Rekombinanter MEF2A Antikörper
Kurzübersicht für Rekombinanter MEF2A Antikörper (ABIN7799515)
Target
Alle MEF2A Antikörper anzeigenAntikörpertyp
Reaktivität
Wirt
Klonalität
Konjugat
Applikation
Güteklasse
Klon
-
-
Expressionssystem
- HEK-293 Cells
-
Verwendungszweck
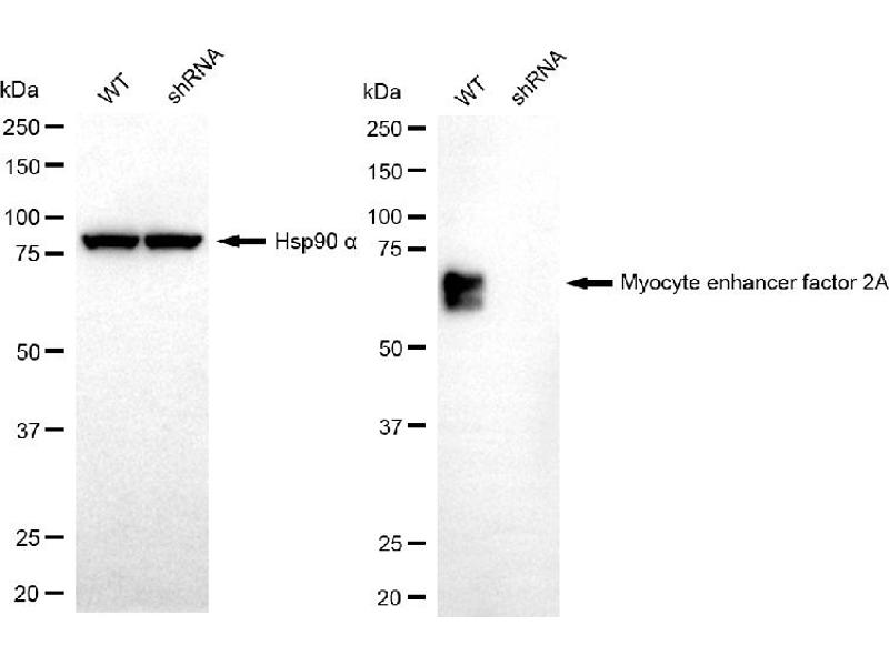
- KD-Validated Myocyte Enhancer Factor 2A Recombinant Rabbit mAb
-
Kreuzreaktivität
- Maus, Ratte
-
Aufreinigung
- Affinity Purified
-
Immunogen
- A synthesized peptide derived from human MEF2A
-
Isotyp
- IgG
-
-
-
-
Applikationshinweise
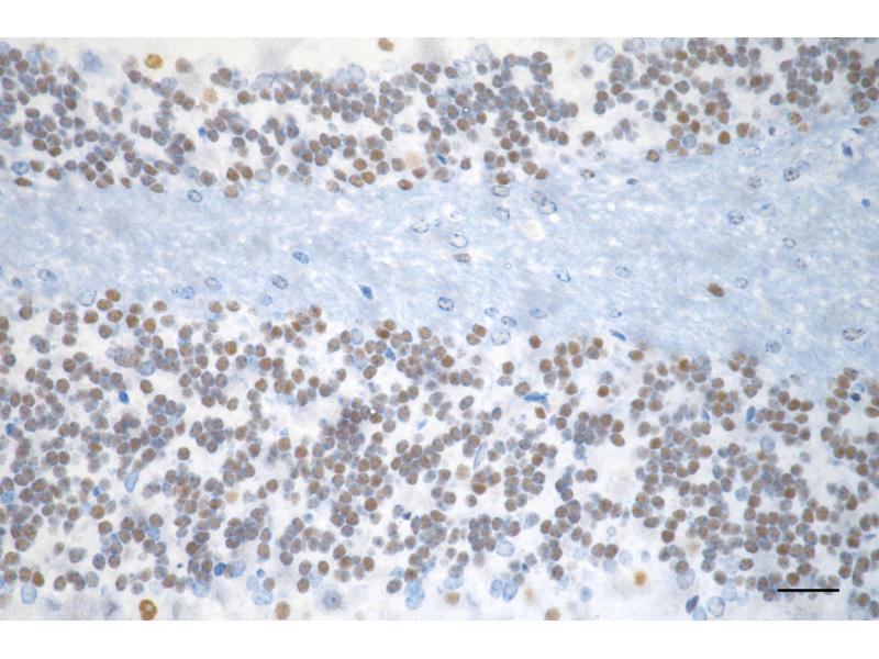
- Western Blotting (WB): 1:1,000-1:5,000, Immunohistochemistry-Paraffin (IHC-P): 1:100-1:200
-
Kommentare
-
We assess the antibodies’ specificity and selectivity using knockdown techniques. Our validation approach is straightforward: if an antibody identifies a signal in wild-type (WT) cells, but this signal is absent or noticeably reduced in gene-silenced (KD) cells, we consider the antibody to be highly specific.
-
Beschränkungen
- Nur für Forschungszwecke einsetzbar
-
-
-
Format
- Liquid
-
Buffer
- PBS (pH 7.4) containing 50% glycerol and 0.02% sodium azide.
-
Konservierungsmittel
- Sodium azide
-
Vorsichtsmaßnahmen
- This product contains Sodium azide: a POISONOUS AND HAZARDOUS SUBSTANCE which should be handled by trained staff only.
-
Lagerung
- -20 °C
-
Informationen zur Lagerung
- Store at -20 °C for one year.
-
Haltbarkeit
- 12 months
-
-
- MEF2A (Myocyte Enhancer Factor 2A (MEF2A))
-
Andere Bezeichnung
- Myocyte Enhancer Factor 2A
-
Molekulargewicht
- 55 kDa
-
Gen-ID
- 4205
-
UniProt
- Q02078
-
Pathways
- Neurotrophin Signalübertragung, Activation of Innate immune Response, Carbohydrate Homeostasis, Chromatin Binding, Regulation of Muscle Cell Differentiation, Toll-Like Receptors Cascades
Target
-