Telefon:
+49 (0)241 95 163 153
Fax:
+49 (0)241 95 163 155
E-Mail:
orders@antikoerper-online.de

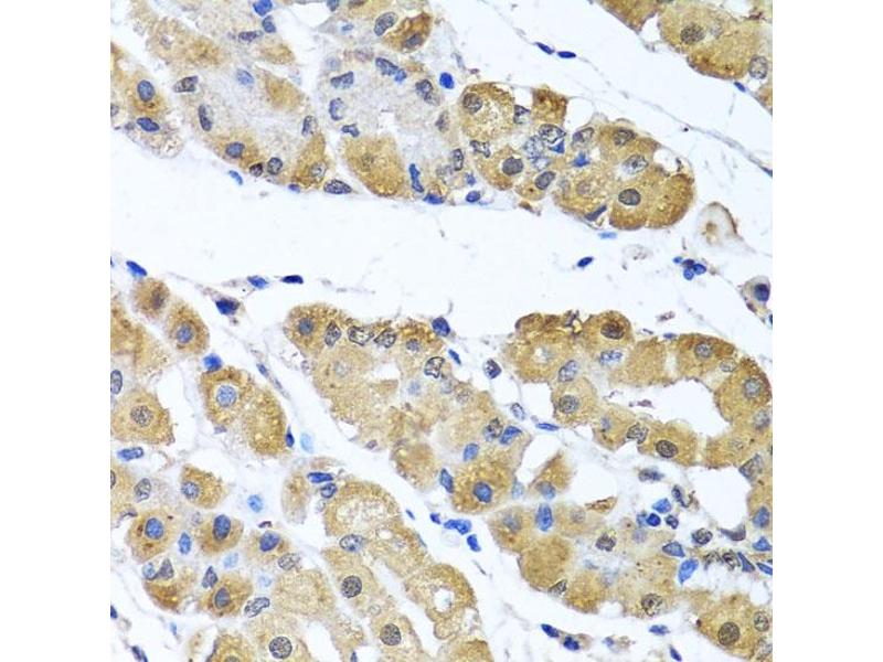
