Telefon:
+49 (0)241 95 163 153
Fax:
+49 (0)241 95 163 155
E-Mail:
orders@antikoerper-online.de

MEF2A Antikörper (Thr312)

Dieser Kaninchen Polyklonal Antikörper detektiert spezifisch MEF2A in WB und IHC (p). Es zeigt Reaktivität gegenüber Proben von Human und Maus.
Produktnummer ABIN197164
606,15 €
Zzgl. Versandkosten 20,00 € und MwSt
Lieferung nach: Deutschland
Lieferung in 16 Werktagen

Kurzübersicht für MEF2A Antikörper (Thr312) (ABIN197164)

Target

Alle MEF2A Antikörper anzeigen
MEF2A (Myocyte Enhancer Factor 2A (MEF2A))

Reaktivität

  • 146
  • 121
  • 105
  • 10
  • 9
  • 8
  • 8
  • 8
  • 6
  • 6
  • 5
  • 5
  • 4
  • 3
  • 2
  • 2
  • 1
Human, Maus

Wirt

  • 142
  • 7
Kaninchen

Klonalität

  • 112
  • 37
Polyklonal

Konjugat

  • 69
  • 8
  • 6
  • 6
  • 6
  • 6
  • 6
  • 6
  • 4
  • 4
  • 2
  • 2
  • 2
  • 2
  • 2
  • 2
  • 2
  • 2
  • 2
  • 2
  • 2
  • 2
  • 2
  • 1
  • 1
Dieser MEF2A Antikörper ist unkonjugiert

Applikation

  • 110
  • 46
  • 38
  • 38
  • 27
  • 26
  • 25
  • 18
  • 8
  • 6
  • 3
  • 1
  • 1
  • 1
  • 1
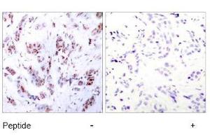
Western Blotting (WB), Immunohistochemistry (Paraffin-embedded Sections) (IHC (p))
  • Bindungsspezifität

    • 26
    • 23
    • 16
    • 8
    • 5
    • 4
    • 4
    • 4
    • 3
    • 3
    • 3
    • 2
    • 2
    • 1
    • 1
    • 1
    • 1
    • 1
    • 1
    • 1
    • 1
    • 1
    • 1
    • 1
    • 1
    • 1
    • 1
    • 1
    • 1
    • 1
    • 1
    • 1
    • 1
    Thr312

    Spezifität

    MEF2A antibody detects endogenous levels of total MEF2A protein.

    Aufreinigung

    Affinity-chromatography using epitope-specific immunogen

    Immunogen

    The antiserum was produced against synthesized non-phosphopeptide derived from human MEF2A around the phosphorylation site of threonine 312 (L-A-TP-P-V).
  • Applikationshinweise

    Western Blot: 1: 500approx. 1: 1000. Immunohistochemistry: 1: 50approx. 1: 100.
    Other applications not tested.
    Optimal dilutions are dependent on conditions and should be determined by the user.

    Beschränkungen

    Nur für Forschungszwecke einsetzbar
  • Konzentration

    1.0 mg/mL

    Buffer

    PBS(without Mg2+ and Ca2+), pH 7.4 containing 150 mM NaCl, 0.02 % sodium azide and 50 % glycerol

    Konservierungsmittel

    Sodium azide

    Vorsichtsmaßnahmen

    This product contains sodium azide: a POISONOUS AND HAZARDOUS SUBSTANCE which should be handled by trained staff only.

    Handhabung

    Avoid repeated freezing and thawing.

    Lagerung

    -20 °C
  • Target

    MEF2A (Myocyte Enhancer Factor 2A (MEF2A))

    Andere Bezeichnung

    MEF2A

    Hintergrund

    MEF2A (myocyte specific enhancer factor 2) belongs to a family of DNA binding regulatory proteins. The MEF2 family of transcription factors is highly expressed in the brain when neurons undergo dendritic maturation and synapse formation. MEF2A is especially abundant in granule neurons of the cerebellar cortex throughout the period of synaptogenesis. MEF2A also has key roles in cardiac and skeletal muscle development.Synonyms: MEF2, Myocyte-specific enhancer factor 2A, Serum response factor-like protein 1

    Gen-ID

    4205

    NCBI Accession

    NP_001124398

    UniProt

    Q02078

    Pathways

    Neurotrophin Signalübertragung, Activation of Innate immune Response, Carbohydrate Homeostasis, Chromatin Binding, Regulation of Muscle Cell Differentiation, Toll-Like Receptors Cascades
Sie sind hier:
Chat with us!