Telefon:
+49 (0)241 95 163 153
Fax:
+49 (0)241 95 163 155
E-Mail:
orders@antikoerper-online.de

TNFAIP3 Antikörper

(Tumor Necrosis Factor, alpha-Induced Protein 3 (TNFAIP3))

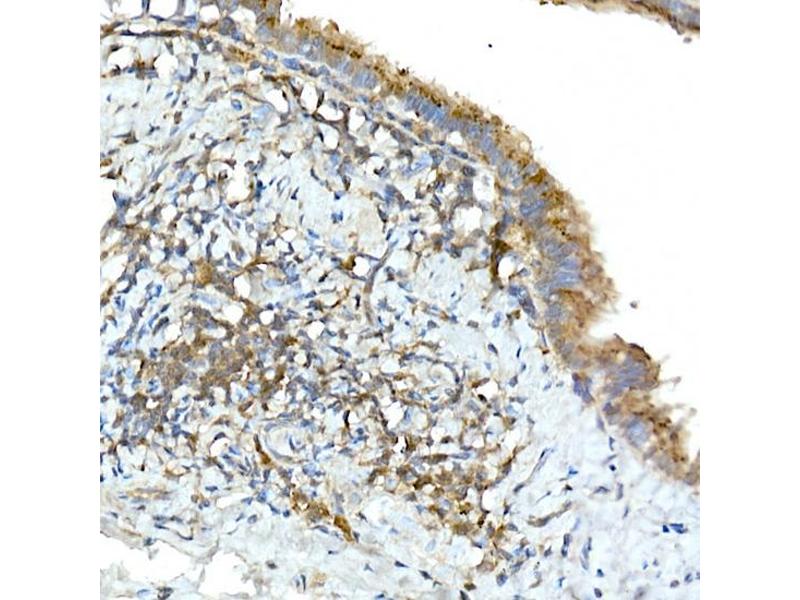
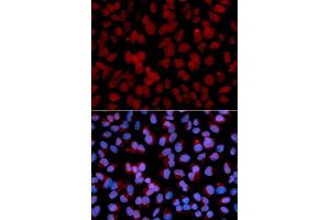
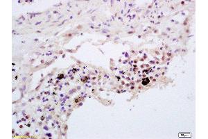
Wählen Sie einen von 64 TNFAIP3-Antikörpern aus unserem Produktangebot basierend auf 2 Publikationen und 26 Validierungsbilder.

Entdecken Sie zuverlässige TNFAIP3-Antikörper von einer großen Zahl namhafter Hersteller. Unser Portfolio ermöglicht eine präzise TNFAIP3-Detektion in verschiedenen Spezies, darunter Human, Mouse, Rat, Monkey, Dog, und unterstützt vielfältige Forschungsanwendungen wie WB, IF, ELISA, IHC, IF (cc).

Finden Sie schnell den passenden Antikörper mit unseren Such-, Filter- und Vergleichsfunktionen. Auf jeder Produktseite stehen Ihnen detaillierte Validierungsdaten, Literaturreferenzen und Kundenbewertungen zur Verfügung. Im Gegensatz zu reinen Vergleichsportalen können Sie Ihre Antikörper direkt über unsere Plattform erwerben. Wählen Sie aus polyklonalen, monoklonalen oder rekombinanten TNFAIP3-Antikörpern aus verschiedenen Wirtsarten wie Rabbit, Mouse, Goat. Durchstöbern Sie unten unsere Auswahl an TNFAIP3-Antikörpern und bestellen Sie direkt, um Ihre Forschung effizient voranzubringen.

Alternative Bezeichnungen für TNFAIP3 sind TNFAIP3, tnfaip3.S, Tnfaip3.

64 Treffer

TNFAIP3 Reaktivität: Human WB, IHC Wirt: Kaninchen Polyclonal unconjugated
Pubmed 1 reference
Produktnummer ABIN3022985
320,00 €
Zzgl. Versandkosten 20,00 € und MwSt
100 μL (Weitere Mengeneinheiten)
Lieferung nach: Deutschland
Lieferung in 7 bis 9 Werktagen
 
TNFAIP3 Reaktivität: Human, Maus, Ratte WB, ELISA, IHC, IF, ICC Wirt: Kaninchen Polyclonal unconjugated
Produktnummer ABIN6265632
525,71 €
Zzgl. Versandkosten 20,00 € und MwSt
100 μL (Weitere Mengeneinheiten)
Lieferung nach: Deutschland
Lieferung in 9 bis 11 Werktagen
 
TNFAIP3 Reaktivität: Human WB, IHC, ICC, IP Wirt: Kaninchen Polyclonal unconjugated
Produktnummer ABIN7443089
310,62 €
Zzgl. Versandkosten 20,00 € und MwSt
100 μL (Weitere Mengeneinheiten)
Lieferung nach: Deutschland
Lieferung in 11 bis 15 Werktagen
 
