Telefon:
+49 (0)241 95 163 153
Fax:
+49 (0)241 95 163 155
E-Mail:
orders@antikoerper-online.de

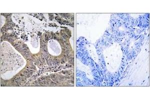
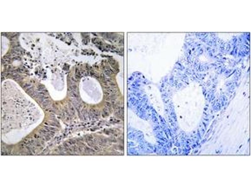
STEAP2 Antikörper (AA 431-480)

Der Kaninchen Polyklonal anti-STEAP2 Antikörper wird verwendet zum Nachweis von STEAP2 in Proben von Human und Maus. Er wurde validiert für IHC, ELISA und IF.
Produktnummer ABIN1534012
402,00 €
Zzgl. Versandkosten 20,00 € und MwSt
Lieferung nach: Deutschland
Lieferung in 6 bis 9 Werktagen

Kurzübersicht für STEAP2 Antikörper (AA 431-480) (ABIN1534012)

Target

Alle STEAP2 Antikörper anzeigen
STEAP2 (STEAP Family Member 2, Metalloreductase (STEAP2))

Reaktivität

  • 31
  • 17
  • 6
  • 3
  • 3
  • 3
  • 3
  • 3
  • 2
  • 2
  • 2
Human, Maus

Wirt

  • 26
  • 5
Kaninchen

Klonalität

  • 26
  • 5
Polyklonal

Konjugat

  • 15
  • 2
  • 2
  • 2
  • 2
  • 1
  • 1
  • 1
  • 1
  • 1
  • 1
  • 1
  • 1
Dieser STEAP2 Antikörper ist unkonjugiert

Applikation

  • 14
  • 11
  • 10
  • 7
  • 6
  • 3
  • 2
Immunohistochemistry (IHC), ELISA, Immunofluorescence (IF)
  • Bindungsspezifität

    • 7
    • 4
    • 1
    • 1
    • 1
    • 1
    • 1
    • 1
    • 1
    AA 431-480

    Spezifität

    STEA2 Antibody detects endogenous levels of total STEA2 protein.

    Aufreinigung

    The antibody was purified from rabbit antiserum by affinity-chromatography using immunogen.

    Reinheit

    > 95 %

    Immunogen

    The antiserum was produced against synthesized peptide derived from human STEA2.

    Isotyp

    IgG
  • Applikationshinweise

    IHC: 1:50~1:100 IF: 1:100~1:500 ELISA: 1:1000

    Kommentare

    Unigene-Number: Hs.489051 (NCBI Gene Symbol: STEA2)

    Beschränkungen

    Nur für Forschungszwecke einsetzbar
  • Format

    Liquid

    Konzentration

    1 mg/mL

    Buffer

    phosphate buffered saline (without Mg2+ and Ca2+), pH 7.4, 150 mM NaCl, 0.02 % sodium azide and 50 % glycerol.

    Konservierungsmittel

    Sodium azide

    Vorsichtsmaßnahmen

    This product contains sodium azide: a POISONOUS AND HAZARDOUS SUBSTANCE which should be handled by trained staff only.

    Lagerung

    -20 °C

    Informationen zur Lagerung

    Stable at -20°C for at least 1 year.

    Haltbarkeit

    12 months
  • Target

    STEAP2 (STEAP Family Member 2, Metalloreductase (STEAP2))

    Hintergrund

    Synonyms: Six-transmembrane epithelial antigen of prostate 2, SixTransMembrane protein of prostate 1, Prostate cancer-associated protein 1

    NCBI Gene Symbol: STEA2

    Molekulargewicht

    55 kDa

    Gen-ID

    261729

    OMIM

    605094

    UniProt

    Q8NFT2

    Pathways

    Transition Metal Ion Homeostasis
Sie sind hier:
Chat with us!