukemia 1, is a protein that in humans is encoded the MCL1 gene. It is mapped to 1q21.3. MCL1 is a potent multidomain antiapoptotic protein of the BCL2 family that heterodimerizes with other BCL2 family members to protect against apoptotic cell death. MCL1 as an attractive candidate for regulation of hematopoietic stem cell homeostasis that is highly expressed in hematopoietic stem cells and regulated by growth factor signals. MCL1 is a critical and specific regulator essential for ensuring the homeostasis of early hematopoietic progenitors. During mitotic arrest, MCL1 protein levels decline markedly, through a posttranslational mechanism, potentiating cell death. Phosphorylation of MCL1 s its interaction with the tumor suppressor protein FBW7, which is the substrate-binding component of a ubiquitin ligase complex.

    Sequence Similarities: Belongs to the Bcl-2 family.

    Molekulargewicht

    37 kDa

    Gen-ID

    4170

    UniProt

    Q07820

    Pathways

    MAPK Signalweg
Sie sind hier:
Chat with us!