Telefon:
+49 (0)241 95 163 153
Fax:
+49 (0)241 95 163 155
E-Mail:
orders@antikoerper-online.de

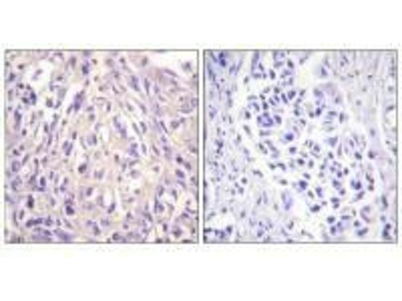
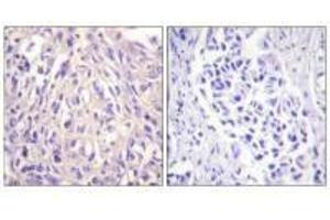
UBA7 Antikörper (C-Term)

Der Kaninchen Polyklonal anti-UBA7 Antikörper (ABIN7180279) detektiert spezifisch UBA7 in WB, IHC und ELISA. Dieser Antikörper reagiert spezifisch mit Proben aus Human.
Produktnummer ABIN7180279
326,70 €
Zzgl. Versandkosten 20,00 € und MwSt
100 μL
Lieferung nach: Deutschland
Lieferung in 11 bis 15 Werktagen

Kurzübersicht für UBA7 Antikörper (C-Term) (ABIN7180279)

Target

Alle UBA7 Antikörper anzeigen
UBA7 (Ubiquitin-Like Modifier Activating Enzyme 7 (UBA7))

Reaktivität

  • 61
  • 12
  • 12
Human

Wirt

  • 61
  • 4
Kaninchen

Klonalität

  • 52
  • 13
Polyklonal

Konjugat

  • 27
  • 4
  • 4
  • 3
  • 2
  • 2
  • 2
  • 2
  • 2
  • 2
  • 1
  • 1
  • 1
  • 1
  • 1
  • 1
  • 1
  • 1
  • 1
  • 1
  • 1
  • 1
  • 1
  • 1
  • 1
Dieser UBA7 Antikörper ist unkonjugiert

Applikation

  • 38
  • 28
  • 17
  • 13
  • 13
  • 12
  • 8
  • 6
  • 6
  • 4
  • 3
Western Blotting (WB), Immunohistochemistry (IHC), ELISA
  • Bindungsspezifität

    • 15
    • 8
    • 5
    • 5
    • 3
    • 2
    • 1
    • 1
    • 1
    • 1
    • 1
    • 1
    • 1
    C-Term

    Verwendungszweck

    UBA7 Antibody

    Kreuzreaktivität

    Maus

    Aufreinigung

    The antibody was affinity-purified from rabbit antiserum by affinity-chromatography using epitope-specific immunogen.

    Immunogen

    Synthesized peptide derived from C-terminal of Human UBE1L.

    Isotyp

    IgG
  • Applikationshinweise

    Optimal working dilution should be determined by the investigator.

    Beschränkungen

    Nur für Forschungszwecke einsetzbar
  • Format

    Liquid

    Buffer

    phosphate buffered saline (without Mg2+ and Ca2+), pH 7.4, 150 mM NaCl, 0.02 % sodium azide and 50 % glycerol.

    Konservierungsmittel

    Sodium azide

    Vorsichtsmaßnahmen

    This product contains Sodium azide: a POISONOUS AND HAZARDOUS SUBSTANCE which should be handled by trained staff only.

    Lagerung

    -20 °C,-80 °C

    Informationen zur Lagerung

    Upon receipt, store at -20°C or -80°C. Avoid repeated freeze.
  • Target

    UBA7 (Ubiquitin-Like Modifier Activating Enzyme 7 (UBA7))

    Andere Bezeichnung

    UBA7

    Hintergrund

    Background: Activates ubiquitin by first adenylating with ATP its C-terminal glycine residue and thereafter linking this residue to the side chain of a cysteine residue in E1, yielding a ubiquitin-E1 thioester and free AMP. Catalyzes the ISGylation of influenza A virus NS1 protein.

    Sutisak Kitareewan, PNAS, Mar 2002, 99: 3806.
    Keun Il Kim, Mol. Cell. Biol., Jan 2006, 26: 472 - 479.
    Ian Pitha-Rowe, Cancer Res., Nov 2004, 64: 8109 - 8115.

    Aliases: D8 antibody, MGC12713 antibody, UBA1, ubiquitin activating enzyme E1 homolog B antibody, UBA1B antibody, UBA7 antibody, UBA7, ubiquitin activating enzyme E1 antibody, UBA7_HUMAN antibody, Ube 1L antibody, UBE 2 antibody, UBE1L antibody, UBE2 antibody, Ubiquitin activating enzyme 2 antibody, Ubiquitin activating enzyme E1 homolog antibody, Ubiquitin Activating Enzyme E1 Like antibody, Ubiquitin activating enzyme E1 related protein antibody, Ubiquitin-activating enzyme 7 antibody, Ubiquitin-activating enzyme E1 homolog antibody, ubiquitin-activating enzyme-2 antibody, ubiquitin-like modifier activating enzyme 7 antibody, Ubiquitin-like modifier-activating enzyme 7 antibody

    UniProt

    P41226
Sie sind hier:
Chat with us!