Telefon:
+49 (0)241 95 163 153
Fax:
+49 (0)241 95 163 155
E-Mail:
orders@antikoerper-online.de

TRPM6 Antikörper

(Transient Receptor Potential Cation Channel, Subfamily M, Member 6 (TRPM6))

Wählen Sie einen von 41 TRPM6-Antikörpern aus unserem Produktangebot basierend auf 3 Publikationen und 14 Validierungsbilder.

Entdecken Sie zuverlässige TRPM6-Antikörper von einer großen Zahl namhafter Hersteller. Unser Portfolio ermöglicht eine präzise TRPM6-Detektion in verschiedenen Spezies, darunter Human, Mouse, Rat, Cow, und unterstützt vielfältige Forschungsanwendungen wie IF (p), ELISA, IHC, WB, ICC.

Finden Sie schnell den passenden Antikörper mit unseren Such-, Filter- und Vergleichsfunktionen. Auf jeder Produktseite stehen Ihnen detaillierte Validierungsdaten, Literaturreferenzen und Kundenbewertungen zur Verfügung. Im Gegensatz zu reinen Vergleichsportalen können Sie Ihre Antikörper direkt über unsere Plattform erwerben. Wählen Sie aus polyklonalen, monoklonalen oder rekombinanten TRPM6-Antikörpern aus verschiedenen Wirtsarten wie Rabbit, Mouse, Guinea Pig. Durchstöbern Sie unten unsere Auswahl an TRPM6-Antikörpern und bestellen Sie direkt, um Ihre Forschung effizient voranzubringen.

Alternative Bezeichnungen für TRPM6 sind TRPM6, Trpm6.

41 Treffer

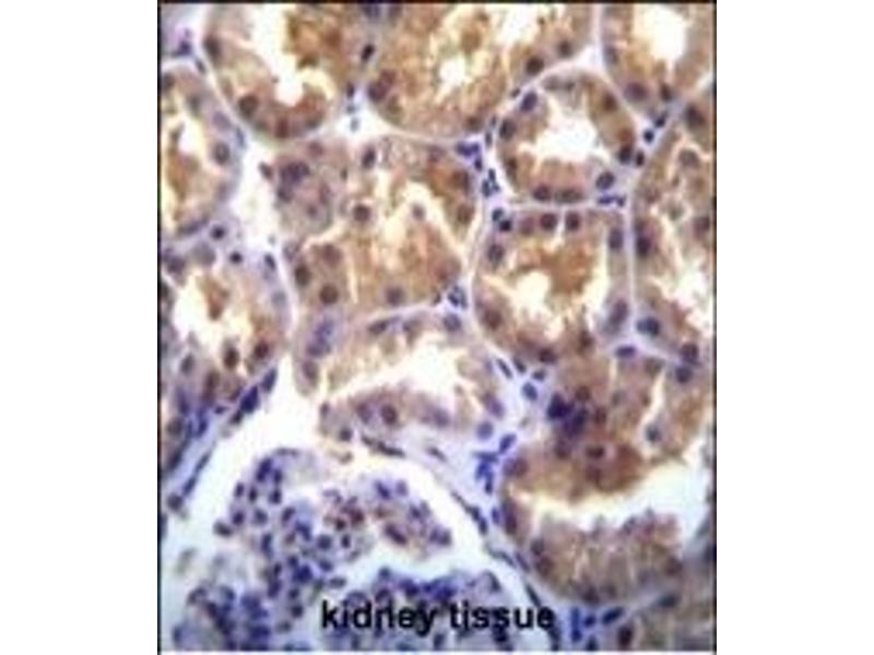
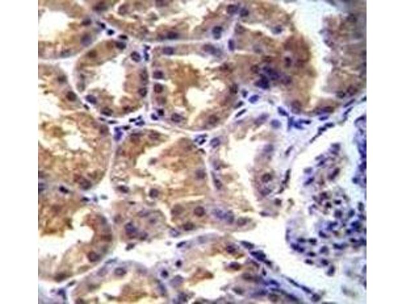
TRPM6 Reaktivität: Human WB, IHC (p) Wirt: Kaninchen Polyclonal RB3407 unconjugated
Pubmed 3 Referenzen
Produktnummer ABIN392616
434,77 €
Zzgl. Versandkosten 20,00 € und MwSt
400 μL (Weitere Mengeneinheiten)
Lieferung nach: Deutschland
Lieferung in 14 bis 17 Werktagen
 
