Telefon:
+49 (0)241 95 163 153
Fax:
+49 (0)241 95 163 155
E-Mail:
orders@antikoerper-online.de

HSP27 Antikörper (pSer15)

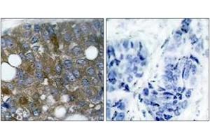
Der Kaninchen Polyklonal anti-HSP27 Antikörper (ABIN1531866) detektiert spezifisch HSP27 in WB, IHC und ELISA. Dieser Antikörper reagiert spezifisch mit Proben aus Human.
Produktnummer ABIN1531866
402,00 €
Zzgl. Versandkosten 20,00 € und MwSt
Lieferung nach: Deutschland
Lieferung in 6 bis 9 Werktagen

Kurzübersicht für HSP27 Antikörper (pSer15) (ABIN1531866)

Target

Alle HSP27 (HSPB1) Antikörper anzeigen
HSP27 (HSPB1) (Heat Shock 27kDa Protein 1 (HSPB1))

Reaktivität

  • 372
  • 138
  • 122
  • 36
  • 25
  • 25
  • 25
  • 11
  • 9
  • 5
  • 4
  • 4
  • 3
  • 2
  • 1
  • 1
Human

Wirt

  • 283
  • 97
Kaninchen

Klonalität

  • 211
  • 168
Polyklonal

Konjugat

  • 160
  • 26
  • 15
  • 11
  • 10
  • 9
  • 9
  • 9
  • 9
  • 9
  • 9
  • 7
  • 5
  • 5
  • 4
  • 4
  • 4
  • 4
  • 4
  • 4
  • 4
  • 4
  • 4
  • 4
  • 4
  • 4
  • 4
  • 3
  • 3
  • 3
  • 3
  • 3
  • 3
  • 3
  • 3
  • 3
  • 3
  • 3
  • 1
  • 1
Dieser HSP27 Antikörper ist unkonjugiert

Applikation

  • 317
  • 161
  • 129
  • 101
  • 95
  • 81
  • 80
  • 43
  • 41
  • 40
  • 15
  • 13
  • 12
  • 10
  • 7
  • 7
  • 3
  • 2
  • 2
  • 2
  • 2
  • 1
  • 1
  • 1
  • 1
Western Blotting (WB), Immunohistochemistry (IHC), ELISA
  • Bindungsspezifität

    • 52
    • 48
    • 31
    • 16
    • 16
    • 8
    • 8
    • 6
    • 6
    • 6
    • 6
    • 5
    • 3
    • 3
    • 3
    • 2
    • 2
    • 2
    • 2
    • 2
    • 2
    • 2
    • 2
    • 2
    • 2
    • 2
    • 1
    • 1
    • 1
    • 1
    • 1
    • 1
    • 1
    • 1
    • 1
    • 1
    • 1
    • 1
    • 1
    AA 5-54, pSer15

    Spezifität

    HSP27 (Phospho-Ser15) Antibody detects endogenous levels of HSP27 only when phosphorylated at Ser15.

    PhosphorylationH:S15

    Aufreinigung

    The antibody was purified from rabbit antiserum by affinity-chromatography using phospho peptide. The antibody against non-phospho peptide was removed by chromatography using corresponding non-phospho peptide.

    Reinheit

    > 95 %

    Immunogen

    The antiserum was produced against synthesized peptide derived from human HSP27 around the phosphorylation site of Ser15.

    Isotyp

    IgG
  • Applikationshinweise

    WB: 1:500~1:1000 IHC: 1:50~1:100 ELISA: 1:20000

    Kommentare

    Unigene-Number: Hs.520973 (NCBI Gene Symbol: HSPB1)

    Beschränkungen

    Nur für Forschungszwecke einsetzbar
  • Format

    Liquid

    Konzentration

    1 mg/mL

    Buffer

    phosphate buffered saline (without Mg2+ and Ca2+), pH 7.4, 150 mM NaCl, 0.02 % sodium azide and 50 % glycerol.

    Konservierungsmittel

    Sodium azide

    Vorsichtsmaßnahmen

    This product contains sodium azide: a POISONOUS AND HAZARDOUS SUBSTANCE which should be handled by trained staff only.

    Lagerung

    -20 °C

    Informationen zur Lagerung

    Stable at -20°C for at least 1 year.

    Haltbarkeit

    12 months
  • Target

    HSP27 (HSPB1) (Heat Shock 27kDa Protein 1 (HSPB1))

    Andere Bezeichnung

    HSP27

    Hintergrund

    Synonyms: 28 kDa heat shock protein, Estrogen-regulated 24 kDa protein, Growth-related 25 kDa protein, Heat shock 27 kDa protein, HSP 27, HSP25, HSPB1, P25, SRP27, Stress-responsive protein 27

    NCBI Gene Symbol: HSPB1

    Molekulargewicht

    22 kDa

    Gen-ID

    3315

    OMIM

    602195

    UniProt

    P04792

    Pathways

    MAPK Signalweg, Regulation of Actin Filament Polymerization, Signaling Events mediated by VEGFR1 and VEGFR2, Negative Regulation of intrinsic apoptotic Signaling, VEGF Signaling
Sie sind hier:
Chat with us!