Telefon:
+49 (0)241 95 163 153
Fax:
+49 (0)241 95 163 155
E-Mail:
orders@antikoerper-online.de

UBC Antikörper (AA 1-100)

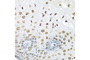
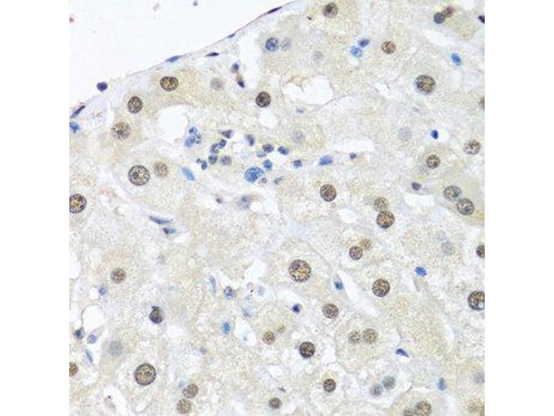
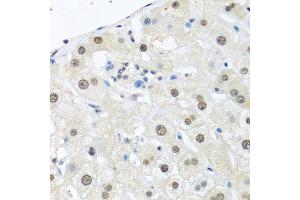
Zitiert in 3+ Publikationen. Der Kaninchen Polyklonal anti-UBC Antikörper (ABIN1683190) detektiert spezifisch UBC in WB und IHC. Dieser Antikörper reagiert spezifisch mit Proben aus Human.
Produktnummer ABIN1683190
320,00 €
Zzgl. Versandkosten 20,00 € und MwSt
Lieferung nach: Deutschland
Lieferung in 7 bis 9 Werktagen

Kurzübersicht für UBC Antikörper (AA 1-100) (ABIN1683190)

Target

Alle UBC Antikörper anzeigen
UBC (Ubiquitin C (UBC))

Reaktivität

  • 17
  • 2
  • 2
Human

Wirt

  • 14
  • 3
Kaninchen

Klonalität

  • 14
  • 3
Polyklonal

Konjugat

  • 14
  • 1
  • 1
  • 1
Dieser UBC Antikörper ist unkonjugiert

Applikation

  • 11
  • 8
  • 6
  • 5
  • 3
  • 2
  • 1
Western Blotting (WB), Immunohistochemistry (IHC)
  • Bindungsspezifität

    • 4
    • 3
    • 3
    • 1
    • 1
    AA 1-100

    Sequenz

    MQIFVKTLTG KTITLEVEPS DTIENVKAKI QDKEGIPPDQ QRLIFAGKQL EDGRTLSDYN IQKESTLHLV LRLRGGMQIF VKTLTGKTIT LEVEPSDTIE

    Kreuzreaktivität

    Human, Maus, Ratte

    Produktmerkmale

    Polyclonal Antibodies

    Immunogen

    A synthetic peptide corresponding to a sequence within amino acids 1-100 of human UBC (NP_066289.3).

    Isotyp

    IgG
  • Applikationshinweise

    WB,1:1000 - 1:2000,IHC,1:50 - 1:100

    Beschränkungen

    Nur für Forschungszwecke einsetzbar
  • Buffer

    PBS with 0.02 % sodium azide,50 % glycerol, pH 7.3.

    Konservierungsmittel

    Sodium azide

    Vorsichtsmaßnahmen

    This product contains Sodium azide: a POISONOUS AND HAZARDOUS SUBSTANCE which should be handled by trained staff only.

    Lagerung

    -20 °C

    Informationen zur Lagerung

    Store at -20°C. Avoid freeze / thaw cycles.
  • Li, Chan, Yu, Bei, Chen, Zhou, Cheng, Chen, Ziegler, Rowe, Das, Xiao: "miR-29b contributes to multiple types of muscle atrophy." in: Nature communications, Vol. 8, pp. 15201, (2018) (PubMed).

    Wang, Hu, Xiao, Wang, Liu, Xu, Shi, Jiang, Huang, Li, Liu, Qing: "Stabilization of Notch1 by the Hsp90 Chaperone Is Crucial for T-Cell Leukemogenesis." in: Clinical cancer research : an official journal of the American Association for Cancer Research, Vol. 23, Issue 14, pp. 3834-3846, (2018) (PubMed).

    Xiao, Yue, Su, Ren, Jiang, Li, Hu, Du, Liu, Qing: "Polo-like Kinase-1 Regulates Myc Stabilization and Activates a Feedforward Circuit Promoting Tumor Cell Survival." in: Molecular cell, Vol. 64, Issue 3, pp. 493-506, (2017) (PubMed).

  • Target

    UBC (Ubiquitin C (UBC))

    Andere Bezeichnung

    UBC

    Hintergrund

    This gene represents a ubiquitin gene, ubiquitin C. The encoded protein is a polyubiquitin precursor. Conjugation of ubiquitin monomers or polymers can lead to various effects within a cell, depending on the residues to which ubiquitin is conjugated. Ubiquitination has been associated with protein degradation, DNA repair, cell cycle regulation, kinase modification, endocytosis, and regulation of other cell signaling pathways.,UBC,HMG20,ubiquitin C,Cell Biology & Developmental Biology,Apoptosis,Mitochondrial Control of Apoptosis,Ubiquitin,Ubiquitin-Proteasome Signaling Pathway,UBC

    Molekulargewicht

    77 kDa

    Gen-ID

    7316

    UniProt

    P0CG48

    Pathways

    Fc-epsilon Rezeptor Signalübertragung, EGFR Signaling Pathway, Neurotrophin Signalübertragung, Activation of Innate immune Response, Mitotic G1-G1/S Phases, DNA Replication, Toll-Like Receptors Cascades, Synthesis of DNA, EGFR Downregulation, Ubiquitin Proteasome Pathway
Sie sind hier:
Chat with us!