Telefon:
+49 (0)241 95 163 153
Fax:
+49 (0)241 95 163 155
E-Mail:
orders@antikoerper-online.de

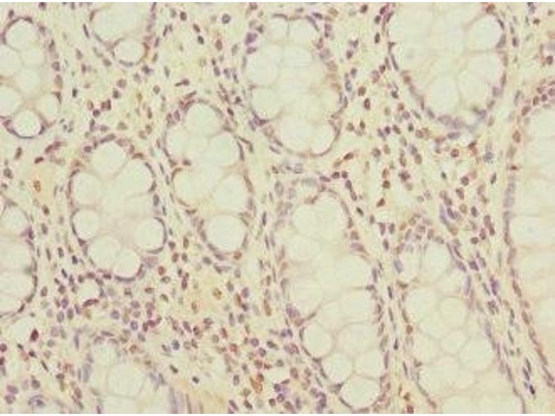
OGFR Antikörper (AA 1-280)

Der Kaninchen Polyklonal anti-OGFR Antikörper (ABIN7162234) detektiert spezifisch OGFR in ELISA und IHC. Dieser Antikörper reagiert spezifisch mit Proben aus Human.
Produktnummer ABIN7162234
394,68 €
Zzgl. Versandkosten 20,00 € und MwSt
Lieferung nach: Deutschland
Lieferung in 11 bis 15 Werktagen

Kurzübersicht für OGFR Antikörper (AA 1-280) (ABIN7162234)

Target

Alle OGFR Antikörper anzeigen
OGFR (Opioid Growth Factor Receptor (OGFR))

Reaktivität

  • 20
  • 4
  • 3
Human

Wirt

  • 20
  • 1
Kaninchen

Klonalität

  • 21
Polyklonal

Konjugat

  • 14
  • 1
  • 1
  • 1
  • 1
  • 1
  • 1
  • 1
Dieser OGFR Antikörper ist unkonjugiert

Applikation

  • 13
  • 8
  • 5
  • 5
  • 2
  • 1
  • 1
  • 1
ELISA, Immunohistochemistry (IHC)
  • Bindungsspezifität

    • 2
    • 2
    • 1
    • 1
    • 1
    • 1
    • 1
    • 1
    AA 1-280

    Verwendungszweck

    OGFR Antibody

    Aufreinigung

    Antigen Affinity Purified

    Immunogen

    Recombinant Human Opioid growth factor receptor protein (1-280AA)

    Isotyp

    IgG
  • Applikationshinweise

    Optimal working dilution should be determined by the investigator.

    Beschränkungen

    Nur für Forschungszwecke einsetzbar
  • Format

    Liquid

    Buffer

    PBS with 0.02 % sodium azide, 50 % glycerol, pH 7.3.

    Konservierungsmittel

    Sodium azide

    Vorsichtsmaßnahmen

    This product contains Sodium azide: a POISONOUS AND HAZARDOUS SUBSTANCE which should be handled by trained staff only.

    Lagerung

    -20 °C,-80 °C

    Informationen zur Lagerung

    Upon receipt, store at -20°C or -80°C. Avoid repeated freeze.
  • Target

    OGFR (Opioid Growth Factor Receptor (OGFR))

    Andere Bezeichnung

    OGFR

    Hintergrund

    Background: Receptor for opioid growth factor (OGF), also known as Met-enkephalin. Seems to be involved in growth regulation.

    Aliases: 7 60 protein antibody, HGNC:15768 antibody, Met enkephalin receptor antibody, OGFr antibody, OGFR_HUMAN antibody, Opioid growth factor receptor antibody, Protein 7-60 antibody, Zeta Opioid Receptor antibody, Zeta type opioid receptor antibody, Zeta-type opioid receptor antibody

    UniProt

    Q9NZT2
Sie sind hier:
Chat with us!