TYROBP Antikörper (AA 85-113)
Kurzübersicht für TYROBP Antikörper (AA 85-113) (ABIN1978257)
Target
Alle TYROBP Antikörper anzeigenReaktivität
Wirt
Klonalität
Konjugat
Applikation
-
-
Bindungsspezifität
- AA 85-113
-
Spezifität
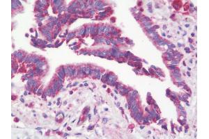
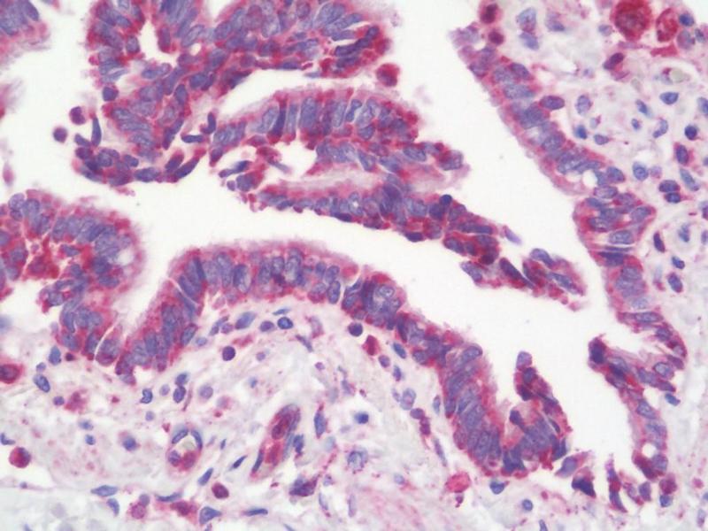
- This TYROBP antibody is generated from rabbits immunized with a KLH conjugated synthetic peptide between 85-113 amino acids from the C-terminal region of human TYROBP.
-
Aufreinigung
- Protein A purified
-
-
-
-
Applikationshinweise
- Approved: Flo (1:10 - 1:50), IHC, IHC-P (1:100), WB (1:1000)
-
Kommentare
-
Target Species of Antibody: Human
-
Beschränkungen
- Nur für Forschungszwecke einsetzbar
-
-
-
Format
- Liquid
-
Konzentration
- Lot specific
-
Buffer
- PBS, 0.09 % sodium azide
-
Konservierungsmittel
- Sodium azide
-
Vorsichtsmaßnahmen
- This product contains Sodium azide: a POISONOUS AND HAZARDOUS SUBSTANCE which should be handled by trained staff only.
-
Lagerung
- 4 °C,-20 °C
-
Informationen zur Lagerung
- Maintain refrigerated at 2-8°C for up to 6 months. For long term storage store at -20°C.
-
Haltbarkeit
- 6 months
-
-
- TYROBP (TYRO Protein tyrosine Kinase Binding Protein (TYROBP))
-
Andere Bezeichnung
- DAP12
-
Hintergrund
-
Name/Gene ID: TYROBP
Synonyms: TYROBP, DNAX-activation protein 12, DAP12, PLOSL, KARAP, KAR-associated protein, PLO-SL -
Gen-ID
- 7305
Target
-