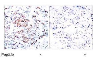
Der Kaninchen Polyklonal anti-STAT5A Antikörper wird verwendet zum Nachweis von STAT5A in Proben von Human und Maus. Er wurde validiert für WB und IHC (p).
This antibody detects endogenous levels of total STAT5A around Tyrosine 694.
Aufreinigung
Affinity Chromatography using epitope-specific immunogen
Immunogen
The antiserum was produced against synthesized non-phosphopeptide derived from human STAT5A around the phosphorylation site of Tyrosine 694 (D-G-YP-V-K).
Western Blot: 1/500approx. 1/1000. Immunohistochemistry: 1/50approx. 1/100. Other applications not tested. Optimal dilutions are dependent on conditions and should be determined by the user.
Beschränkungen
Nur für Forschungszwecke einsetzbar
Konzentration
1.0 mg/mL
Buffer
PBS (without Mg2+ and Ca2+), pH 7.4 containing 150 mM NaCl, 0.02 % Sodium Azide and 50 % Glycerol.
Konservierungsmittel
Sodium azide
Vorsichtsmaßnahmen
This product contains sodium azide: a POISONOUS AND HAZARDOUS SUBSTANCE which should be handled by trained staff only.
Handhabung
Avoid repeated freezing and thawing.
Lagerung
-20 °C
Informationen zur Lagerung
Store the antibody (in aliquots) at -20 °C.
Target
STAT5A
(Signal Transducer and Activator of Transcription 5A (STAT5A))
Andere Bezeichnung
STAT5 / STAT5A
Hintergrund
STAT5a protein is a transcription factor activated by hormone and cytokines. Two highly related, but distinct Stat 5 genes (Stat 5a and Stat 5b) were identified in mouse. The amino acid sequences of Stat 5a and Stat 5b show 96 % sequence similarity, and both proteins are co expressed in most tissues of both virgin and lactating mice. However, differential accumulation of Stat 5a and Stat 5b mRNA has been reported for both muscle and mammary tissue. Stat 5a is critically involved in a variety of physiological functions, including reproduction, lactation, immune function and somatic growth.Synonyms: MGF, Mammary gland factor, STAT-5, STAT-5A, Signal transducer and activator of transcription 5A