TRPM6 Reaktivität: Human IHC, ELISA, IF Wirt: Kaninchen Polyclonal unconjugated
Produktnummer ABIN7172868
328,90 €
Zzgl. Versandkosten 20,00 € und MwSt
100 μL (Weitere Mengeneinheiten)
Lieferung nach: Deutschland
Lieferung in 11 bis 15 Werktagen
 
TRPM6 Reaktivität: Maus IHC, WB, FACS, LCI Wirt: Kaninchen Polyclonal unconjugated
Produktnummer ABIN7043835
854,77 €
Zzgl. Versandkosten 20,00 € und MwSt
25 μL (Weitere Mengeneinheiten)
Lieferung nach: Deutschland
Lieferung in 8 bis 9 Werktagen
 
TRPM6 Reaktivität: Maus FACS, LCI Wirt: Kaninchen Polyclonal FITC
Produktnummer ABIN7582083
1.198,15 €
Zzgl. Versandkosten 20,00 € und MwSt
50 μL (Weitere Mengeneinheiten)
Lieferung nach: Deutschland
Lieferung in 8 bis 9 Werktagen
 
TRPM6 Reaktivität: Human IHC, ELISA, WB Wirt: Kaninchen Polyclonal unconjugated
Produktnummer ABIN3029237
631,13 €
Zzgl. Versandkosten 20,00 € und MwSt
400 μL (Weitere Mengeneinheiten)
Lieferung nach: Deutschland
Lieferung in 6 bis 9 Werktagen
 
TRPM6 Reaktivität: Human ELISA, WB Wirt: Kaninchen Polyclonal unconjugated
Produktnummer ABIN7192924
328,90 €
Zzgl. Versandkosten 20,00 € und MwSt
100 μL (Weitere Mengeneinheiten)
Lieferung nach: Deutschland
Lieferung in 11 bis 15 Werktagen
 
TRPM6 Reaktivität: Human, Maus, Ratte IF (p), IHC (p) Wirt: Kaninchen Polyclonal unconjugated
Produktnummer ABIN1386902
357,70 €
Zzgl. Versandkosten 20,00 € und MwSt
100 μL
Lieferung nach: Deutschland
Lieferung in 8 bis 12 Werktagen
 
TRPM6 Reaktivität: Human, Maus, Ratte IF (p) Wirt: Kaninchen Polyclonal AbBy Fluor® 555
Produktnummer ABIN1400537
426,37 €
Zzgl. Versandkosten 20,00 € und MwSt
100 μL
Lieferung nach: Deutschland
Lieferung in 20 bis 25 Werktagen
 
TRPM6 Reaktivität: Human, Maus, Ratte IF (p) Wirt: Kaninchen Polyclonal AbBy Fluor® 488
Produktnummer ABIN1400536
426,37 €
Zzgl. Versandkosten 20,00 € und MwSt
100 μL
Lieferung nach: Deutschland
Lieferung in 20 bis 25 Werktagen
 
TRPM6 Reaktivität: Human, Maus, Ratte IF (p) Wirt: Kaninchen Polyclonal AbBy Fluor® 350
Produktnummer ABIN1400535
426,37 €
Zzgl. Versandkosten 20,00 € und MwSt
100 μL
Lieferung nach: Deutschland
Lieferung in 20 bis 25 Werktagen
 
