PHLPP1 Antikörper (N-Term)
Kurzübersicht für PHLPP1 Antikörper (N-Term) (ABIN1804212)
Target
Alle PHLPP1 Antikörper anzeigenReaktivität
Wirt
Klonalität
Konjugat
Applikation
-
-
Bindungsspezifität
- N-Term
-
Spezifität
- At least four isoforms are known to exist, this antibody will only detect the largest isoform. PHLPP1 antibody is predicted to not cross react with PHLPP2.
-
Aufreinigung
- Immunoaffinity purified
-
Isotyp
- IgG
-
-
-
-
Applikationshinweise
-
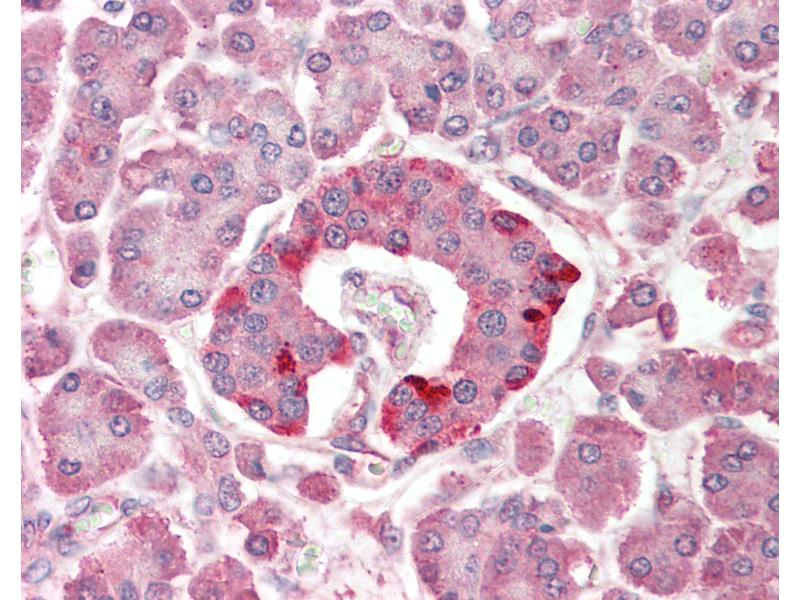
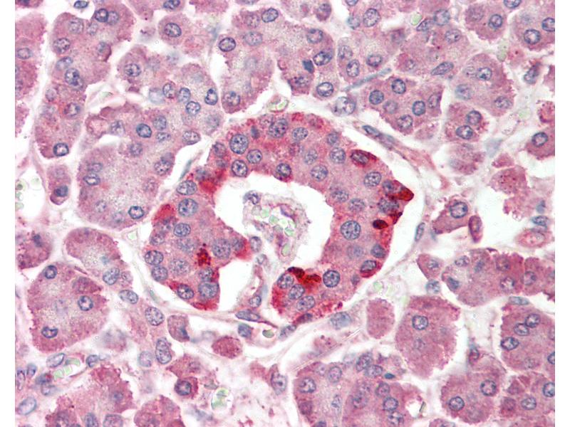
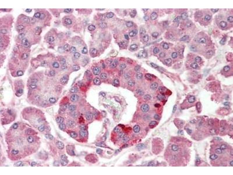
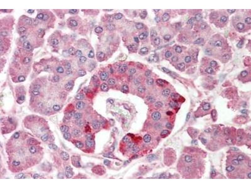
Approved: IHC, IHC-P (5 μg/mL), WB (1 - 2 μg/mL)
Usage: PHLPP1 antibody can be used for detection of PHLPP1 by Western blot at 1-2 μg/mL. -
Kommentare
-
Target Species of Antibody: Human
-
Beschränkungen
- Nur für Forschungszwecke einsetzbar
-
-
-
Format
- Liquid
-
Konzentration
- Lot specific
-
Buffer
- PBS, 0.02 % sodium azide
-
Konservierungsmittel
- Sodium azide
-
Vorsichtsmaßnahmen
- This product contains Sodium azide: a POISONOUS AND HAZARDOUS SUBSTANCE which should be handled by trained staff only.
-
Handhabung
- Avoid repeated freezing and thawing.
-
Lagerung
- 4 °C,-20 °C
-
Informationen zur Lagerung
- Store at 4°C for 3 months and -20°C, stable for up to 1 year. Avoid repeated freeze-thaw cycles.
-
Haltbarkeit
- 12 months
-
-
- PHLPP1 (PH Domain and Leucine Rich Repeat Protein Phosphatase 1 (PHLPP1))
-
Andere Bezeichnung
- SCOP / PHLPP
-
Hintergrund
-
Name/Gene ID: PHLPP1
Synonyms: PHLPP1, HSCOP, KIAA0606, PLEKHE1, SCOP, PHLPP -
Gen-ID
- 23239
-
UniProt
- O60346
-
Pathways
- PI3K-Akt Signalweg, Fc-epsilon Rezeptor Signalübertragung, Neurotrophin Signalübertragung
Target
-