×
Aktivieren Sie Javascript in Ihrem Browser, um unsere Webseite optimal zu nutzen.
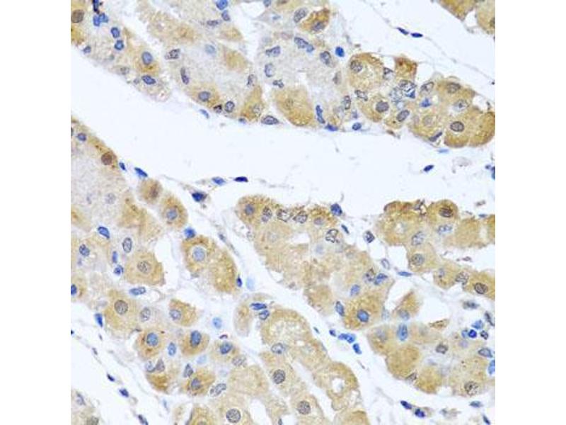
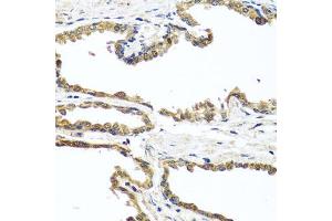
OGFR Antikörper
Der Kaninchen Polyklonal anti-OGFR Antikörper wird verwendet zum Nachweis von OGFR in Proben von Human, Maus und Ratte. Er wurde validiert für WB, IHC und IF/ICC.
Produktnummer ABIN2970393
678,88 €
Zzgl. Versandkosten 20,00 € und MwSt
20 μL ABIN5974255
2 x 100 μL ABIN2918157
100 μL ABIN2970393
20 μL ABIN5974255
2 x 100 μL ABIN2918157
100 μL ABIN2970393
Lieferung in 7 bis 13 Werktagen
Kurzübersicht für OGFR Antikörper (ABIN2970393)
Target
Alle OGFR Antikörper anzeigen
OGFR
(Opioid Growth Factor Receptor (OGFR))
Reaktivität
Human, Maus, Ratte
Wirt
Alle Wirte für OGFR Antikörper
Kaninchen
Klonalität
Alle Klonalitäten für OGFR Antikörper
Polyklonal
Konjugat
Alle Konjugate für OGFR Antikörper
Dieser OGFR Antikörper ist unkonjugiert
Applikation
Alle Applikationen für OGFR Antikörper
Western Blotting (WB), Immunohistochemistry (IHC), Immunofluorescence (fixed cells) (IF/ICC)
Produktdetails anti-OGFR Antikörper
(ausblenden)
Aufreinigung
Affinity purified
Immunogen
Recombinant protein of human OGFR.
Isotyp
IgG
Alternativen
(anzeigen)
Anwendungsinformationen
(ausblenden)
Applikationshinweise
Optimal working dilution should be determined by the investigator.
Beschränkungen
Nur für Forschungszwecke einsetzbar
Handhabung
(ausblenden)
Format
Liquid
Konzentration
Lot specific
Buffer
PBS, pH 7.3, 0.02 % sodium azide, 50 % glycerol.
Konservierungsmittel
Sodium azide
Vorsichtsmaßnahmen
This product contains Sodium azide: a POISONOUS AND HAZARDOUS SUBSTANCE which should be handled by trained staff only.
Lagerung
-20 °C
Informationen zur Lagerung
Aliquot and store at -20 °C. Avoid repeated freeze/thaw cycles.
Details zu OGFR
(ausblenden)
Target
OGFR
(Opioid Growth Factor Receptor (OGFR))
Andere Bezeichnung
OGFR
Molekulargewicht
Calculated MW: 71 kDa/73 kDa Observed MW: 110 kDa
Gen-ID
11054
UniProt
Q9NZT2
Zuletzt angesehen
(ausblenden)
Chat with us , powered by LiveChat