Telefon:
+49 (0)241 95 163 153
Fax:
+49 (0)241 95 163 155
E-Mail:
orders@antikoerper-online.de

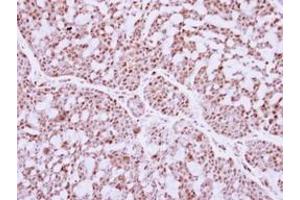
IRF9 Antikörper (AA 171-393)

Der Kaninchen Polyklonal anti-IRF9 Antikörper (ABIN1498905) detektiert spezifisch IRF9 in WB, IF, IHC, ICC und IHC (p). Dieser Antikörper reagiert spezifisch mit Proben aus Human.
Produktnummer ABIN1498905
833,74 €
Zzgl. Versandkosten 20,00 € und MwSt
100 μL
Lieferung nach: Deutschland
Lieferung in 15 bis 20 Werktagen

Kurzübersicht für IRF9 Antikörper (AA 171-393) (ABIN1498905)

Target

Alle IRF9 Antikörper anzeigen
IRF9 (Interferon Regulatory Factor 9 (IRF9))

Reaktivität

  • 59
  • 15
  • 3
  • 2
  • 2
  • 2
  • 2
  • 2
  • 2
  • 1
  • 1
  • 1
Human

Wirt

  • 53
  • 7
  • 1
Kaninchen

Klonalität

  • 45
  • 15
Polyklonal

Konjugat

  • 27
  • 4
  • 3
  • 2
  • 2
  • 2
  • 2
  • 2
  • 2
  • 2
  • 1
  • 1
  • 1
  • 1
  • 1
  • 1
  • 1
  • 1
  • 1
  • 1
  • 1
  • 1
  • 1
Dieser IRF9 Antikörper ist unkonjugiert

Applikation

  • 46
  • 20
  • 15
  • 14
  • 14
  • 13
  • 13
  • 11
  • 6
  • 4
  • 3
Western Blotting (WB), Immunofluorescence (IF), Immunohistochemistry (IHC), Immunocytochemistry (ICC), Immunohistochemistry (Paraffin-embedded Sections) (IHC (p))
  • Bindungsspezifität

    • 15
    • 6
    • 6
    • 3
    • 2
    • 1
    • 1
    • 1
    • 1
    • 1
    • 1
    AA 171-393

    Spezifität

    Human IRF9

    Homologie

    Percent identity by BLAST analysis: Human (100%) Bovine (84%) Mouse (81%).

    Aufreinigung

    Immunoaffinity purified

    Immunogen

    Recombinant fragment corresponding to a region within amino acids 171 and 393 of IRF9 (SwissProt Q00978). Percent identity by BLAST analysis: Human (100%), Bovine (84%), Mouse (81%).

    Type of Immunogen: Recombinant protein

    Isotyp

    IgG
  • Applikationshinweise

    Approved: ICC (1:100 - 1:1000), IF (1:100 - 1:1000), IHC, IHC-P (1:100 - 1:1000), WB (1:1000 - 1:10000)

    Usage: Suggested starting dilutions are as follows: Western blot: 1:1000-1:10000, IHC-Paraffin: 1:100-1:1000 [suggested antigen retrieval using heat mediated 10 mM Citrate buffer (  pH 6.0) or Tris-EDTA buffer (  pH 8.0)], ICC/IF: 1:100-1:1000. Not yet tested in other applications. Optimal working dilutions should be determined experimentally by the end user.

    Kommentare

    Target Species of Antibody: Human

    Beschränkungen

    Nur für Forschungszwecke einsetzbar
  • Format

    Liquid

    Konzentration

    Lot specific

    Buffer

    0.1 M Tris-glycine,  pH 7, 20 % Glycerol, 0.01 % Thimerosal

    Konservierungsmittel

    Thimerosal (Merthiolate)

    Vorsichtsmaßnahmen

    This product contains Thimerosal (Merthiolate): a POISONOUS AND HAZARDOUS SUBSTANCE which should be handled by trained staff only.

    Handhabung

    Avoid freeze-thaw cycles.

    Lagerung

    -20 °C

    Informationen zur Lagerung

    Aliquot and freeze at -20°C. Avoid freeze-thaw cycles.
  • Target

    IRF9 (Interferon Regulatory Factor 9 (IRF9))

    Andere Bezeichnung

    ISGF3 / IRF9

    Hintergrund

    Name/Gene ID: IRF9

    Synonyms: IRF9, Interferon regulatory factor 9, ISGF3 p48 subunit, ISGF3G, p48, IRF-9, ISGF3, ISGF-3 gamma

    Gen-ID

    10379

    UniProt

    Q00978

    Pathways

    JAK-STAT Signalweg, Interferon-gamma Pathway, Hepatitis C
Sie sind hier:
Chat with us!