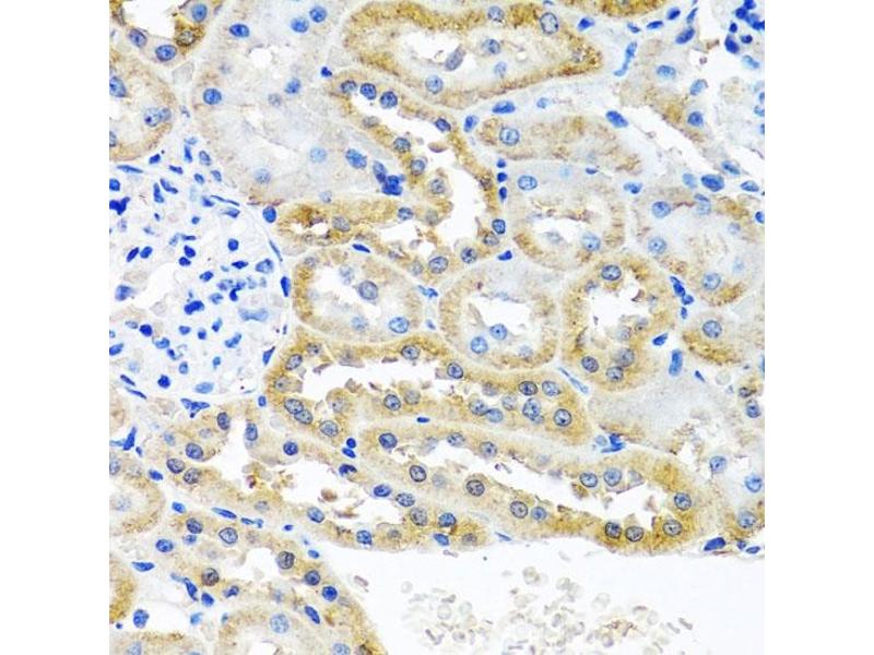
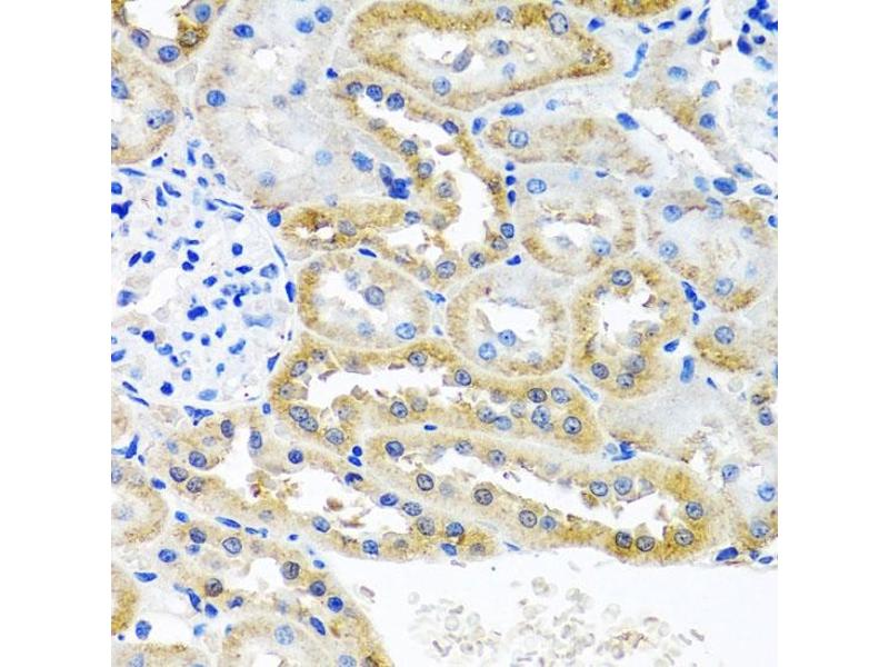
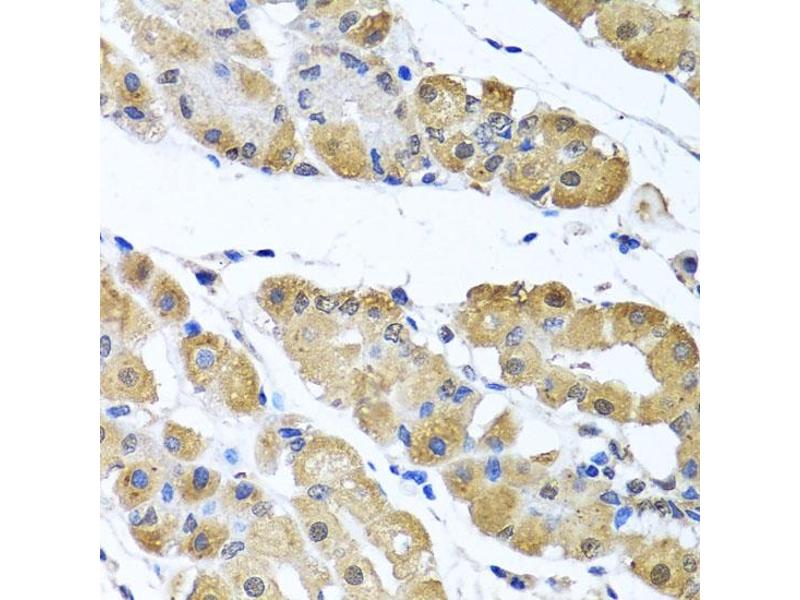
OGFR Antikörper (AA 1-280)