TRPM6 Reaktivität: Human, Maus, Ratte IF (p) Wirt: Kaninchen Polyclonal AbBy Fluor® 647
Produktnummer ABIN1400538
426,37 €
Zzgl. Versandkosten 20,00 € und MwSt
100 μL
Lieferung nach: Deutschland
Lieferung in 20 bis 25 Werktagen
 
TRPM6 Reaktivität: Human, Maus, Ratte IF (p) Wirt: Kaninchen Polyclonal FITC
Produktnummer ABIN1400540
437,53 €
Zzgl. Versandkosten 20,00 € und MwSt
100 μL
Lieferung nach: Deutschland
Lieferung in 20 bis 25 Werktagen
 
TRPM6 Reaktivität: Human, Maus, Ratte IHC (p) Wirt: Kaninchen Polyclonal Biotin
Produktnummer ABIN1400539
419,50 €
Zzgl. Versandkosten 20,00 € und MwSt
100 μL
Lieferung nach: Deutschland
Lieferung in 20 bis 25 Werktagen
 
TRPM6 Reaktivität: Human, Maus, Ratte IF (p) Wirt: Kaninchen Polyclonal Cy3
Produktnummer ABIN1418405
437,53 €
Zzgl. Versandkosten 20,00 € und MwSt
100 μL
Lieferung nach: Deutschland
Lieferung in 20 bis 25 Werktagen
 
TRPM6 Reaktivität: Human, Maus, Ratte IHC (p) Wirt: Kaninchen Polyclonal HRP
Produktnummer ABIN1418410
437,53 €
Zzgl. Versandkosten 20,00 € und MwSt
100 μL
Lieferung nach: Deutschland
Lieferung in 20 bis 25 Werktagen
 
TRPM6 Reaktivität: Human, Maus, Ratte IF (p) Wirt: Kaninchen Polyclonal Cy7
Produktnummer ABIN1418408
437,53 €
Zzgl. Versandkosten 20,00 € und MwSt
100 μL
Lieferung nach: Deutschland
Lieferung in 20 bis 25 Werktagen
 
TRPM6 Reaktivität: Human, Maus, Ratte IF (p) Wirt: Kaninchen Polyclonal Cy5.5
Produktnummer ABIN1418407
437,53 €
Zzgl. Versandkosten 20,00 € und MwSt
100 μL
Lieferung nach: Deutschland
Lieferung in 20 bis 25 Werktagen
 
TRPM6 Reaktivität: Human, Maus, Ratte IF (p) Wirt: Kaninchen Polyclonal Cy5
Produktnummer ABIN1418406
437,53 €
Zzgl. Versandkosten 20,00 € und MwSt
100 μL
Lieferung nach: Deutschland
Lieferung in 20 bis 25 Werktagen
 
TRPM6 IHC, WB Wirt: Maus Monoclonal N470-22 unconjugated Recombinant Antibody
Produktnummer ABIN7574315
565,05 €
Zzgl. Versandkosten 20,00 € und MwSt
100 μg
Lieferung nach: Deutschland
Lieferung in 10 bis 13 Werktagen
 
TRPM6 Reaktivität: Human, Maus, Ratte IF (p) Wirt: Kaninchen Polyclonal AbBy Fluor® 750
Produktnummer ABIN5011997
426,37 €
Zzgl. Versandkosten 20,00 € und MwSt
100 μL
Lieferung nach: Deutschland
Lieferung in 20 bis 25 Werktagen
 