TNFAIP3 Reaktivität: Human WB, ELISA, IF Wirt: Kaninchen Polyclonal unconjugated
Produktnummer ABIN7173772
328,90 €
Zzgl. Versandkosten 20,00 € und MwSt
100 μg (Weitere Mengeneinheiten)
Lieferung nach: Deutschland
Lieferung in 11 bis 15 Werktagen
 
TNFAIP3 Reaktivität: Human WB, IHC Wirt: Kaninchen Monoclonal unconjugated
Produktnummer ABIN7271076
330,00 €
Zzgl. Versandkosten 20,00 € und MwSt
100 μL (Weitere Mengeneinheiten)
Lieferung nach: Deutschland
Lieferung in 7 bis 9 Werktagen
 
TNFAIP3 Reaktivität: Human, Maus, Ratte ELISA, IHC (p), IF (cc), IF (p), IHC (fro) Wirt: Kaninchen Polyclonal unconjugated
Produktnummer ABIN680938
357,70 €
Zzgl. Versandkosten 20,00 € und MwSt
100 μL
Lieferung nach: Deutschland
Lieferung in 8 bis 12 Werktagen
 
TNFAIP3 Reaktivität: Human, Maus, Ratte WB, IHC (p), EIA Wirt: Kaninchen Polyclonal unconjugated
Pubmed 1 reference
Produktnummer ABIN500994
864,62 €
Zzgl. Versandkosten 20,00 € und MwSt
0.1 mg
Lieferung nach: Deutschland
Lieferung in 16 Werktagen
 
TNFAIP3 Reaktivität: Human WB, IP Wirt: Maus Monoclonal 59A426  unconjugated
Produktnummer ABIN207992
722,92 €
Zzgl. Versandkosten 20,00 € und MwSt
0.1 mg
Lieferung nach: Deutschland
Lieferung in 15 bis 20 Werktagen
 
TNFAIP3 Reaktivität: Human, Maus WB, ELISA, IF Wirt: Kaninchen Polyclonal unconjugated
Produktnummer ABIN1533656
402,00 €
Zzgl. Versandkosten 20,00 € und MwSt
100 μL (Weitere Mengeneinheiten)
Lieferung nach: Deutschland
Lieferung in 6 bis 9 Werktagen
 
TNFAIP3 Reaktivität: Human ELISA Wirt: Kaninchen Polyclonal HRP
Produktnummer ABIN7173775
328,90 €
Zzgl. Versandkosten 20,00 € und MwSt
100 μg (Weitere Mengeneinheiten)
Lieferung nach: Deutschland
Lieferung in 11 bis 15 Werktagen
 
TNFAIP3 Reaktivität: Human Wirt: Kaninchen Polyclonal FITC
Produktnummer ABIN7173774
328,90 €
Zzgl. Versandkosten 20,00 € und MwSt
100 μg (Weitere Mengeneinheiten)
Lieferung nach: Deutschland
Lieferung in 11 bis 15 Werktagen
 
TNFAIP3 Reaktivität: Human ELISA Wirt: Kaninchen Polyclonal Biotin
Produktnummer ABIN7173773
328,90 €
Zzgl. Versandkosten 20,00 € und MwSt
100 μg (Weitere Mengeneinheiten)
Lieferung nach: Deutschland
Lieferung in 11 bis 15 Werktagen
 
TNFAIP3 Reaktivität: Human, Maus, Ratte ELISA, IHC (p), IHC (fro) Wirt: Kaninchen Polyclonal Biotin
Produktnummer ABIN680940
419,50 €
Zzgl. Versandkosten 20,00 € und MwSt
100 μL
Lieferung nach: Deutschland
Lieferung in 15 bis 22 Werktagen
 
TNFAIP3 Reaktivität: Human, Maus, Ratte IF (cc), IF (p) Wirt: Kaninchen Polyclonal AbBy Fluor® 647
Produktnummer ABIN918069
426,37 €
Zzgl. Versandkosten 20,00 € und MwSt
100 μL
Lieferung nach: Deutschland
Lieferung in 15 bis 22 Werktagen
 
TNFAIP3 Reaktivität: Human, Maus, Ratte IF (cc), IF (p) Wirt: Kaninchen Polyclonal AbBy Fluor® 555
Produktnummer ABIN918067
426,37 €
Zzgl. Versandkosten 20,00 € und MwSt
100 μL
Lieferung nach: Deutschland
Lieferung in 15 bis 22 Werktagen
 
TNFAIP3 Reaktivität: Human, Maus, Ratte IF (cc), IF (p) Wirt: Kaninchen Polyclonal AbBy Fluor® 350
Produktnummer ABIN918070
426,37 €
Zzgl. Versandkosten 20,00 € und MwSt
100 μL
Lieferung nach: Deutschland
Lieferung in 15 bis 22 Werktagen
 
TNFAIP3 Reaktivität: Human, Maus, Ratte IF (cc), IF (p) Wirt: Kaninchen Polyclonal AbBy Fluor® 488
Produktnummer ABIN918066
426,37 €
Zzgl. Versandkosten 20,00 € und MwSt
100 μL
Lieferung nach: Deutschland
Lieferung in 15 bis 22 Werktagen
 
