HCN1 Antikörper (AA 778-910) (HRP)
Kurzübersicht für HCN1 Antikörper (AA 778-910) (HRP) (ABIN2483966)
Target
Alle HCN1 Antikörper anzeigenReaktivität
Wirt
Klonalität
Konjugat
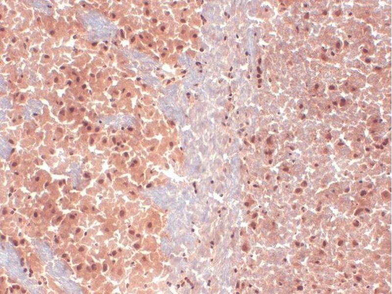
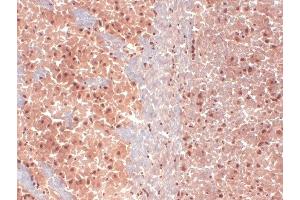
Applikation
Klon
-
-
Bindungsspezifität
- AA 778-910
-
Spezifität
- Detects ~100 kDa. No cross-reactivity against HCN2.
-
Kreuzreaktivität
- Human, Maus, Ratte
-
Aufreinigung
- Protein G Purified
-
Immunogen
- Fusion protein amino acids 778-910 (C terminus) of rat HCN1
-
Isotyp
- IgG1
-
-
-
-
Applikationshinweise
-
- WB (1:1000)
- IHC (1:1000)
- ICC/IF (1:100)
- optimal dilutions for assays should be determined by the user.
-
Kommentare
-
1 μg/ml of ABIN2483966 was sufficient for detection of HCN1 in 10 μg of rat brain lysate by colorimetric immunoblot analysis using Goat anti-mouse IgG:HRP as the secondary antibody.
-
Beschränkungen
- Nur für Forschungszwecke einsetzbar
-
-
-
Format
- Liquid
-
Konzentration
- 1 mg/mL
-
Buffer
- PBS pH 7.4, 50 % glycerol, 0.09 % sodium azide, Storage buffer may change when conjugated
-
Konservierungsmittel
- Sodium azide
-
Vorsichtsmaßnahmen
- This product contains Sodium azide: a POISONOUS AND HAZARDOUS SUBSTANCE which should be handled by trained staff only.
-
Lagerung
- 4 °C
-
Informationen zur Lagerung
- Conjugated antibodies should be stored at 4°C
-
-
- HCN1 (Hyperpolarization Activated Cyclic Nucleotide-Gated Potassium Channel 1 (HCN1))
-
Andere Bezeichnung
- HCN1
-
Hintergrund
- Hyperpolarization-activated cation channels of the HCN gene family, such as HCN1, play a crucial role in the regulatons of cell excitability. Importantly, they contribute to spontaneous rhythmic activity in both the heart and brain (1).
-
Gen-ID
- 84390
-
NCBI Accession
- NP_445827
-
UniProt
- Q9JKB0
-
Pathways
- Asymmetric Protein Localization
Target
-