Telefon:
+49 (0)241 95 163 153
Fax:
+49 (0)241 95 163 155
E-Mail:
orders@antikoerper-online.de

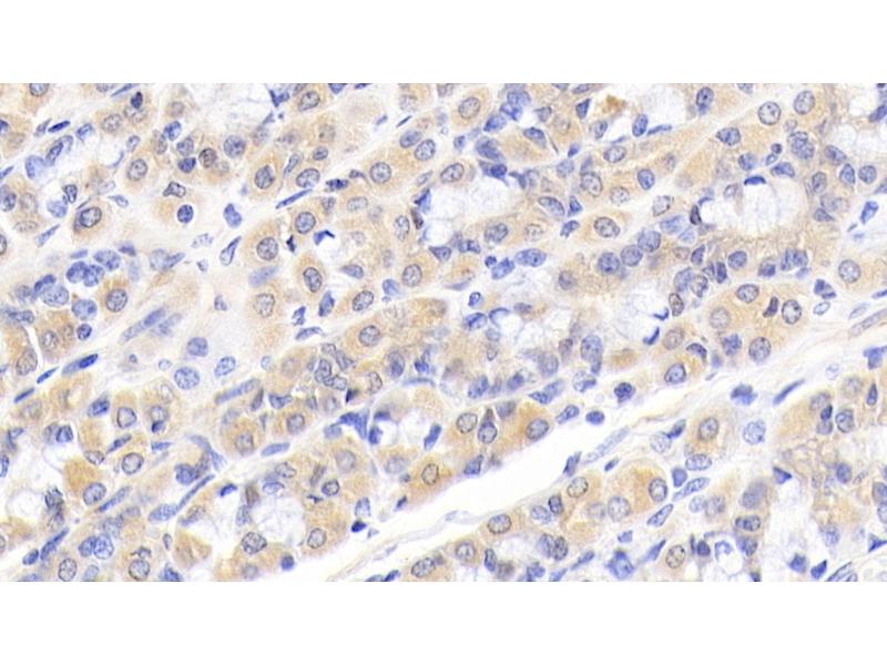
Calreticulin Antikörper (AA 196-310)

Dieser Kaninchen Polyklonal Antikörper detektiert spezifisch Calreticulin in WB, IHC, IP, ICC und FACS. Es zeigt Reaktivität gegenüber Proben von Human.
Produktnummer ABIN7438052
298,22 €
Zzgl. Versandkosten 20,00 € und MwSt
Lieferung nach: Deutschland
Lieferung in 11 bis 15 Werktagen

Kurzübersicht für Calreticulin Antikörper (AA 196-310) (ABIN7438052)

Target

Alle Calreticulin (CALR) Antikörper anzeigen
Calreticulin (CALR)

Reaktivität

  • 151
  • 85
  • 69
  • 11
  • 9
  • 9
  • 8
  • 8
  • 7
  • 6
  • 6
  • 4
  • 3
  • 2
  • 1
  • 1
  • 1
  • 1
  • 1
  • 1
Human

Wirt

  • 137
  • 22
  • 3
  • 1
Kaninchen

Klonalität

  • 117
  • 46
Polyklonal

Konjugat

  • 83
  • 14
  • 12
  • 7
  • 6
  • 4
  • 3
  • 3
  • 3
  • 3
  • 3
  • 3
  • 2
  • 1
  • 1
  • 1
  • 1
  • 1
  • 1
  • 1
  • 1
  • 1
  • 1
  • 1
  • 1
  • 1
  • 1
  • 1
  • 1
  • 1
Dieser Calreticulin Antikörper ist unkonjugiert

Applikation

  • 126
  • 75
  • 55
  • 55
  • 43
  • 37
  • 33
  • 19
  • 14
  • 13
  • 3
  • 2
  • 2
  • 1
  • 1
  • 1
  • 1
  • 1
  • 1
Western Blotting (WB), Immunohistochemistry (IHC), Immunoprecipitation (IP), Immunocytochemistry (ICC), Flow Cytometry (FACS)
  • Bindungsspezifität

    • 16
    • 12
    • 8
    • 7
    • 6
    • 4
    • 4
    • 3
    • 2
    • 2
    • 2
    • 2
    • 2
    • 2
    • 1
    • 1
    • 1
    • 1
    • 1
    • 1
    • 1
    • 1
    • 1
    • 1
    • 1
    • 1
    • 1
    • 1
    • 1
    AA 196-310

    Verwendungszweck

    Polyclonal Antibody to Calreticulin (CALR)

    Spezifität

    The antibody is a rabbit polyclonal antibody raised against CALR. It has been selected for its ability to recognize CALR in immunohistochemical staining and western blotting.

    Kreuzreaktivität

    Maus, Schwein, Ratte

    Aufreinigung

    Antigen-specific affinity chromatography followed by Protein A affinity chromatography

    Immunogen

    Recombinant Calreticulin (CALR) corresdonding to Leu196~Asn310 with N-terminal His Tag

    Isotyp

    IgG
  • Applikationshinweise

    Western blotting: 0.5-2 μg/mL,Immunohistochemistry: 5-20 μg/mL,Immunocytochemistry: 5-20 μg/mL,Flow cytometry:20 μg/mL,Optimal working dilutions must be determined by end user.,

    Kommentare

    The thermal stability is described by the loss rate. The loss rate was determined by accelerated thermal degradation test, that is, incubate the protein at 37°C for 48h, and no obvious degradation and precipitation were observed. The loss rate is less than 5% within the expiration date under appropriate storage condition.

    Beschränkungen

    Nur für Forschungszwecke einsetzbar
  • Format

    Liquid

    Konzentration

    500 μg/mL

    Buffer

    PBS, pH 7.4, containing 0.02 % Sodium azide, 50 % glycerol.

    Konservierungsmittel

    Sodium azide

    Vorsichtsmaßnahmen

    This product contains Sodium azide: a POISONOUS AND HAZARDOUS SUBSTANCE which should be handled by trained staff only.

    Lagerung

    4 °C,-20 °C

    Informationen zur Lagerung

    Store at 4°C for frequent use. Stored at -20°C in a manual defrost freezer for two year without detectable loss of activity. Avoid repeated freeze-thaw cycles.

    Haltbarkeit

    24 months
  • Target

    Calreticulin (CALR)

    Andere Bezeichnung

    CALR

    Hintergrund

    CRT, RO, SSA, CC1qR, ERp60, HACBP, grp60, CRTC, CRP55, Calregulin, Sicca Syndrome Antigen A, Autoantigen Ro, Endoplasmic reticulum resident protein 60

    UniProt

    P27797

    Pathways

    Retinoic Acid Receptor Signaling Pathway, Intracellular Steroid Hormone Receptor Signaling Pathway, Regulation of Intracellular Steroid Hormone Receptor Signaling, Nuclear Hormone Receptor Binding, ER-Nucleus Signaling, Unfolded Protein Response
Sie sind hier:
Chat with us!