Telefon:
+49 (0)241 95 163 153
Fax:
+49 (0)241 95 163 155
E-Mail:
orders@antikoerper-online.de

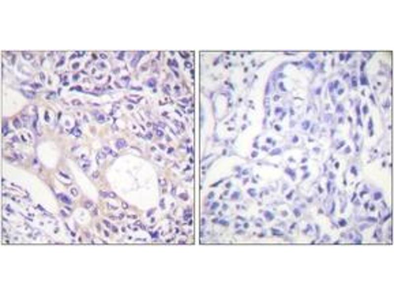
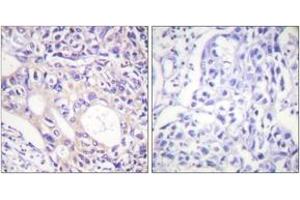
Aurora Kinase (AA 256-305), (pThr288) Antikörper

Der Kaninchen Polyklonal anti-Aurora Kinase Antikörper (ABIN1531301) detektiert spezifisch Aurora Kinase in WB, IHC und ELISA. Dieser Antikörper reagiert spezifisch mit Proben aus Human, Maus und Ratte.
Produktnummer ABIN1531301
402,00 €
Zzgl. Versandkosten 20,00 € und MwSt
Lieferung nach: Deutschland
Lieferung in 6 bis 9 Werktagen

Kurzübersicht für Aurora Kinase (AA 256-305), (pThr288) Antikörper (ABIN1531301)

Target

Aurora Kinase

Reaktivität

Human, Maus, Ratte

Wirt

  • 3
  • 1
Kaninchen

Klonalität

  • 4
Polyklonal

Konjugat

  • 4
Unkonjugiert

Applikation

Western Blotting (WB), Immunohistochemistry (IHC), ELISA
  • Bindungsspezifität

    • 1
    • 1
    • 1
    • 1
    AA 256-305, pThr288

    Spezifität

    Aurora Kinase (Phospho-Thr288) Antibody detects endogenous levels of Aurora Kinase only when phosphorylated at Thr288.

    PhosphorylationH:T288 M:T279 R:T281

    Aufreinigung

    The antibody was purified from rabbit antiserum by affinity-chromatography using phospho peptide. The antibody against non-phospho peptide was removed by chromatography using corresponding non-phospho peptide.

    Reinheit

    > 95 %

    Immunogen

    The antiserum was produced against synthesized peptide derived from human Aurora Kinase around the phosphorylation site of Thr288.

    Isotyp

    IgG
  • Applikationshinweise

    WB: 1:500~1:1000 IHC: 1:50~1:100 ELISA: 1:1000

    Kommentare

    Unigene-Number: Hs.250822 (NCBI Gene Symbol: AURKA)

    Beschränkungen

    Nur für Forschungszwecke einsetzbar
  • Format

    Liquid

    Konzentration

    1 mg/mL

    Buffer

    phosphate buffered saline (without Mg2+ and Ca2+), pH 7.4, 150 mM NaCl, 0.02 % sodium azide and 50 % glycerol.

    Konservierungsmittel

    Sodium azide

    Vorsichtsmaßnahmen

    This product contains sodium azide: a POISONOUS AND HAZARDOUS SUBSTANCE which should be handled by trained staff only.

    Lagerung

    -20 °C

    Informationen zur Lagerung

    Stable at -20°C for at least 1 year.

    Haltbarkeit

    12 months
  • Target

    Aurora Kinase

    Hintergrund

    Synonyms: AIK, ARK1, Aurora-A, Aurora-family kinase 1, Aurora-related kinase 1, Aurora/IPL1-related kinase 1, AYK1, Breast-tumor-amplified kinase, BTAK, IAK1, Ipl1- and aurora-related kinase 1, kinase AurA, Serine/threonine kinase 15, Serine/threonine kinase 6, Ser

    NCBI Gene Symbol: AURKA

    Molekulargewicht

    45 kDa

    Gen-ID

    6790

    OMIM

    603072

    UniProt

    O14965
Sie sind hier:
Chat with us!