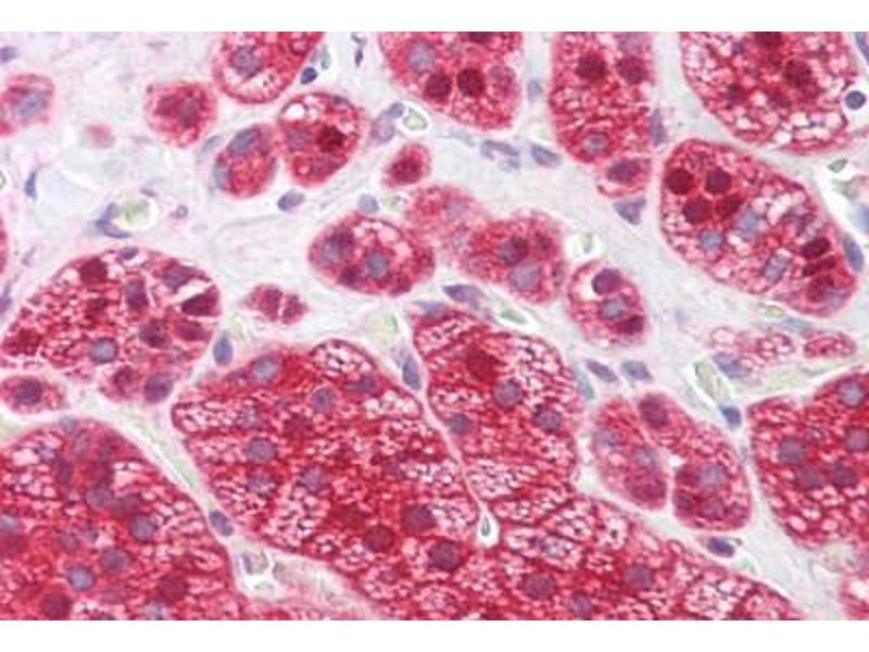
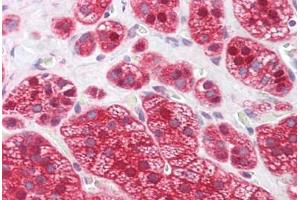
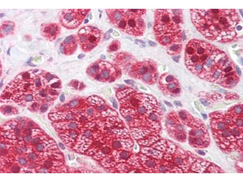
UCHL3 Antikörper
Kurzübersicht für UCHL3 Antikörper (ABIN1104917)
Target
Alle UCHL3 (Uchl3) Antikörper anzeigenReaktivität
Wirt
Klonalität
Konjugat
Applikation
-
-
Aufreinigung
- Ammonium sulfate precipitation
-
Immunogen
-
Recombinant human protein purified from E. coli (GST-UCHL3).
Type of Immunogen: Recombinant protein -
Isotyp
- IgG2b kappa
-
-
-
-
Applikationshinweise
- Approved: ELISA, IHC, IHC-P (1:200), WB (1:1000)
-
Kommentare
-
Target Species of Antibody: Human
-
Beschränkungen
- Nur für Forschungszwecke einsetzbar
-
-
-
Format
- Liquid
-
Konzentration
- Lot specific
-
Buffer
- HEPES with 0.15M NaCl, 0.01 % BSA, 0.03 % sodium azide, and 50 % glycerol
-
Konservierungsmittel
- Sodium azide
-
Vorsichtsmaßnahmen
- This product contains Sodium azide: a POISONOUS AND HAZARDOUS SUBSTANCE which should be handled by trained staff only.
-
Lagerung
- -20 °C
-
Informationen zur Lagerung
-
Short term: -20°C
Long term: -20°C.
-
-
- UCHL3 (Uchl3) (Ubiquitin Carboxyl-terminal Esterase L3 (Ubiquitin Thiolesterase) (Uchl3))
-
Andere Bezeichnung
- UCHL3
-
Hintergrund
-
Name/Gene ID: UCHL3
Subfamily: Cysteine C12
Family: Protease
Synonyms: UCHL3, Ubiquitin thiolesterase, Ubiquitin thioesterase L3, UCH-L3 -
Gen-ID
- 7347
-
UniProt
- P15374
-
Pathways
- Feeding Behaviour, Positive Regulation of fat Cell Differentiation
Target
-