Telefon:
+49 (0)241 95 163 153
Fax:
+49 (0)241 95 163 155
E-Mail:
orders@antikoerper-online.de

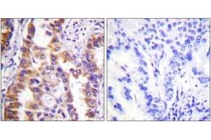
Tuberin Antikörper (AA 905-954)

Dieser Kaninchen Polyklonal Antikörper detektiert spezifisch Tuberin in ELISA, WB, IHC und IF. Es zeigt Reaktivität gegenüber Proben von Human, Maus und Ratte.
Produktnummer ABIN1532423
402,00 €
Zzgl. Versandkosten 20,00 € und MwSt
Lieferung nach: Deutschland
Lieferung in 6 bis 9 Werktagen

Kurzübersicht für Tuberin Antikörper (AA 905-954) (ABIN1532423)

Target

Alle Tuberin (TSC2) Antikörper anzeigen
Tuberin (TSC2) (Tuberous Sclerosis 2 (TSC2))

Reaktivität

  • 296
  • 190
  • 128
  • 8
  • 7
  • 2
  • 2
  • 1
  • 1
  • 1
  • 1
  • 1
  • 1
Human, Maus, Ratte

Wirt

  • 386
  • 14
Kaninchen

Klonalität

  • 354
  • 46
Polyklonal

Konjugat

  • 150
  • 34
  • 30
  • 29
  • 21
  • 21
  • 7
  • 7
  • 7
  • 7
  • 7
  • 7
  • 7
  • 7
  • 7
  • 6
  • 6
  • 6
  • 6
  • 6
  • 6
  • 6
  • 6
  • 2
  • 2
Dieser Tuberin Antikörper ist unkonjugiert

Applikation

  • 201
  • 191
  • 122
  • 81
  • 81
  • 80
  • 47
  • 34
  • 20
  • 15
  • 14
  • 10
  • 7
  • 6
  • 1
ELISA, Western Blotting (WB), Immunohistochemistry (IHC), Immunofluorescence (IF)
  • Bindungsspezifität

    • 36
    • 23
    • 19
    • 19
    • 18
    • 16
    • 15
    • 15
    • 15
    • 11
    • 10
    • 8
    • 8
    • 8
    • 8
    • 7
    • 7
    • 7
    • 7
    • 7
    • 7
    • 7
    • 7
    • 7
    • 7
    • 6
    • 6
    • 5
    • 5
    • 4
    • 2
    • 2
    • 2
    • 2
    • 2
    • 2
    • 1
    • 1
    • 1
    • 1
    • 1
    • 1
    • 1
    • 1
    • 1
    • 1
    • 1
    • 1
    • 1
    • 1
    AA 905-954

    Spezifität

    Tuberin/TSC2 Antibody detects endogenous levels of total Tuberin/TSC2 protein.

    Aufreinigung

    The antibody was purified from rabbit antiserum by affinity-chromatography using immunogen.

    Reinheit

    > 95 %

    Immunogen

    The antiserum was produced against synthesized peptide derived from human Tuberin/TSC2.

    Isotyp

    IgG
  • Applikationshinweise

    WB: 1:500~1:1000 IHC: 1:50~1:100 IF: 1:100~1:500 ELISA: 1:10000

    Kommentare

    Unigene-Number: Hs.90303 (NCBI Gene Symbol: TSC2)

    Beschränkungen

    Nur für Forschungszwecke einsetzbar
  • Format

    Liquid

    Konzentration

    1 mg/mL

    Buffer

    phosphate buffered saline (without Mg2+ and Ca2+), pH 7.4, 150 mM NaCl, 0.02 % sodium azide and 50 % glycerol.

    Konservierungsmittel

    Sodium azide

    Vorsichtsmaßnahmen

    This product contains sodium azide: a POISONOUS AND HAZARDOUS SUBSTANCE which should be handled by trained staff only.

    Lagerung

    -20 °C

    Informationen zur Lagerung

    Stable at -20°C for at least 1 year.

    Haltbarkeit

    12 months
  • Target

    Tuberin (TSC2) (Tuberous Sclerosis 2 (TSC2))

    Andere Bezeichnung

    Tuberin/TSC2

    Hintergrund

    Synonyms: TSC2, tuberous sclerosis 2 gene, Tuberous sclerosis 2 homolog protein, Tuberous sclerosis 2 protein

    NCBI Gene Symbol: TSC2

    Molekulargewicht

    200 kDa

    Gen-ID

    7249

    OMIM

    191092

    UniProt

    P49815

    Pathways

    RTK Signalweg, AMPK Signaling, Fc-epsilon Rezeptor Signalübertragung, EGFR Signaling Pathway, Neurotrophin Signalübertragung, Regulation of Cell Size, Tube Formation, Protein targeting to Nucleus
Sie sind hier:
Chat with us!