  • Typ Primary
    • Primary
  • Anwendung
    • Immunofluorescence (Paraffin-embedded Sections) (IF (p))
    • ELISA
    • Immunohistochemistry (IHC)
    • Western Blotting (WB)
    • Immunocytochemistry (ICC)
    • Immunohistochemistry (Paraffin-embedded Sections) (IHC (p))
    • Flow Cytometry (FACS)
    • Live Cell Imaging (LCI)
    • Immunofluorescence (IF)
  • Reaktivität
    • Human
    • Mouse
    • Rat
    • Cow
  • In Publikationen zitiert
  • Abbildungen verfügbar
  • Nur ohne Konservierungsmittel
  • Carrier free only
  • Wirt
    • Rabbit
    • Mouse
    • Guinea Pig
  • Klonalität
    • Polyclonal
    • Monoclonal
  • Klon
    • N470-22
    • RB3407
  • Bindungsspezifität
    • AA 1258-1480
    • C-Term
    • Cytosolic
    • Internal Region
    • AA 317-348
    • AA 802-815
    • Extracellular
    • AA 740-840
  • Konjugat
    • Unkonjugiert
    • FITC
    • Biotin
    • HRP
    • PE
    • APC
    • AbBy Fluor® 350
    • AbBy Fluor® 488
    • AbBy Fluor® 555
    • AbBy Fluor® 594
    • AbBy Fluor® 647
    • AbBy Fluor® 680
    • AbBy Fluor® 750
    • Alexa Fluor 488
    • Alexa Fluor 555
    • Alexa Fluor 594
    • Alexa Fluor 647
    • Alexa Fluor 680
    • Alexa Fluor 750
    • Cy3
    • Cy5
    • Cy5.5
    • Cy7
    • FL490
    • FL550
    • FL594
    • FL650
  • Isotyp
    • IgG
    • IgG2a
    • Ig Fraction
    • kappa
  • Protein-Typ
    • Recombinant Antibody
  • Format
    • Liquid
    • Lyophilized
  • Grade
    • Carrier-free
  • Hersteller
    • antibodies-online
    • Antibodies Incorporated
    • Signalway
    • Alomone Labs
    • NSJ Bioreagents
    • RayBiotech

Aktuelle Publikationen für unsere TRPM6 Antikörper

Furukawa, Fujii, Manabe, Matsunaga, Endo, Hasegawa, Ito, Yamaguchi, Yamazaki, Ikari: "Up-Regulation of Transient Receptor Potential Melastatin 6 Channel Expression by Tumor Necrosis Factor-α in the Presence of Epidermal Growth Factor Receptor Tyrosine Kinase Inhibitor." in: Journal of cellular physiology, Vol. 232, Issue 10, pp. 2841-2850, (2017) (PubMed).

Lee, Chen, Ng, Lai, Lien: "Renal adaptation to gentamicin-induced mineral loss." in: American journal of nephrology, Vol. 35, Issue 3, pp. 279-86, (2012) (PubMed).

Ikari, Okude, Sawada, Takahashi, Sugatani, Miwa: "Down-regulation of TRPM6-mediated magnesium influx by cyclosporin A." in: Naunyn-Schmiedeberg's archives of pharmacology, Vol. 377, Issue 4-6, pp. 333-43, (2008) (PubMed).

Ikari, Okude, Sawada, Yamazaki, Sugatani, Miwa: "TRPM6 expression and cell proliferation are up-regulated by phosphorylation of ERK1/2 in renal epithelial cells." in: Biochemical and biophysical research communications, Vol. 369, Issue 4, pp. 1129-33, (2008) (PubMed).

Cantrell: "Phosphoinositide 3-kinase signalling pathways." in: Journal of cell science, Vol. 114, Issue Pt 8, pp. 1439-45, (2001) (PubMed).

Blume-Jensen, Hunter: "Oncogenic kinase signalling." in: Nature, Vol. 411, Issue 6835, pp. 355-65, (2001) (PubMed).

Jhiang: "The RET proto-oncogene in human cancers." in: Oncogene, Vol. 19, Issue 49, pp. 5590-7, (2000) (PubMed).

Aliase für TRPM6 Antikörper

transient receptor potential cation channel subfamily M member 6 (TRPM6) Antikörper
transient receptor potential cation channel, subfamily M, member 6 (Trpm6) Antikörper
CHAK2 Antikörper
HMGX Antikörper
HOMG Antikörper
HOMG1 Antikörper
HSH Antikörper
TRPM6 Antikörper
TRPM6/CHAK2 Antikörper
Sie sind hier:
Chat with us!