Telefon:
+49 (0)241 95 163 153
Fax:
+49 (0)241 95 163 155
E-Mail:
orders@antikoerper-online.de

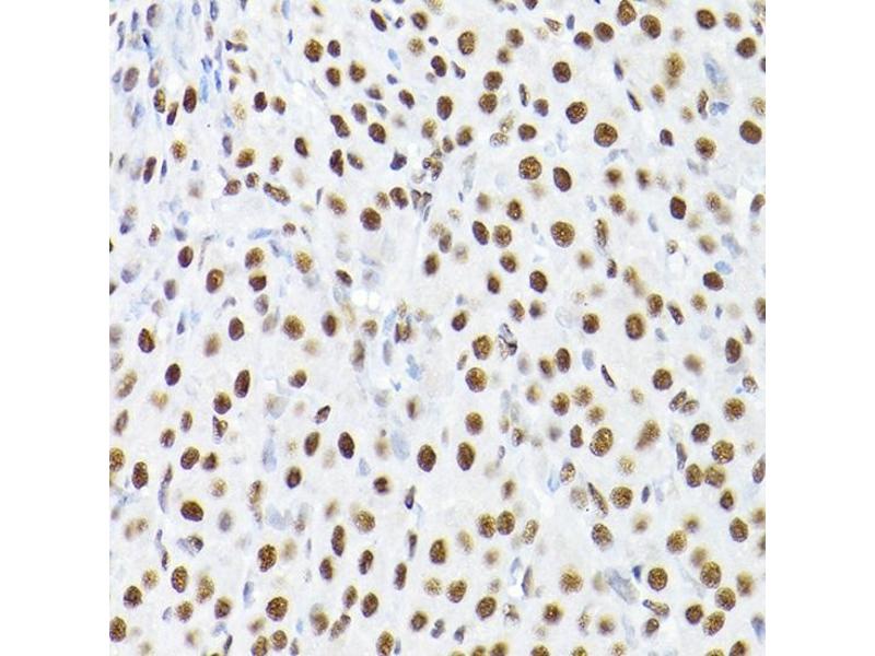
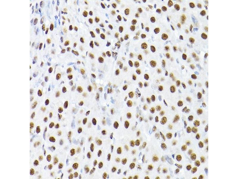
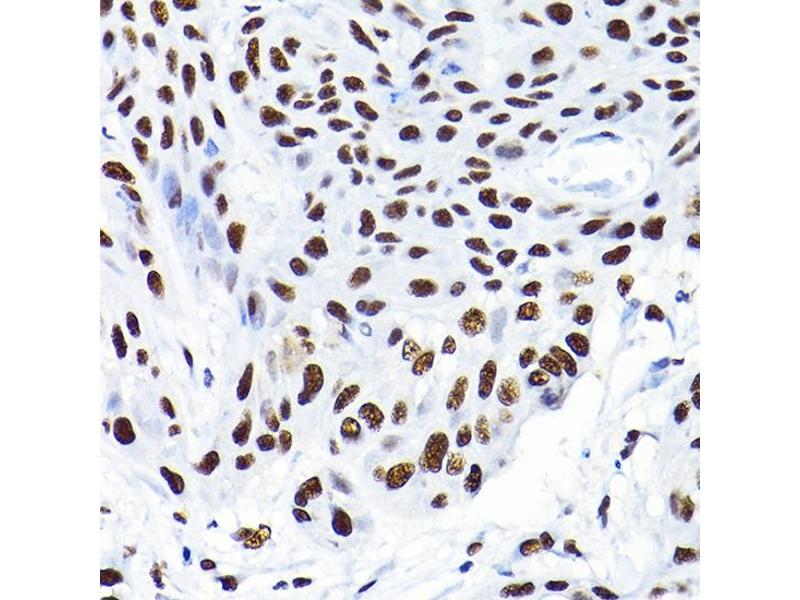
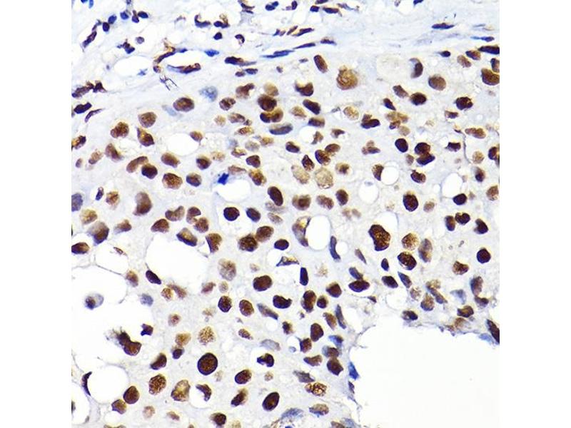
KAP1 Antikörper (AA 576-835)

Dieser Kaninchen Polyklonal Antikörper detektiert spezifisch KAP1 in WB, IHC, IF und IP. Es zeigt Reaktivität gegenüber Proben von Human.Es wurde in 1 Publikation zitiert.
Produktnummer ABIN1683037
320,00 €
Zzgl. Versandkosten 20,00 € und MwSt
Lieferung nach: Deutschland
Lieferung in 7 bis 9 Werktagen

