Telefon:
+49 (0)241 95 163 153
Fax:
+49 (0)241 95 163 155
E-Mail:
orders@antikoerper-online.de

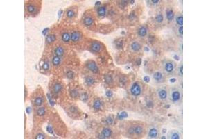
PFKL Antikörper (AA 2-390)

Dieser Kaninchen Polyklonal Antikörper detektiert spezifisch PFKL in WB, IHC, IP und ICC. Es zeigt Reaktivität gegenüber Proben von Ratte.
Produktnummer ABIN1869778
266,00 €
Zzgl. Versandkosten 20,00 € und MwSt
Lieferung nach: Deutschland
Lieferung in 11 bis 15 Werktagen

Kurzübersicht für PFKL Antikörper (AA 2-390) (ABIN1869778)

Target

Alle PFKL Antikörper anzeigen
PFKL (Phosphofructokinase, Liver (PFKL))

Reaktivität

  • 45
  • 27
  • 19
  • 4
  • 3
  • 2
  • 2
  • 1
  • 1
  • 1
  • 1
  • 1
  • 1
Ratte

Wirt

  • 42
  • 5
Kaninchen

Klonalität

  • 43
  • 4
Polyklonal

Konjugat

  • 31
  • 3
  • 3
  • 2
  • 1
  • 1
  • 1
  • 1
  • 1
  • 1
  • 1
  • 1
Dieser PFKL Antikörper ist unkonjugiert

Applikation

  • 35
  • 19
  • 19
  • 8
  • 5
  • 4
  • 4
  • 3
  • 1
Western Blotting (WB), Immunohistochemistry (IHC), Immunoprecipitation (IP), Immunocytochemistry (ICC)
  • Bindungsspezifität

    • 8
    • 6
    • 5
    • 2
    • 2
    • 2
    • 1
    • 1
    • 1
    • 1
    • 1
    • 1
    • 1
    • 1
    • 1
    • 1
    • 1
    • 1
    AA 2-390

    Verwendungszweck

    Polyclonal Antibody to Phosphofructokinase, Liver (PFKL)

    Spezifität

    The antibody is a rabbit polyclonal antibody raised against PFKL. It has been selected for its ability to recognize PFKL in immunohistochemical staining and western blotting.

    Kreuzreaktivität

    Human, Maus

    Aufreinigung

    Antigen-specific affinity chromatography followed by Protein A affinity chromatography

    Immunogen

    RPD406Ra01Recombinant Phosphofructokinase, Liver (PFKL)

    Isotyp

    IgG
  • Applikationshinweise

    Western blotting: 0.2-2 μg/mL,1:250-2500 Immunohistochemistry: 5-20 μg/mL,1:25-100 Immunocytochemistry: 5-20 μg/mL,1:25-100 Optimal working dilutions must be determined by end user.

    Kommentare

    The thermal stability is described by the loss rate. The loss rate was determined by accelerated thermal degradation test, that is, incubate the protein at 37°C for 48h, and no obvious degradation and precipitation were observed. The loss rate is less than 5% within the expiration date under appropriate storage condition.

    Beschränkungen

    Nur für Forschungszwecke einsetzbar
  • Format

    Liquid

    Konzentration

    0.38 mg/mL

    Buffer

    PBS, pH 7.4, containing 0.02 % Sodium azide, 50 % glycerol.

    Konservierungsmittel

    ProClin, Sodium azide

    Vorsichtsmaßnahmen

    WARNING: Reagents contain sodium azide. Sodium azide is very toxic if ingested or inhaled. Avoid contact with skin, eyes, or clothing. Wear eye or face protection when handling. If skin or eye contact occurs, wash with copious amounts of water. If ingested or inhaled, contact a physician immediately. Sodium azide yields toxic hydrazoic acid under acidic conditions. Dilute azide-containing compounds in running water before discarding to avoid accumulation of potentially explosive deposits in lead or copper plumbing.

    Handhabung

    Avoid repeated freeze-thaw cycles.

    Lagerung

    4 °C,-20 °C

    Informationen zur Lagerung

    Store at 4°C for frequent use. Stored at -20°C in a manual defrost freezer for two year without detectable loss of activity. Avoid repeated freeze-thaw cycles.

    Haltbarkeit

    12 months
  • Target

    PFKL (Phosphofructokinase, Liver (PFKL))

    Andere Bezeichnung

    PFKL

    Hintergrund

    PFK-B, 6-phosphofructokinase type B, Phosphofructo-1-kinase isozyme B, Phosphohexokinase

    Pathways

    Negative Regulation of Hormone Secretion, Warburg Effekt
Sie sind hier:
Chat with us!