×
Aktivieren Sie Javascript in Ihrem Browser, um unsere Webseite optimal zu nutzen.
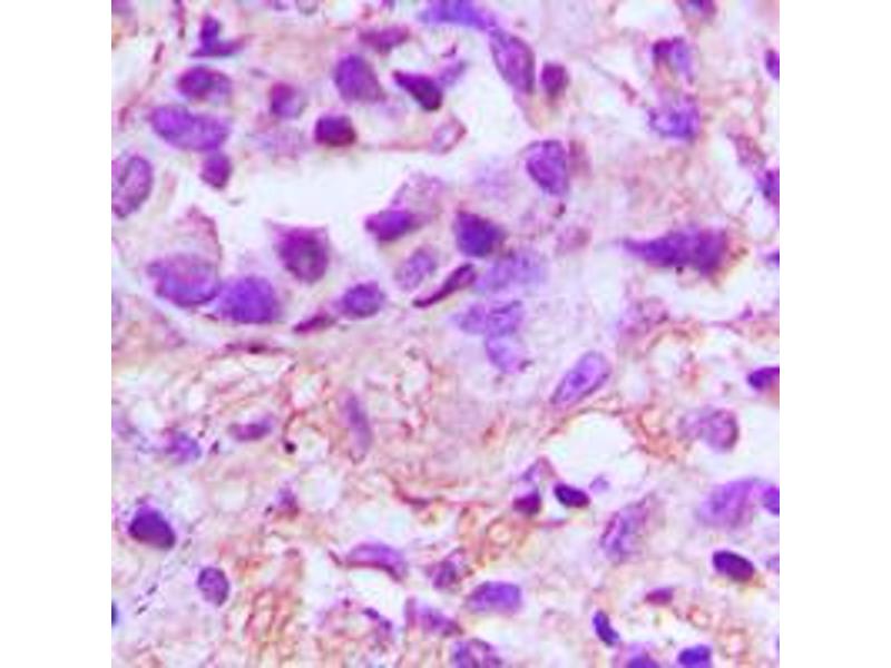
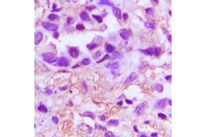
PDGFA Antikörper (Center)
Der Kaninchen Polyklonal anti-PDGFA Antikörper wird verwendet zum Nachweis von PDGFA in Proben von Human, Maus, Ratte und Kaninchen. Er wurde validiert für WB und IHC.
Produktnummer ABIN7296544
330,77 €
Zzgl. Versandkosten 20,00 € und MwSt
30 μL ABIN7296545
50 μL ABIN7681157
100 μL ABIN7296544
200 μL ABIN2706781
30 μL ABIN7296545
50 μL ABIN7681157
100 μL ABIN7296544
200 μL ABIN2706781
Lieferung in 17 bis 20 Werktagen
Kurzübersicht für PDGFA Antikörper (Center) (ABIN7296544)
Target
Alle PDGFA Antikörper anzeigen
PDGFA
(Platelet Derived Growth Factor A (PDGFA))
Reaktivität
Alle Reaktivitäten für PDGFA Antikörper
Human, Maus, Ratte, Kaninchen
Wirt
Alle Wirte für PDGFA Antikörper
Kaninchen
Klonalität
Alle Klonalitäten für PDGFA Antikörper
Polyklonal
Konjugat
Alle Konjugate für PDGFA Antikörper
Dieser PDGFA Antikörper ist unkonjugiert
Applikation
Alle Applikationen für PDGFA Antikörper
Western Blotting (WB), Immunohistochemistry (IHC)
Produktdetails anti-PDGFA Antikörper
(ausblenden)
Bindungsspezifität
Alle Epitope für PDGFA Antikörper
Center
Verwendungszweck
Rabbit polyclonal antibody to PDGFA
Spezifität
Recognizes endogenous levels of PDGFA protein.
Produktmerkmale
Rabbit polyclonal antibody to PDGFA
Aufreinigung
The antibody was purified by immunogen affinity chromatography.
Immunogen
KLH-conjugated synthetic peptide encompassing a sequence within the center region of human PDGFA. The exact sequence is proprietary.
Alternativen
(anzeigen)
Anwendungsinformationen
(ausblenden)
Applikationshinweise
WB (1/500 - 1/1000), IH (1/100 - 1/200)
Beschränkungen
Nur für Forschungszwecke einsetzbar
Handhabung
(ausblenden)
Format
Liquid
Buffer
Liquid in 0.42 % Potassium phosphate, 0.87 % Sodium chloride, pH 7.3, 30 % glycerol, and 0.01 % sodium azide.
Konservierungsmittel
Sodium azide
Vorsichtsmaßnahmen
This product contains Sodium azide: a POISONOUS AND HAZARDOUS SUBSTANCE which should be handled by trained staff only.
Lagerung
-20 °C
Informationen zur Lagerung
Shipped at 4°C. Upon delivery aliquot and store at -20°C for one year. Avoid freeze/thaw cycles.
Haltbarkeit
12 months
Details zu PDGFA
(ausblenden)
Target
PDGFA
(Platelet Derived Growth Factor A (PDGFA))
Andere Bezeichnung
PDGFA
Hintergrund
PDGF1, Platelet-derived growth factor subunit A, PDGF subunit A, PDGF-1, Platelet-derived growth factor A chain, Platelet-derived growth factor alpha polypeptide
Gen-ID
5154, 18590, 25266
UniProt
P04085
Pathways
RTK Signalweg , Fc-epsilon Rezeptor Signalübertragung , EGFR Signaling Pathway , Neurotrophin Signalübertragung , Smooth Muscle Cell Migration , Platelet-derived growth Factor Receptor Signaling
Zuletzt angesehen
(ausblenden)
Sie sind hier:
Startseite
anti-PDGFA Antikörper (Center) (ABIN7296544)
Chat with us , powered by LiveChat