Telefon:
+49 (0)241 95 163 153
Fax:
+49 (0)241 95 163 155
E-Mail:
orders@antikoerper-online.de

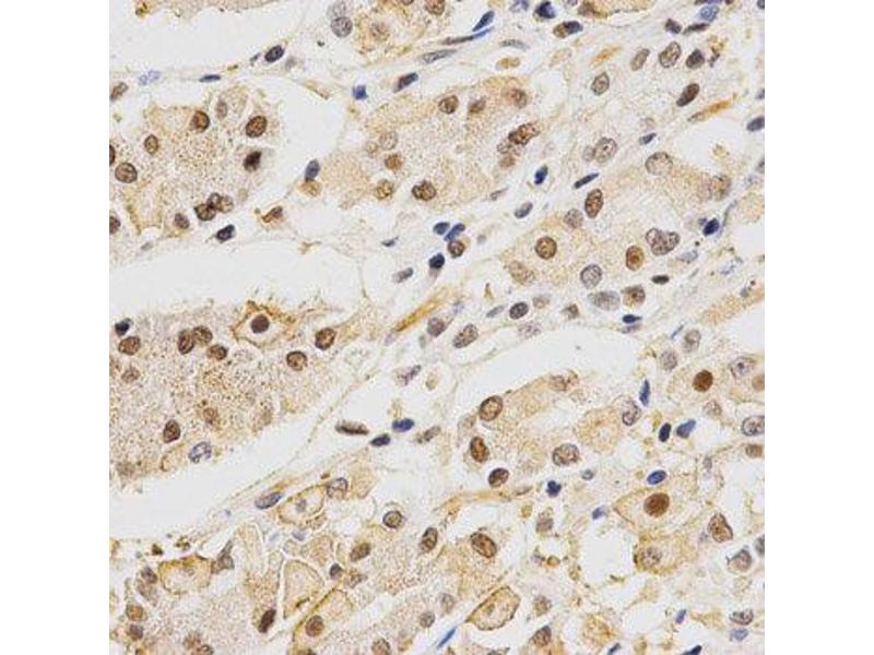
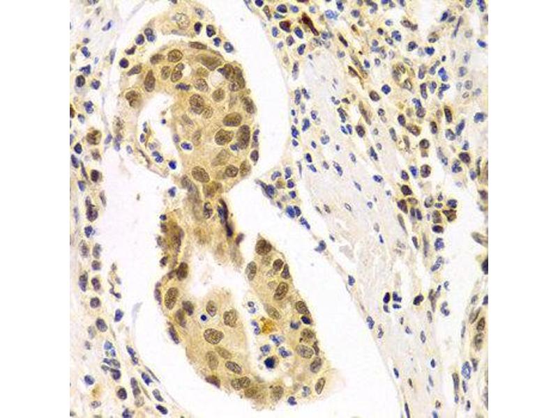
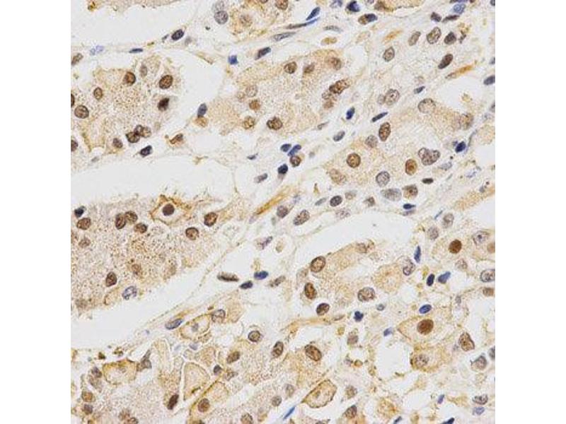
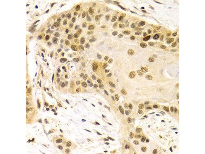
DLGAP5 Antikörper (AA 547-846)

Der Kaninchen Polyklonal anti-DLGAP5 Antikörper wird verwendet zum Nachweis von DLGAP5 in Proben von Human. Er wurde validiert für WB und IF.
Produktnummer ABIN3023190
320,00 €
Zzgl. Versandkosten 20,00 € und MwSt
Lieferung nach: Deutschland
Lieferung in 7 bis 9 Werktagen

Kurzübersicht für DLGAP5 Antikörper (AA 547-846) (ABIN3023190)

Target

Alle DLGAP5 Antikörper anzeigen
DLGAP5 (Discs, Large (Drosophila) Homolog-Associated Protein 5 (DLGAP5))

Reaktivität

  • 42
  • 19
  • 2
  • 2
  • 2
  • 2
  • 2
  • 1
  • 1
  • 1
  • 1
Human

Wirt

  • 42
Kaninchen

Klonalität

  • 42
Polyklonal

Konjugat

  • 22
  • 1
  • 1
  • 1
  • 1
  • 1
  • 1
  • 1
  • 1
  • 1
  • 1
  • 1
  • 1
  • 1
  • 1
  • 1
  • 1
  • 1
  • 1
  • 1
  • 1
Dieser DLGAP5 Antikörper ist unkonjugiert

Applikation

  • 33
  • 13
  • 13
  • 10
  • 7
  • 6
  • 5
  • 4
  • 3
  • 2
  • 1
  • 1
Western Blotting (WB), Immunofluorescence (IF)
Sie sind hier:
Chat with us!