Telefon:
+49 (0)241 95 163 153
Fax:
+49 (0)241 95 163 155
E-Mail:
orders@antikoerper-online.de

Uveal Autoantigen With Coiled Coil Domains And Ankyrin Repeats Antikörper

(Uveal Autoantigen With Coiled Coil Domains And Ankyrin Repeats (UACA))

Wählen Sie einen von 50 UACA-Antikörpern aus unserem Produktangebot basierend auf 1 Publikation und 15 Validierungsbilder.

Entdecken Sie zuverlässige UACA-Antikörper von einer großen Zahl namhafter Hersteller. Unser Portfolio ermöglicht eine präzise UACA-Detektion in verschiedenen Spezies, darunter Human, Mouse, Cow, Rabbit, Rat, Dog, Guinea Pig, Horse, Monkey, Pig, und unterstützt vielfältige Forschungsanwendungen wie WB, IF, IF (cc), IF (p), FACS.

Finden Sie schnell den passenden Antikörper mit unseren Such-, Filter- und Vergleichsfunktionen. Auf jeder Produktseite stehen Ihnen detaillierte Validierungsdaten, Literaturreferenzen und Kundenbewertungen zur Verfügung. Im Gegensatz zu reinen Vergleichsportalen können Sie Ihre Antikörper direkt über unsere Plattform erwerben. Wählen Sie aus polyklonalen, monoklonalen oder rekombinanten UACA-Antikörpern aus verschiedenen Wirtsarten wie Rabbit, Mouse. Durchstöbern Sie unten unsere Auswahl an UACA-Antikörpern und bestellen Sie direkt, um Ihre Forschung effizient voranzubringen.

Alternative Bezeichnungen für UACA sind UACA, Uaca.

50 Treffer

UACA Reaktivität: Human WB, IHC, IP, ICC Wirt: Kaninchen Polyclonal unconjugated
Produktnummer ABIN7441670
334,46 €
Zzgl. Versandkosten 20,00 € und MwSt
100 μL (Weitere Mengeneinheiten)
Lieferung nach: Deutschland
Lieferung in 11 bis 15 Werktagen
 
UACA Reaktivität: Human WB, IHC, ELISA Wirt: Kaninchen Polyclonal unconjugated
Produktnummer ABIN7175186
328,90 €
Zzgl. Versandkosten 20,00 € und MwSt
100 μL (Weitere Mengeneinheiten)
Lieferung nach: Deutschland
Lieferung in 11 bis 15 Werktagen
 
UACA Reaktivität: Human IHC Wirt: Kaninchen Polyclonal unconjugated
Produktnummer ABIN7448846
571,23 €
Zzgl. Versandkosten 20,00 € und MwSt
25 μg (Weitere Mengeneinheiten)
Lieferung nach: Deutschland
Lieferung in 7 bis 10 Werktagen
 
UACA Reaktivität: Human, Maus IHC, ELISA Wirt: Kaninchen Polyclonal unconjugated
Produktnummer ABIN7244153
449,00 €
Zzgl. Versandkosten 20,00 € und MwSt
200 μL (Weitere Mengeneinheiten)
Lieferung nach: Deutschland
Lieferung in 9 bis 13 Werktagen
 
UACA Reaktivität: Human WB Wirt: Maus Polyclonal unconjugated
Produktnummer ABIN949409
651,20 €
Zzgl. Versandkosten 20,00 € und MwSt
50 μg
Lieferung nach: Deutschland
Lieferung in 8 bis 9 Werktagen
 
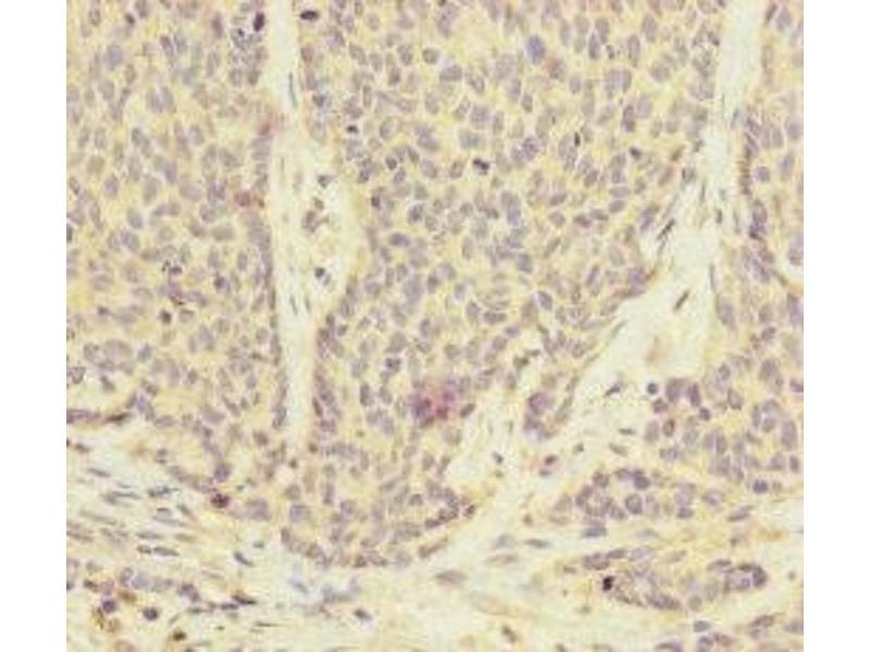
UACA Reaktivität: Human WB, ELISA, IF (cc), IF (p), IHC (p), IHC (fro) Wirt: Kaninchen Polyclonal unconjugated
Pubmed 1 reference
Produktnummer ABIN717191
357,70 €
Zzgl. Versandkosten 20,00 € und MwSt
100 μL
Lieferung nach: Deutschland
Lieferung in 8 bis 12 Werktagen
 
