Telefon:
+49 (0)241 95 163 153
Fax:
+49 (0)241 95 163 155
E-Mail:
orders@antikoerper-online.de

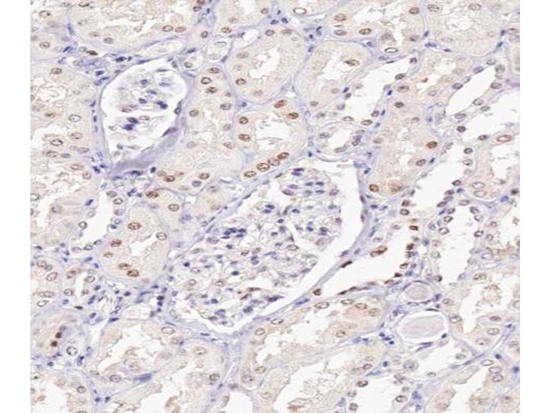
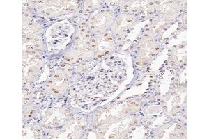
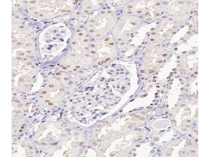
UBA7 Antikörper (C-Term)

Dieser Kaninchen Polyklonal Antikörper detektiert spezifisch UBA7 in WB, IHC, ELISA, ICC und IF. Es zeigt Reaktivität gegenüber Proben von Human.
Produktnummer ABIN6265841
525,71 €
Zzgl. Versandkosten 20,00 € und MwSt
Lieferung nach: Deutschland
Lieferung in 9 bis 11 Werktagen

Kurzübersicht für UBA7 Antikörper (C-Term) (ABIN6265841)

Target

Alle UBA7 Antikörper anzeigen
UBA7 (Ubiquitin-Like Modifier Activating Enzyme 7 (UBA7))

Reaktivität

  • 61
  • 12
  • 12
Human

Wirt

  • 61
  • 4
Kaninchen

Klonalität

  • 52
  • 13
Polyklonal

Konjugat

  • 27
  • 4
  • 4
  • 3
  • 2
  • 2
  • 2
  • 2
  • 2
  • 2
  • 1
  • 1
  • 1
  • 1
  • 1
  • 1
  • 1
  • 1
  • 1
  • 1
  • 1
  • 1
  • 1
  • 1
  • 1
Dieser UBA7 Antikörper ist unkonjugiert

Applikation

  • 38
  • 28
  • 17
  • 13
  • 13
  • 12
  • 8
  • 6
  • 5
  • 3
  • 3
Western Blotting (WB), Immunohistochemistry (IHC), ELISA, Immunocytochemistry (ICC), Immunofluorescence (IF)
  • Bindungsspezifität

    • 15
    • 8
    • 5
    • 5
    • 3
    • 2
    • 1
    • 1
    • 1
    • 1
    • 1
    • 1
    • 1
    C-Term

    Spezifität

    UBE1L Antibody detects endogenous levels of total UBE1L.

    Homologie

    Pig,Rabbit

    Aufreinigung

    The antiserum was purified by peptide affinity chromatography using SulfoLinkTM Coupling Resin (Thermo Fisher Scientific).

    Immunogen

    A synthesized peptide derived from human UBE1L, corresponding to a region within C-terminal amino acids.

    Isotyp

    IgG
  • Applikationshinweise

    WB: 1:500-1:3000, IHC: 1:50-1:200, IF/ICC 1:100-1:500, ELISA(peptide) 1:20000-1:40000

    Beschränkungen

    Nur für Forschungszwecke einsetzbar
  • Format

    Liquid

    Konzentration

    1 mg/mL

    Buffer

    Rabbit IgG in phosphate buffered saline , pH 7.4, 150 mM NaCl, 0.02 % sodium azide and 50 % glycerol.

    Konservierungsmittel

    Sodium azide

    Vorsichtsmaßnahmen

    This product contains Sodium azide: a POISONOUS AND HAZARDOUS SUBSTANCE which should be handled by trained staff only.

    Lagerung

    -20 °C

    Informationen zur Lagerung

    Store at -20 °C. Stable for 12 months from date of receipt.

    Haltbarkeit

    12 months
  • Target

    UBA7 (Ubiquitin-Like Modifier Activating Enzyme 7 (UBA7))

    Andere Bezeichnung

    UBA7

    Hintergrund

    Description: Activates ubiquitin by first adenylating with ATP its C-terminal glycine residue and thereafter linking this residue to the side chain of a cysteine residue in E1, yielding a ubiquitin-E1 thioester and free AMP. Catalyzes the ISGylation of influenza A virus NS1 protein.

    Gene: UBA7

    Molekulargewicht

    112kDa

    Gen-ID

    7318

    UniProt

    P41226
Sie sind hier:
Chat with us!