Es gibt 1 Publikation für dieses Produkt. Der Kaninchen Polyklonal anti-OGFR Antikörper wird verwendet zum Nachweis von OGFR in Proben von Human. Er wurde validiert für WB, IHC und IF.
Produktnummer ABIN6145006
320,00 €
Zzgl. Versandkosten 20,00 € und MwSt
Lieferung nach: Deutschland
Lieferung in 7 bis 9 Werktagen

Kurzübersicht für OGFR Antikörper (AA 1-280) (ABIN6145006)

Target

Alle OGFR Antikörper anzeigen
OGFR (Opioid Growth Factor Receptor (OGFR))

Reaktivität

  • 20
  • 4
  • 3
Human

Wirt

  • 20
  • 1
Kaninchen

Klonalität

  • 21
Polyklonal

Konjugat

  • 14
  • 1
  • 1
  • 1
  • 1
  • 1
  • 1
  • 1
Dieser OGFR Antikörper ist unkonjugiert

Applikation

  • 12
  • 9
  • 5
  • 4
  • 2
  • 1
  • 1
  • 1
Western Blotting (WB), Immunohistochemistry (IHC), Immunofluorescence (IF)
  • Bindungsspezifität

    • 2
    • 2
    • 1
    • 1
    • 1
    • 1
    • 1
    • 1
    AA 1-280

    Sequenz

    MDDPDCDSTW EEDEEDAEDA EDEDCEDGEA AGARDADAGD EDEESEEPRA ARPSSFQSRM TGSRNWRATR DMCRYRHNYP DLVERDCNGD TPNLSFYRNE IRFLPNGCFI EDILQNWTDN YDLLEDNHSY IQWLFPLREP GVNWHAKPLT LREVEVFKSS QEIQERLVRA YELMLGFYGI RLEDRGTGTV GRAQNYQKRF QNLNWRSHNN LRITRILKSL GELGLEHFQA PLVRFFLEET LVRRELPGVR QSALDYFMFA VRCRHQRRQL VHFAWEHFRP

    Kreuzreaktivität

    Human, Maus, Ratte

    Produktmerkmale

    Polyclonal Antibodies

    Immunogen

    Recombinant fusion protein containing a sequence corresponding to amino acids 1-280 of human OGFR (NP_031372.2).

    Isotyp

    IgG
  • Applikationshinweise

    WB,1:500 - 1:2000,IHC,1:50 - 1:200,IF,1:50 - 1:100

    Kommentare

    HIGH QUALITY

    Beschränkungen

    Nur für Forschungszwecke einsetzbar
  • Format

    Liquid

    Buffer

    PBS with 0.02 % sodium azide,50 % glycerol, pH 7.3.

    Konservierungsmittel

    Sodium azide

    Vorsichtsmaßnahmen

    This product contains Sodium azide: a POISONOUS AND HAZARDOUS SUBSTANCE which should be handled by trained staff only.

    Lagerung

    -20 °C

    Informationen zur Lagerung

    Store at -20°C. Avoid freeze / thaw cycles.
  • Wu, Xiong, Li, Yang, Ge et al.: "Integrated Proteomic and Transcriptomic Analysis Reveals Long Noncoding RNA HOX Transcript Antisense Intergenic RNA (HOTAIR) Promotes Hepatocellular Carcinoma Cell Proliferation by Regulating Opioid ..." in: Molecular & cellular proteomics : MCP, Vol. 17, Issue 1, pp. 146-159, (2019) (PubMed).

  • Target

    OGFR (Opioid Growth Factor Receptor (OGFR))

    Andere Bezeichnung

    OGFR

    Hintergrund

    The protein encoded by this gene is a receptor for opioid growth factor (OGF), also known as [Met(5)]-enkephalin. OGF is a negative regulator of cell proliferation and tissue organization in a variety of processes. The encoded unbound receptor for OGF has been localized to the outer nuclear envelope, where it binds OGF and is translocated into the nucleus. The coding sequence of this gene contains a polymorphic region of 60 nt tandem imperfect repeat units. Several transcripts containing between zero and eight repeat units have been reported.,OGFR,Signal Transduction,G protein signaling,G-Protein-Coupled Receptors(GPCR),Cell Biology & Developmental Biology,Cell Cycle,Cell differentiation,OGFR

    Molekulargewicht

    71 kDa/73 kDa

    Gen-ID

    11054

    UniProt

    Q9NZT2
Sie sind hier:
Chat with us!