Telefon:
+49 (0)241 95 163 153
Fax:
+49 (0)241 95 163 155
E-Mail:
orders@antikoerper-online.de

Calreticulin Antikörper

Dieses Anti-Calreticulin-Antikörper ist ein Kaninchen Polyklonal-Antikörper zur Detektion von Calreticulin in WB und IHC. Geeignet für Human, Maus und Ratte.
Produktnummer ABIN3021344

Kurzübersicht für Calreticulin Antikörper (ABIN3021344)

Target

Alle Calreticulin (CALR) Antikörper anzeigen
Calreticulin (CALR)

Reaktivität

  • 139
  • 72
  • 68
  • 9
  • 9
  • 6
  • 6
  • 6
  • 5
  • 5
  • 4
  • 4
  • 3
  • 1
  • 1
  • 1
  • 1
  • 1
Human, Maus, Ratte

Wirt

  • 137
  • 26
  • 2
  • 1
Kaninchen

Klonalität

  • 126
  • 40
Polyklonal

Konjugat

  • 98
  • 13
  • 12
  • 7
  • 5
  • 3
  • 2
  • 2
  • 2
  • 2
  • 2
  • 2
  • 1
  • 1
  • 1
  • 1
  • 1
  • 1
  • 1
  • 1
  • 1
  • 1
  • 1
  • 1
  • 1
  • 1
  • 1
  • 1
Dieser Calreticulin Antikörper ist unkonjugiert

Applikation

  • 135
  • 87
  • 57
  • 49
  • 47
  • 43
  • 35
  • 15
  • 14
  • 13
  • 3
  • 2
  • 2
  • 2
  • 1
  • 1
  • 1
  • 1
  • 1
  • 1
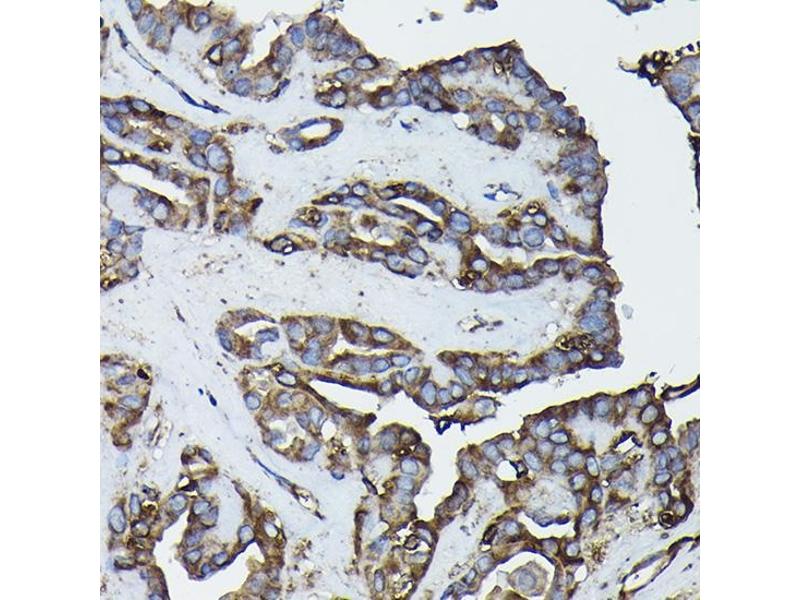
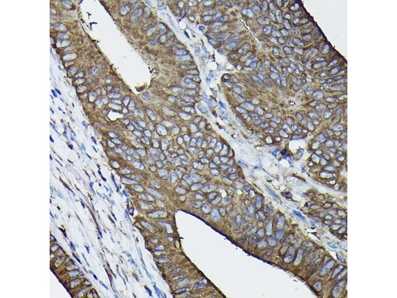
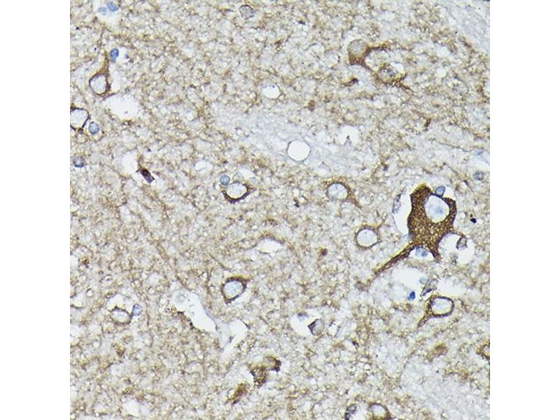
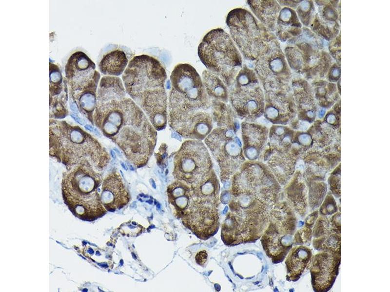
Western Blotting (WB), Immunohistochemistry (IHC)
  • Aufreinigung

    Affinity purification

    Immunogen

    Recombinant protein of human CALR

    Isotyp

    IgG
  • Applikationshinweise

    Recommended dilutions: WB: 1:500-1:2000, IHC: 1:50-1:200

    Beschränkungen

    Nur für Forschungszwecke einsetzbar
  • Format

    Liquid

    Buffer

    PBS with 0.02 % sodium azide, 50 % glycerol, pH 7.3

    Konservierungsmittel

    Sodium azide

    Vorsichtsmaßnahmen

    This product contains sodium azide: a POISONOUS AND HAZARDOUS SUBSTANCE which should be handled by trained staff only.

    Handhabung

    Avoid freeze / thaw cycles

    Lagerung

    -20 °C/-80 °C
  • Target

    Calreticulin (CALR)

    Andere Bezeichnung

    CALR

    Hintergrund

    Calcium is a universal signaling molecule involved in many cellular functions such as cell motility, metabolism, protein modification, protein folding and apoptosis. Calcium is stored in the endoplasmic reticulum (ER), where it is buffered by calcium binding chaperones such as calnexin and calreticulin, and is released via the IP3 Receptor. Calreticulin also functions as an ER chaperone that ensures proper folding and quality control of newly synthesized glycoproteins. As such, calreticulin presumably does not alter protein folding but ensures proper timing for efficient folding and subunit assembly. Furthermore, calreticulin retains proteins in non-native conformation within the ER and targets them for degradation.
    Synonyms: CALR, CRT, FLJ26680, RO, SSA, cC1qR

    Gen-ID

    811

    UniProt

    P27797

    Pathways

    Retinoic Acid Receptor Signaling Pathway, Intracellular Steroid Hormone Receptor Signaling Pathway, Regulation of Intracellular Steroid Hormone Receptor Signaling, Nuclear Hormone Receptor Binding, ER-Nucleus Signaling, Unfolded Protein Response
Sie sind hier:
Chat with us!