Telefon:
+49 (0)241 95 163 153
Fax:
+49 (0)241 95 163 155
E-Mail:
orders@antikoerper-online.de

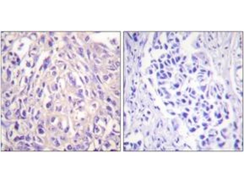
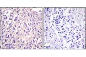
UBA7 Antikörper (AA 963-1012)

Der Kaninchen Polyklonal anti-UBA7 Antikörper wird verwendet zum Nachweis von UBA7 in Proben von Human. Er wurde validiert für WB, IHC und ELISA.
Produktnummer ABIN1533454
402,00 €
Zzgl. Versandkosten 20,00 € und MwSt
Lieferung nach: Deutschland
Lieferung in 6 bis 9 Werktagen

Kurzübersicht für UBA7 Antikörper (AA 963-1012) (ABIN1533454)

Target

Alle UBA7 Antikörper anzeigen
UBA7 (Ubiquitin-Like Modifier Activating Enzyme 7 (UBA7))

Reaktivität

  • 61
  • 13
  • 12
Human

Wirt

  • 61
  • 4
Kaninchen

Klonalität

  • 52
  • 13
Polyklonal

Konjugat

  • 27
  • 4
  • 4
  • 3
  • 2
  • 2
  • 2
  • 2
  • 2
  • 2
  • 1
  • 1
  • 1
  • 1
  • 1
  • 1
  • 1
  • 1
  • 1
  • 1
  • 1
  • 1
  • 1
  • 1
  • 1
Dieser UBA7 Antikörper ist unkonjugiert

Applikation

  • 38
  • 29
  • 17
  • 13
  • 13
  • 12
  • 7
  • 6
  • 6
  • 5
  • 3
Western Blotting (WB), Immunohistochemistry (IHC), ELISA
  • Bindungsspezifität

    • 15
    • 8
    • 5
    • 5
    • 3
    • 2
    • 2
    • 1
    • 1
    • 1
    • 1
    • 1
    AA 963-1012

    Spezifität

    UBE1L Antibody detects endogenous levels of total UBE1L protein.

    Aufreinigung

    The antibody was purified from rabbit antiserum by affinity-chromatography using immunogen.

    Reinheit

    > 95 %

    Immunogen

    The antiserum was produced against synthesized peptide derived from human UBE1L.

    Isotyp

    IgG
  • Applikationshinweise

    WB: 1:500~1:1000 IHC: 1:50~1:100 ELISA: 1:10000

    Kommentare

    Unigene-Number: Hs.16695 (NCBI Gene Symbol: UBA7)

    Beschränkungen

    Nur für Forschungszwecke einsetzbar
  • Format

    Liquid

    Konzentration

    1 mg/mL

    Buffer

    phosphate buffered saline (without Mg2+ and Ca2+), pH 7.4, 150 mM NaCl, 0.02 % sodium azide and 50 % glycerol.

    Konservierungsmittel

    Sodium azide

    Vorsichtsmaßnahmen

    This product contains sodium azide: a POISONOUS AND HAZARDOUS SUBSTANCE which should be handled by trained staff only.

    Lagerung

    -20 °C

    Informationen zur Lagerung

    Stable at -20°C for at least 1 year.

    Haltbarkeit

    12 months
  • Target

    UBA7 (Ubiquitin-Like Modifier Activating Enzyme 7 (UBA7))

    Andere Bezeichnung

    UBE1L

    Hintergrund

    Synonyms: Ubiquitin-like modifier-activating enzyme 7, Ubiquitin-activating enzyme 7, Ubiquitin-activating enzyme E1 homolog, D8, UBA7, UBE1L, UBE2

    NCBI Gene Symbol: UBA7

    Molekulargewicht

    111 kDa

    Gen-ID

    7318

    OMIM

    191325

    UniProt

    P41226
Sie sind hier:
Chat with us!