NSG2 Antikörper (AA 33-82)
Kurzübersicht für NSG2 Antikörper (AA 33-82) (ABIN1535105)
Target
Alle NSG2 (HMP19) Antikörper anzeigenReaktivität
Wirt
Klonalität
Konjugat
Applikation
-
-
Bindungsspezifität
- AA 33-82
-
Spezifität
-
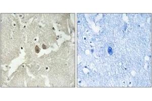
NSG2 Antibody detects endogenous levels of total NSG2 protein.
-
Aufreinigung
- The antibody was purified from rabbit antiserum by affinity-chromatography using immunogen.
-
Reinheit
- > 95 %
-
Immunogen
- The antiserum was produced against synthesized peptide derived from human NSG2.
-
Isotyp
- IgG
-
-
-
-
Applikationshinweise
- IHC: 1:50~1:100 ELISA: 1:20000
-
Kommentare
-
Unigene-Number: Hs.559412 (NCBI Gene Symbol: NSG2)
-
Beschränkungen
- Nur für Forschungszwecke einsetzbar
-
-
-
Format
- Liquid
-
Konzentration
- 1 mg/mL
-
Buffer
- phosphate buffered saline (without Mg2+ and Ca2+), pH 7.4, 150 mM NaCl, 0.02 % sodium azide and 50 % glycerol.
-
Konservierungsmittel
- Sodium azide
-
Vorsichtsmaßnahmen
- This product contains sodium azide: a POISONOUS AND HAZARDOUS SUBSTANCE which should be handled by trained staff only.
-
Lagerung
- -20 °C
-
Informationen zur Lagerung
- Stable at -20°C for at least 1 year.
-
Haltbarkeit
- 12 months
-
-
- NSG2 (HMP19) (Neuron-Specific Protein Family Member 2 (HMP19))
-
Andere Bezeichnung
- NSG2
-
Hintergrund
-
Synonyms: Neuron-specific protein family member 2, Protein p19, HMP19
NCBI Gene Symbol: NSG2
-
Molekulargewicht
- 19 kDa
-
Gen-ID
- 51617
-
UniProt
- Q9Y328
Target
-