UACA Reaktivität: Human, Maus, Rind (Kuh), Hund, Meerschweinchen, Pferd, Affe, Schwein WB Wirt: Kaninchen Polyclonal unconjugated
Produktnummer ABIN6747684
789,41 €
Zzgl. Versandkosten 20,00 € und MwSt
100 μL
Lieferung nach: Deutschland
Lieferung in 15 bis 20 Werktagen
 
UACA Reaktivität: Human IP, IHC (fp) Wirt: Kaninchen Polyclonal unconjugated
Produktnummer ABIN7454402
576,62 €
Zzgl. Versandkosten 20,00 € und MwSt
100 μg (Weitere Mengeneinheiten)
Lieferung nach: Deutschland
Lieferung in 7 bis 10 Werktagen
 
UACA Reaktivität: Human, Maus, Ratte WB, IP Wirt: Kaninchen Polyclonal unconjugated
Produktnummer ABIN7452133
576,62 €
Zzgl. Versandkosten 20,00 € und MwSt
20 μg (Weitere Mengeneinheiten)
Lieferung nach: Deutschland
Lieferung in 7 bis 10 Werktagen
 
UACA Reaktivität: Human, Maus WB, IF, FACS Wirt: Maus Monoclonal AE-5 unconjugated
Produktnummer ABIN6940368
639,45 €
Zzgl. Versandkosten 20,00 € und MwSt
100 μg (Weitere Mengeneinheiten)
Lieferung nach: Deutschland
Lieferung in 6 bis 10 Werktagen
 
UACA Reaktivität: Human WB, IF (cc), IF (p) Wirt: Kaninchen Polyclonal AbBy Fluor® 647
Produktnummer ABIN919111
426,37 €
Zzgl. Versandkosten 20,00 € und MwSt
100 μL
Lieferung nach: Deutschland
Lieferung in 20 bis 25 Werktagen
 
UACA Reaktivität: Human WB, IF (cc), IF (p) Wirt: Kaninchen Polyclonal AbBy Fluor® 555
Produktnummer ABIN919110
426,37 €
Zzgl. Versandkosten 20,00 € und MwSt
100 μL
Lieferung nach: Deutschland
Lieferung in 20 bis 25 Werktagen
 
UACA Reaktivität: Human WB, IF (cc), IF (p) Wirt: Kaninchen Polyclonal AbBy Fluor® 488
Produktnummer ABIN919109
426,37 €
Zzgl. Versandkosten 20,00 € und MwSt
100 μL
Lieferung nach: Deutschland
Lieferung in 20 bis 25 Werktagen
 
UACA Reaktivität: Human WB, IF (cc), IF (p) Wirt: Kaninchen Polyclonal AbBy Fluor® 350
Produktnummer ABIN919108
426,37 €
Zzgl. Versandkosten 20,00 € und MwSt
100 μL
Lieferung nach: Deutschland
Lieferung in 20 bis 25 Werktagen
 
UACA Reaktivität: Human WB, IHC, ELISA Wirt: Kaninchen Polyclonal unconjugated
Produktnummer ABIN7571909
527,38 €
Zzgl. Versandkosten 20,00 € und MwSt
100 μg
Lieferung nach: Deutschland
Lieferung in 10 bis 13 Werktagen
 
UACA Reaktivität: Human WB, IF (cc), IF (p) Wirt: Kaninchen Polyclonal AbBy Fluor® 750
Produktnummer ABIN5012139
426,37 €
Zzgl. Versandkosten 20,00 € und MwSt
100 μL
Lieferung nach: Deutschland
Lieferung in 20 bis 25 Werktagen
 
