Telefon:
+49 (0)241 95 163 153
Fax:
+49 (0)241 95 163 155
E-Mail:
orders@antikoerper-online.de

ATG5 Antikörper (N-Term)

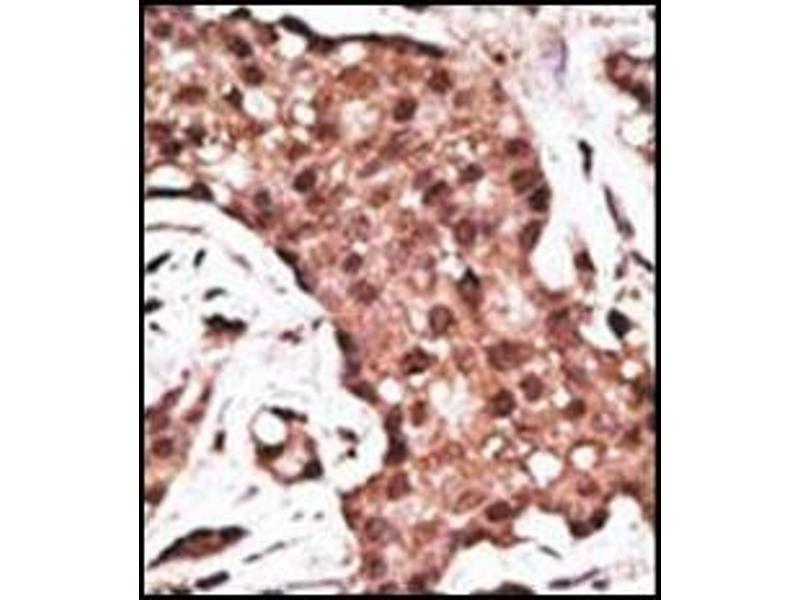
Der Kaninchen Polyklonal anti-ATG5 Antikörper wird verwendet zum Nachweis von ATG5 in Proben von Human und Maus. Er wurde validiert für WB, IF, IHC (p) und EIA.
Produktnummer ABIN1449605
870,77 €
Zzgl. Versandkosten 20,00 € und MwSt
0.4 mL
Lieferung nach: Deutschland
Lieferung in 16 Werktagen

Kurzübersicht für ATG5 Antikörper (N-Term) (ABIN1449605)

Target

Alle ATG5 Antikörper anzeigen
ATG5 (ATG5 Autophagy Related 5 (ATG5))

Reaktivität

  • 141
  • 69
  • 56
  • 8
  • 6
  • 6
  • 5
  • 5
  • 4
  • 4
  • 4
  • 3
  • 3
  • 2
  • 2
Human, Maus

Wirt

  • 97
  • 47
  • 4
  • 1
Kaninchen

Klonalität

  • 85
  • 64
Polyklonal

Konjugat

  • 77
  • 7
  • 7
  • 5
  • 4
  • 4
  • 3
  • 3
  • 3
  • 3
  • 3
  • 3
  • 2
  • 2
  • 2
  • 2
  • 2
  • 2
  • 2
  • 1
  • 1
  • 1
  • 1
  • 1
  • 1
  • 1
  • 1
  • 1
  • 1
  • 1
  • 1
  • 1
Dieser ATG5 Antikörper ist unkonjugiert

Applikation

  • 106
  • 66
  • 49
  • 26
  • 20
  • 19
  • 18
  • 17
  • 15
  • 14
  • 13
  • 5
  • 3
  • 3
  • 2
  • 2
  • 2
  • 1
Western Blotting (WB), Immunofluorescence (IF), Immunohistochemistry (Paraffin-embedded Sections) (IHC (p)), Enzyme Immunoassay (EIA)
  • Bindungsspezifität

    • 25
    • 16
    • 8
    • 5
    • 5
    • 4
    • 4
    • 4
    • 3
    • 3
    • 2
    • 2
    • 2
    • 2
    • 2
    • 2
    • 2
    • 2
    • 1
    • 1
    • 1
    • 1
    • 1
    • 1
    • 1
    AA 1-30, N-Term

    Spezifität

    This antibody recognizes Human and Mouse ATG5 (N-term). Other species not tested.

    Aufreinigung

    Saturated Ammonium Sulfate precipitation followed by dialysis against PBS

    Immunogen

    KLH conjugated synthetic peptide between 1~30 amino acids from the N-term of Human APG5L Genename: ATG5

    Isotyp

    Ig Fraction
  • Applikationshinweise

    Optimal working dilution should be determined by the investigator.

    Beschränkungen

    Nur für Forschungszwecke einsetzbar
  • Format

    Liquid

    Konzentration

    0.25 mg/mL

    Buffer

    PBS containing 0.09 % (W/V) Sodium Azide as preservative

    Konservierungsmittel

    Sodium azide

    Vorsichtsmaßnahmen

    This product contains sodium azide: a POISONOUS AND HAZARDOUS SUBSTANCE which should be handled by trained staff only.

    Handhabung

    Avoid repeated freezing and thawing.

    Lagerung

    4 °C/-20 °C

    Informationen zur Lagerung

    Store undiluted at 2-8 °C for one month or (in aliquots) at -20 °C for longer.
  • Target

    ATG5 (ATG5 Autophagy Related 5 (ATG5))

    Andere Bezeichnung

    APG5L / ATG5

    Hintergrund

    Macroautophagy is the major inducible pathway for the general turnover of cytoplasmic constituents in eukaryotic cells, it is also responsible for the degradation of active cytoplasmic enzymes and organelles during nutrient starvation. Macroautophagy involves the formation of double-membrane bound autophagosomes which enclose the cytoplasmic constituent targeted for degradation in a membrane bound structure, which then fuse with the lysosome (or vacuole) releasing a single-membrane bound autophagic bodies which are then degraded within the lysosome (or vacuole). APG5, required for autophagy, conjugates to ATG12 and associates with an isolation membrane to form a cup-shaped isolation membrane and autophagosome. The conjugate detaches from the membrane immediately before or after autophagosome formation is completed. APG5 may also play an important role in the apoptotic process, possibly within the modified cytoskeleton. Its expression is a relatively late event in the apoptotic process, occurring downstream of caspase activity.Synonyms: APG5-like, ASP, Apoptosis-specific protein, Autophagy protein 5

    Molekulargewicht

    32447 Da

    Gen-ID

    9474

    NCBI Accession

    NP_004840

    Pathways

    Activation of Innate immune Response, Production of Molecular Mediator of Immune Response, Autophagie
Sie sind hier:
Chat with us!