Kurzübersicht für KAP1 Antikörper (AA 576-835) (ABIN1683037)

Target

Alle KAP1 (TRIM28) Antikörper anzeigen
KAP1 (TRIM28) (Tripartite Motif Containing 28 (TRIM28))

Reaktivität

  • 137
  • 64
  • 62
  • 10
  • 9
  • 9
  • 7
  • 5
  • 4
  • 2
  • 1
  • 1
  • 1
Human

Wirt

  • 136
  • 19
  • 4
  • 1
Kaninchen

Klonalität

  • 109
  • 51
Polyklonal

Konjugat

  • 76
  • 10
  • 8
  • 5
  • 5
  • 5
  • 5
  • 5
  • 5
  • 4
  • 3
  • 2
  • 2
  • 2
  • 2
  • 2
  • 2
  • 2
  • 2
  • 2
  • 2
  • 2
  • 2
  • 2
  • 2
  • 1
Dieser KAP1 Antikörper ist unkonjugiert

Applikation

  • 108
  • 65
  • 40
  • 37
  • 33
  • 29
  • 27
  • 26
  • 25
  • 20
  • 8
  • 4
  • 4
  • 3
  • 2
  • 2
  • 2
  • 1
  • 1
  • 1
  • 1
Western Blotting (WB), Immunohistochemistry (IHC), Immunofluorescence (IF), Immunoprecipitation (IP)
  • Bindungsspezifität

    • 31
    • 15
    • 10
    • 8
    • 6
    • 6
    • 5
    • 5
    • 4
    • 3
    • 2
    • 2
    • 2
    • 2
    • 2
    • 1
    • 1
    • 1
    • 1
    • 1
    • 1
    • 1
    • 1
    • 1
    • 1
    • 1
    AA 576-835

    Sequenz

    PVLMALAEGP GAEGPRLASP SGSTSSGLEV VAPEGTSAPG GGPGTLDDSA TICRVCQKPG DLVMCNQCEF CFHLDCHLPA LQDVPGEEWS CSLCHVLPDL KEEDGSLSLD GADSTGVVAK LSPANQRKCE RVLLALFCHE PCRPLHQLAT DSTFSLDQPG GTLDLTLIRA RLQEKLSPPY SSPQEFAQDV GRMFKQFNKL TEDKADVQSI IGLQRFFETR MNEAFGDTKF SAVLVEPPPM SLPGAGLSSQ ELSGGPGDGP

    Kreuzreaktivität

    Human, Maus, Ratte

    Produktmerkmale

    Polyclonal Antibodies

    Aufreinigung

    Affinity purification

    Immunogen

    Recombinant fusion protein containing a sequence corresponding to amino acids 576-835 of human KAP1/KAP1/TRIM28 (NP_005753.1).

    Isotyp

    IgG
  • Applikationshinweise

    WB,1:1000 - 1:3000,IHC,1:100 - 1:200,IF,1:50 - 1:200,IP,1:50 - 1:200

    Beschränkungen

    Nur für Forschungszwecke einsetzbar
  • Buffer

    PBS with 0.02 % sodium azide,50 % glycerol, pH 7.3.

    Konservierungsmittel

    Sodium azide

    Vorsichtsmaßnahmen

    This product contains Sodium azide: a POISONOUS AND HAZARDOUS SUBSTANCE which should be handled by trained staff only.

    Lagerung

    -20 °C

    Informationen zur Lagerung

    Store at -20°C. Avoid freeze / thaw cycles.
  • Han, Cai, Gao, Meng, Gao, Wu, Duan, Wang, Dinislam, Lin, Kang, Jiang: "Loss of ATRX suppresses ATM dependent DNA damage repair by modulating H3K9me3 to enhance temozolomide sensitivity in glioma." in: Cancer letters, Vol. 419, pp. 280-290, (2019) (PubMed).

  • Target

    KAP1 (TRIM28) (Tripartite Motif Containing 28 (TRIM28))

    Andere Bezeichnung

    TRIM28

    Hintergrund

    The protein encoded by this gene mediates transcriptional control by interaction with the Kruppel-associated box repression domain found in many transcription factors. The protein localizes to the nucleus and is thought to associate with specific chromatin regions. The protein is a member of the tripartite motif family. This tripartite motif includes three zinc-binding domains, a RING, a B-box type 1 and a B-box type 2, and a coiled-coil region.,KAP1,PPP1R157,RNF96,TF1B,TIF1B,TRIM28,Epigenetics & Nuclear Signaling,Transcription Factors,Cancer,Invasion and Metastasis,Cell Biology & Developmental Biology,Apoptosis,Ubiquitin,TRIM28

    Molekulargewicht

    79 kDa/88 kDa

    Gen-ID

    10155

    UniProt

    Q13263

    Pathways

    Hedgehog Signalweg, Positive Regulation of Response to DNA Damage Stimulus
Sie sind hier:
Chat with us!