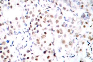
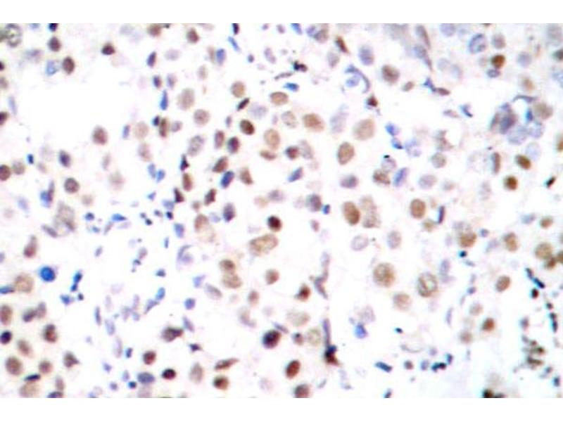
Der Kaninchen Polyklonal anti-CREB1 Antikörper (ABIN265371) detektiert spezifisch CREB1 in WB, IHC (p) und EIA.
Dieser Antikörper reagiert spezifisch mit Proben aus Human, Maus und Ratte.
ELISA: 1: 20000approx. 1: 40000. WB: 1: 500approx. 1: 1000. IHC: 1: 50approx. 1: 200. Other applications not tested. Optimal dilutions are dependent on conditions and should be determined by the user.
Beschränkungen
Nur für Forschungszwecke einsetzbar
Konzentration
1.0 mg/mL
Buffer
Phosphate buffered saline (PBS), pH 7.2., 15 mM Sodium azide
Konservierungsmittel
Sodium azide
Vorsichtsmaßnahmen
This product contains sodium azide: a POISONOUS AND HAZARDOUS SUBSTANCE which should be handled by trained staff only.
Handhabung
Avoid repeated freezing and thawing.
Lagerung
4 °C/-20 °C
Informationen zur Lagerung
Store undiluted at 2-8 °C for one month or (in aliquots) at -20 °C for longer.
Target
CREB1
(cAMP Responsive Element Binding Protein 1 (CREB1))
Andere Bezeichnung
CREB1
Hintergrund
Cyclic AMP Response Element Binding protein (CREB) is a basic / leucine zipper transcription factor that binds the cyclic AMP response element (CRE) and activates transcription in response to a variety of extracellular signals including neurotransmitters, hormones, membrane depolarization, and growth and neurotrophic factors. Activation of CREB is dependent upon the phosphorylation of serine 133. Phosphorylation occurs via p44 / 42 MAP kinase and p90RSK and also via p38 MAP kinase and MSK 1. Although CREB will bind DNA independent of its phosphorylation state, only the phosphorylated form is competent as a transcription factor. CREB binding protein (CBP), a transcriptional coactivator that directly interacts with CREB, binds to CREB in the region of serine 133.Synonyms: CREB-1, Cyclic AMP-responsive element-binding protein 1, cAMP-responsive element-binding protein 1