Phospholipase C beta 1 Antikörper (AA 441-540)
Kurzübersicht für Phospholipase C beta 1 Antikörper (AA 441-540) (ABIN1385859)
Target
Alle Phospholipase C beta 1 (PLCB1) Antikörper anzeigenReaktivität
Wirt
Klonalität
Konjugat
Applikation
-
-
Bindungsspezifität
- AA 441-540
-
Kreuzreaktivität
- Human, Ratte
-
Homologie
- Mouse,Dog,Cow,Horse,Chicken
-
Aufreinigung
- Purified by Protein A.
-
Immunogen
- KLH conjugated synthetic peptide derived from human Phospholipase C beta 1
-
Isotyp
- IgG
-
-
-
-
Applikationshinweise
-
WB 1:300-5000
ELISA 1:500-1000
FCM 1:20-100
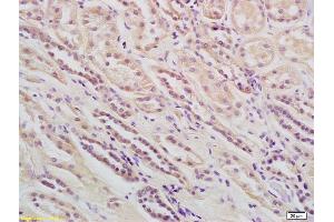
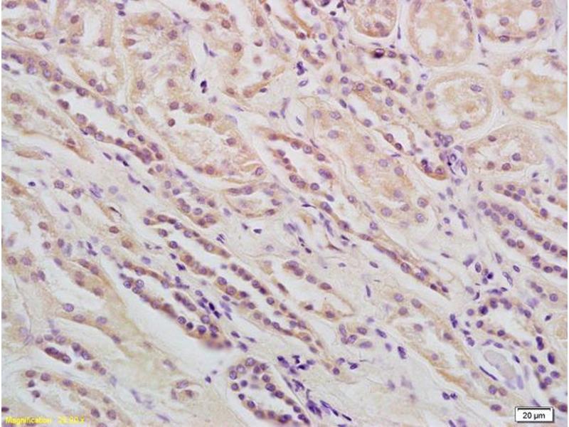
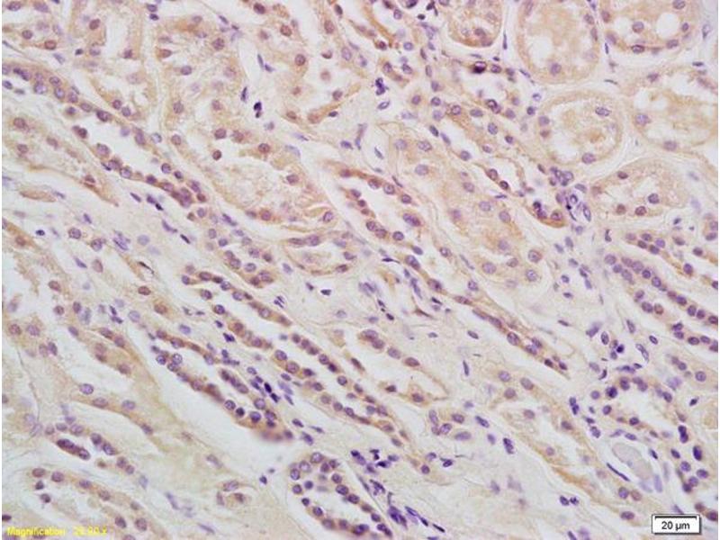
IHC-P 1:200-400
IHC-F 1:100-500
IF(IHC-P) 1:50-200
IF(IHC-F) 1:50-200
IF(ICC) 1:50-200 -
Beschränkungen
- Nur für Forschungszwecke einsetzbar
-
-
-
Format
- Liquid
-
Konzentration
- 1 μg/μL
-
Buffer
- 0.01M TBS( pH 7.4) with 1 % BSA, 0.02 % Proclin300 and 50 % Glycerol.
-
Konservierungsmittel
- ProClin
-
Vorsichtsmaßnahmen
- This product contains ProClin: a POISONOUS AND HAZARDOUS SUBSTANCE, which should be handled by trained staff only.
-
Lagerung
- 4 °C,-20 °C
-
Informationen zur Lagerung
- Shipped at 4°C. Store at -20°C for one year. Avoid repeated freeze/thaw cycles.
-
Haltbarkeit
- 12 months
-
-
- Phospholipase C beta 1 (PLCB1) (phospholipase C, beta 1 (phosphoinositide-Specific) (PLCB1))
-
Andere Bezeichnung
- Phospholipase C beta 1
-
Hintergrund
-
Synonyms: 1-phosphatidylinositol-45-bisphosphate phosphodiesterase beta 1, 1vphosphatidylinositol 4,5 bisphosphate phosphodiesterase beta 1 , Phosphb, Phosphoinositide phospholipase C, Phosphoinositide phospholipase C-beta 1, Phospholipase C beta 1 phosphoinositide-specic, Phospholipase C I, PI PLC, PLC 1, PLC_1, PLC-154, PLC-beta-1, PLC-I, PLC154, Plcb, PLCB1, Plcb1 protein, PLCbeta1.
Background: Phospholipase C beta 1 catalyzes the formation of inositol 1,4,5-trisphosphate and diacylglycerol from phosphatidylinositol 4,5-bisphosphate. This reaction uses calcium as a cofactor and plays an important role in the intracellular transduction of many extracellular signals. Its gene is activated by two G-protein alpha subunits, alpha-q and alpha-11. Two transcript variants encoding different isoforms have been found for its gene.
-
Gen-ID
- 23236
-
Pathways
- WNT Signalweg, AMPK Signaling, Thyroid Hormone Synthesis, Inositol Metabolic Process, Regulation of Muscle Cell Differentiation, Regulation of G-Protein Coupled Receptor Protein Signaling, Proton Transport, Skeletal Muscle Fiber Development, CXCR4-mediated Signaling Events, G-protein mediated Events
Target
-