UACA Reaktivität: Human WB, IF (cc), IF (p) Wirt: Kaninchen Polyclonal AbBy Fluor® 680
Produktnummer ABIN5012138
426,37 €
Zzgl. Versandkosten 20,00 € und MwSt
100 μL
Lieferung nach: Deutschland
Lieferung in 20 bis 25 Werktagen
 
UACA Reaktivität: Human WB, IF (cc), IF (p) Wirt: Kaninchen Polyclonal Cy5.5
Produktnummer ABIN717196
437,53 €
Zzgl. Versandkosten 20,00 € und MwSt
100 μL
Lieferung nach: Deutschland
Lieferung in 20 bis 25 Werktagen
 
UACA Reaktivität: Human WB, IF (cc), IF (p) Wirt: Kaninchen Polyclonal Cy7
Produktnummer ABIN717197
437,53 €
Zzgl. Versandkosten 20,00 € und MwSt
100 μL
Lieferung nach: Deutschland
Lieferung in 20 bis 25 Werktagen
 
UACA Reaktivität: Human WB, ELISA, IHC (p), IHC (fro) Wirt: Kaninchen Polyclonal HRP
Produktnummer ABIN717200
437,53 €
Zzgl. Versandkosten 20,00 € und MwSt
100 μL
Lieferung nach: Deutschland
Lieferung in 20 bis 25 Werktagen
 
  • Typ Primary
    • Primary
  • Anwendung
    • Western Blotting (WB)
    • Immunofluorescence (IF)
    • Immunofluorescence (Cultured Cells) (IF (cc))
    • Immunofluorescence (Paraffin-embedded Sections) (IF (p))
    • Flow Cytometry (FACS)
    • Immunohistochemistry (IHC)
    • Immunoprecipitation (IP)
    • ELISA
    • Immunohistochemistry (Paraffin-embedded Sections) (IHC (p))
    • Immunohistochemistry (Frozen Sections) (IHC (fro))
    • Immunocytochemistry (ICC)
    • Immunohistochemistry (Formalin-fixed Paraffin-embedded Sections) (IHC (fp))
  • Reaktivität
    • Human
    • Mouse
    • Cow
    • Rabbit
    • Rat
    • Dog
    • Guinea Pig
    • Horse
    • Monkey
    • Pig
  • In Publikationen zitiert
  • Abbildungen verfügbar
  • Nur ohne Konservierungsmittel
  • Carrier free only
  • Wirt
    • Rabbit
    • Mouse
  • Klonalität
    • Polyclonal
    • Monoclonal
  • Klon
    • AE-5
  • Bindungsspezifität
    • AA 311-410
    • AA 675-725
    • AA 1-1416
    • AA 1-50
    • AA 1075-1125
    • AA 29-209
    • AA 1-90
    • AA 1309-1358
    • C-Term
  • Konjugat
    • Unkonjugiert
    • Biotin
    • AbBy Fluor® 350
    • AbBy Fluor® 488
    • AbBy Fluor® 555
    • AbBy Fluor® 594
    • AbBy Fluor® 647
    • AbBy Fluor® 680
    • AbBy Fluor® 750
    • Alexa Fluor 488
    • Alexa Fluor 555
    • Alexa Fluor 594
    • Alexa Fluor 647
    • Alexa Fluor 680
    • Alexa Fluor 750
    • CF®405S
    • CF®488A
    • CF®568
    • CF®594
    • CF®640R
    • CF®647
    • CF®740
    • Cy3
    • Cy5
    • Cy5.5
    • Cy7
    • FITC
    • HRP
  • Isotyp
    • IgG
    • IgG1 kappa
    • IgG1
    • kappa
  • Format
    • Liquid
    • Lyophilized
  • Hersteller
    • antibodies-online
    • Biotium
    • Signalway
    • Aviva Systems Biology
    • NSJ Bioreagents
    • PROGEN
    • ProteoGenix
    • RayBiotech
    • USBio

Aktuelle Publikationen für unsere Uveal Autoantigen With Coiled Coil Domains And Ankyrin Repeats Antikörper

Akiyama: "Identification of UACA, EXOSC9, and ??X2 in bovine periosteal cells by mass spectrometry and immunohistochemistry." in: Analytical and bioanalytical chemistry, Vol. 406, Issue 24, pp. 5805-13, (2014) (PubMed).

Aliase für Uveal Autoantigen With Coiled Coil Domains And Ankyrin Repeats Antikörper

uveal autoantigen with coiled-coil domains and ankyrin repeats (UACA) Antikörper
uveal autoantigen with coiled-coil domains and ankyrin repeats (Uaca) Antikörper
2700059D02Rik Antikörper
NUCLING Antikörper
nucling Antikörper
RGD1560011 Antikörper
Sie sind hier:
Chat with us!