Der Kaninchen Polyklonal anti-PAK1 Antikörper (ABIN196896) detektiert spezifisch PAK1 in IF und IHC (p).
Dieser Antikörper reagiert spezifisch mit Proben aus Human, Ratte und Maus.
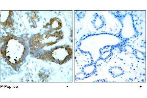
This antibody detects endogenous levels of PAK1/PAK2/PAK3 only when phosphorylated at Threonine 423/402/421.
Aufreinigung
Affinity-chromatography using epitope-specific phosphopeptide. The antibody against non-phosphopeptide was removed by chromatography using non-phosphopeptide corresponding to the phosphorylation site.
Immunogen
The antiserum was produced against synthesized phosphopeptide derived from human PAK1 around the phosphorylation site of threonine 423 (R-S-TP-M-V).
PAK1
Reaktivität: Human
WB, IHC, ELISA
Wirt: Kaninchen
Polyclonal
unconjugated
Applikationshinweise
Immunofluorescence: 1/100-1/200. Immunohistochemistry on Paraffin-Embedded Sections: 1/50-1/100. Other applications not tested. Optimal dilutions are dependent on conditions and should be determined by the user.
Beschränkungen
Nur für Forschungszwecke einsetzbar
Konzentration
1.0 mg/mL
Buffer
PBS (without Mg2+ and Ca2+), pH 7.4, 150 mM NaCl, 0.02 % Sodium Azide and 50 % Glycerol.
Konservierungsmittel
Sodium azide
Vorsichtsmaßnahmen
This product contains sodium azide: a POISONOUS AND HAZARDOUS SUBSTANCE which should be handled by trained staff only.
Handhabung
Avoid repeated freezing and thawing.
Lagerung
-20 °C
Informationen zur Lagerung
Store the antibody (in aliquots) at -20 °C.
Target
PAK1
(P21-Activated Kinase 1 (PAK1))
Andere Bezeichnung
PAK1
Hintergrund
Synonyms: Alpha-PAK, Beta-PAK, Gamma-PAK, OPHN3, Oligophrenin-3, PAK 1, PAK 2, PAK 3, PAK alpha, PAK beta, PAK gamma, PAK-1, PAK-2, PAK-3, PAK65, Serine/threonine-protein kinase PAK 1, Serine/threonine-protein kinase PAK 2, Serine/threonine-protein kinase PAK 3, p21-activated kinase 1, p21-activated kinase 2, p21-activated kinase 3, p58, p65-PAK