Telefon:
+49 (0)241 95 163 153
Fax:
+49 (0)241 95 163 155
E-Mail:
orders@antikoerper-online.de

TRIM5 Antikörper (N-Term)

Der Ziege Polyklonal anti-TRIM5 Antikörper (ABIN184983) detektiert spezifisch TRIM5 in WB, ELISA und IHC. Dieser Antikörper reagiert spezifisch mit Proben aus Human.
Produktnummer ABIN184983
488,25 €
Zzgl. Versandkosten 20,00 € und MwSt
100 μg
Lieferung nach: Deutschland
Lieferung in 5 bis 8 Werktagen

Kurzübersicht für TRIM5 Antikörper (N-Term) (ABIN184983)

Target

Alle TRIM5 Antikörper anzeigen
TRIM5 (Tripartite Motif Containing 5 (TRIM5))

Reaktivität

  • 38
  • 4
  • 2
  • 1
  • 1
Human

Wirt

  • 32
  • 6
Ziege

Klonalität

  • 32
  • 6
Polyklonal

Konjugat

  • 29
  • 3
  • 2
  • 2
  • 1
  • 1
Dieser TRIM5 Antikörper ist unkonjugiert

Applikation

  • 32
  • 19
  • 8
  • 7
  • 4
  • 4
  • 2
  • 1
  • 1
Western Blotting (WB), ELISA, Immunohistochemistry (IHC)

Güteklasse

Verified
  • Bindungsspezifität

    • 7
    • 7
    • 6
    • 3
    • 2
    • 2
    • 1
    • 1
    • 1
    • 1
    • 1
    • 1
    • 1
    • 1
    • 1
    • 1
    N-Term

    Verwendungszweck

    TRIM5 / RNF88

    Sequenz

    ASGILVNVKE EVTC

    Spezifität

    This antibody is expected to recognise all three human isoforms of this protein.

    Kreuzreaktivität

    Human

    Aufreinigung

    Purified from goat serum by ammonium sulphate precipitation followed by antigen affinity chromatography using the immunizing peptide.

    Immunogen

    Peptide with sequence ASGILVNVKEEVTC, from the N Terminus of the protein sequence according to NP_149023.1, NP_149083.1, NP_149084.1.

    Isotyp

    IgG
  • Applikationshinweise

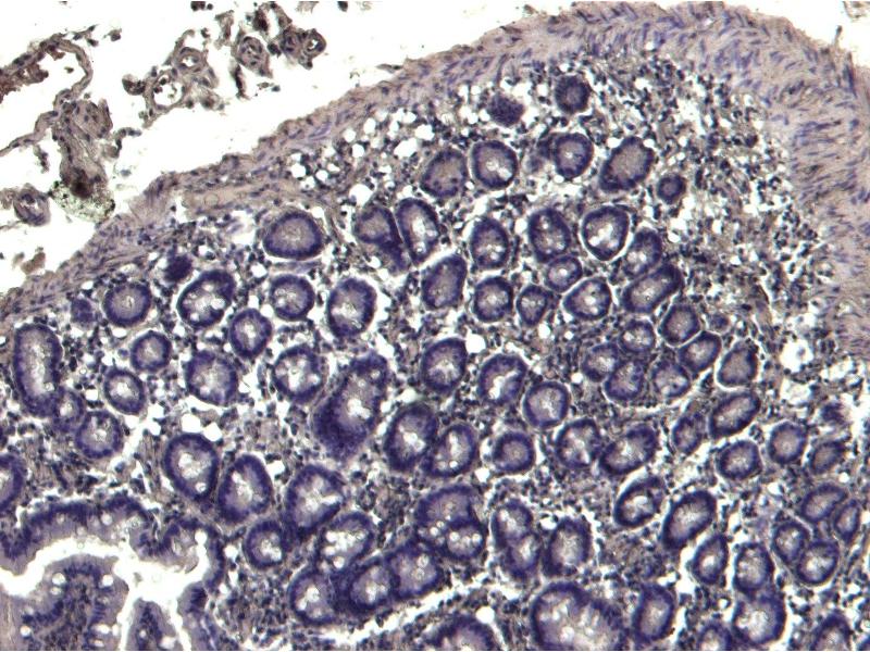
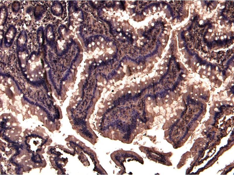
    Immunohistochemistry: Paraffin embedded Human Colon. Recommended concentration: 3 μg/mL.

    Western Blot: Approx 55 and 37 kDa bands observed in Human Thymus lysates (calculated MW of 56.3 kDa according to NP_149023.1 and of 37.7 kDa according to NP_149084.1). Recommended concentration: 1-3 μg/mL. Primary incubation was 1 hour.

    Peptide ELISA: antibody detection limit dilution 1:16000.

    Beschränkungen

    Nur für Forschungszwecke einsetzbar
  • Format

    Liquid

    Konzentration

    0.5 mg/mL

    Buffer

    Supplied at 0.5 mg/mL in Tris saline, 0.02 % sodium azide, pH 7.3 with 0.5 % bovine serum albumin.

    Konservierungsmittel

    Sodium azide

    Vorsichtsmaßnahmen

    This product contains Sodium azide: a POISONOUS AND HAZARDOUS SUBSTANCE which should be handled by trained staff only.

    Handhabung

    Minimize freezing and thawing.

    Lagerung

    -20 °C

    Informationen zur Lagerung

    Aliquot and store at -20°C, with minimal freeze/thawing. A working aliquot may be refrigerated at 4°C for a few weeks and still remain viable.
  • Target

    TRIM5 (Tripartite Motif Containing 5 (TRIM5))

    Andere Bezeichnung

    TRIM5

    Hintergrund

    TRIM5, RNF88, tripartite motif-containing 5, TRIM5alpha, tripartite motif protein 5, tripartite motif protein TRIM5, OTTHUMP00000069812, tripartite motif protein TRIM, tripartite motif-containing protein 5 alpha

    Gen-ID

    85363

    NCBI Accession

    NP_149023, NP_149083, NP_149084

    Pathways

    Activation of Innate immune Response
Sie sind hier:
Chat with us!