×
Aktivieren Sie Javascript in Ihrem Browser, um unsere Webseite optimal zu nutzen.
MAPKAP Kinase 2 Antikörper (Ser272)
Der Kaninchen Polyklonal anti-MAPKAP Kinase 2 Antikörper wird verwendet zum Nachweis von MAPKAP Kinase 2 in Proben von Human, Maus und Ratte. Er wurde validiert für WB, IHC und ELISA.
Produktnummer ABIN1848344
453,66 €
Zzgl. Versandkosten 20,00 € und MwSt
1 mL ABIN5976311
100 μL ABIN1848344
200 μL ABIN1848345
300 μL ABIN6299191
1 mL ABIN5976311
100 μL ABIN1848344
200 μL ABIN1848345
300 μL ABIN6299191
Lieferung in 7 bis 13 Werktagen
Kurzübersicht für MAPKAP Kinase 2 Antikörper (Ser272) (ABIN1848344)
Target
Alle MAPKAP Kinase 2 (MAPKAPK2) Antikörper anzeigen
MAPKAP Kinase 2 (MAPKAPK2)
(Mitogen-Activated Protein Kinase-Activated Protein Kinase 2 (MAPKAPK2))
Reaktivität
Alle Reaktivitäten für MAPKAP Kinase 2 Antikörper
Human, Maus, Ratte
Wirt
Alle Wirte für MAPKAP Kinase 2 Antikörper
Kaninchen
Klonalität
Alle Klonalitäten für MAPKAP Kinase 2 Antikörper
Polyklonal
Konjugat
Alle Konjugate für MAPKAP Kinase 2 Antikörper
Dieser MAPKAP Kinase 2 Antikörper ist unkonjugiert
Applikation
Alle Applikationen für MAPKAP Kinase 2 Antikörper
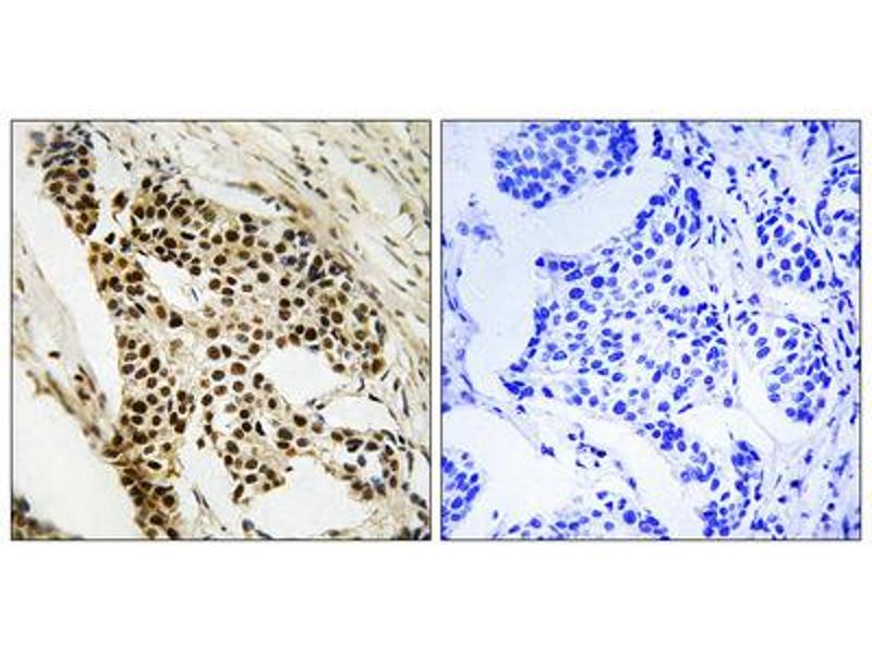
Western Blotting (WB), Immunohistochemistry (IHC), ELISA
Produktdetails anti-MAPKAP Kinase 2 Antikörper
(ausblenden)
Bindungsspezifität
Alle Epitope für MAPKAP Kinase 2 Antikörper
Ser272
Spezifität
Rabbit polyclonal antibody against MAPKAPK2 protein.
Aufreinigung
The antibody was affinity-purified from rabbit antiserum by affinity-chromatography using epitope-specific immunogen
Immunogen
The antiserum was produced against synthesized non-phosphopeptide derived from human MAPKAPK2 around the phosphorylation site of serine 272 (A-I-SP-P-G).
Alternativen
(anzeigen)
Anwendungsinformationen
(ausblenden)
Beschränkungen
Nur für Forschungszwecke einsetzbar
Handhabung
(ausblenden)
Lagerung
-20 °C
Informationen zur Lagerung
Aliquot and store at -20 °C. Avoid repeated freeze/thaw cycles.
Details zu MAPKAP Kinase 2
(ausblenden)
Target
MAPKAP Kinase 2 (MAPKAPK2)
(Mitogen-Activated Protein Kinase-Activated Protein Kinase 2 (MAPKAPK2))
Andere Bezeichnung
MAPKAPK2
UniProt
P49137
Pathways
MAPK Signalweg , Neurotrophin Signalübertragung , Activation of Innate immune Response , Toll-Like Receptors Cascades
Zuletzt angesehen
(ausblenden)
Sie sind hier:
Startseite
anti-MAPKAP Kinase 2 Antikörper (Ser272) (ABIN1848344)
Chat with us , powered by LiveChat