TNFAIP3 Reaktivität: Human, Maus, Ratte IF (cc), IF (p) Wirt: Kaninchen Polyclonal AbBy Fluor® 750
Produktnummer ABIN5011750
426,37 €
Zzgl. Versandkosten 20,00 € und MwSt
100 μL
Lieferung nach: Deutschland
Lieferung in 15 bis 22 Werktagen
 
TNFAIP3 Reaktivität: Human, Maus, Ratte IF (cc), IF (p) Wirt: Kaninchen Polyclonal AbBy Fluor® 680
Produktnummer ABIN5011749
426,37 €
Zzgl. Versandkosten 20,00 € und MwSt
100 μL
Lieferung nach: Deutschland
Lieferung in 15 bis 22 Werktagen
 
TNFAIP3 Reaktivität: Human, Maus, Ratte IF (cc), IF (p) Wirt: Kaninchen Polyclonal AbBy Fluor® 594
Produktnummer ABIN2814996
426,37 €
Zzgl. Versandkosten 20,00 € und MwSt
100 μL
Lieferung nach: Deutschland
Lieferung in 15 bis 22 Werktagen
 
  • Typ Primary
    • Primary
  • Anwendung
    • Western Blotting (WB)
    • Immunofluorescence (IF)
    • ELISA
    • Immunohistochemistry (IHC)
    • Immunofluorescence (Cultured Cells) (IF (cc))
    • Immunofluorescence (Paraffin-embedded Sections) (IF (p))
    • Immunocytochemistry (ICC)
    • Flow Cytometry (FACS)
    • Immunohistochemistry (Paraffin-embedded Sections) (IHC (p))
    • Immunoprecipitation (IP)
    • Immunohistochemistry (Frozen Sections) (IHC (fro))
    • Enzyme Immunoassay (EIA)
    • Immunochromatography (IC)
    • Immunohistochemistry (Formalin-fixed Sections) (IHC (f))
  • Reaktivität
    • Human
    • Mouse
    • Rat
    • Monkey
    • Dog
  • In Publikationen zitiert
  • Abbildungen verfügbar
  • Nur ohne Konservierungsmittel
  • Carrier free only
  • Wirt
    • Rabbit
    • Mouse
    • Goat
  • Klonalität
    • Polyclonal
    • Monoclonal
  • Klon
    • 59A426
    • 59A426 
    • 775928
    • GCO-20
    • TS106
  • Bindungsspezifität
    • AA 51-150
    • AA 97-183
    • C-Term
    • AA 690-790
    • AA 1-190
    • AA 1-300
    • AA 241-356
    • AA 321-370
    • AA 340-390
    • AA 365-410
    • AA 525-575
    • AA 91-263
    • AA 92-263
    • Internal Region
  • Konjugat
    • Unkonjugiert
    • Biotin
    • FITC
    • Alexa Fluor 488
    • Alexa Fluor 555
    • Alexa Fluor 594
    • Alexa Fluor 647
    • Alexa Fluor 680
    • Alexa Fluor 750
    • HRP
    • AbBy Fluor® 350
    • AbBy Fluor® 488
    • AbBy Fluor® 555
    • AbBy Fluor® 594
    • AbBy Fluor® 647
    • AbBy Fluor® 680
    • AbBy Fluor® 750
    • Alexa Fluor 350
    • Alexa Fluor 405
    • Cy3
    • Cy5
    • Cy5.5
    • Cy7
  • Isotyp
    • IgG
    • IgG1 kappa
    • IgG2
    • IgG2b
  • Protein-Typ
    • Recombinant Antibody
  • Format
    • Liquid
    • Lyophilized
  • Hersteller
    • antibodies-online
    • Signalway
    • FabGennix
    • Abbexa
    • Acris
    • Assay Biotechnology Company, Inc.
    • Aviva Systems Biology
    • Boster Bio
    • RayBiotech
    • Rockland
    • USBio

Aktuelle Publikationen für unsere TNFAIP3 Antikörper

Ma, Xiao, Tian, Chen, Zhang, Wu, Wu, Li, Tang, Yang, Zhou, Wang, Su, Wang: "Genome-wide analyses of long non-coding RNA expression profiles and functional network analysis in esophageal squamous cell carcinoma." in: Scientific reports, Vol. 9, Issue 1, pp. 9162, (2019) (PubMed).

Bao, Fan, Zhao, Xu, Liu, Chao, Liu, You, Liu, Wang, Ji: "Silencing of A20 Aggravates Neuronal Death and Inflammation After Traumatic Brain Injury: A Potential Trigger of Necroptosis." in: Frontiers in molecular neuroscience, Vol. 12, pp. 222, (2019) (PubMed).

Lim, Maubach, Sokolova, Feige, Diezko, Buchbinder, Backert, Schlüter, Lavrik, Naumann: "Pathogen-induced ubiquitin-editing enzyme A20 bifunctionally shuts off NF-κB and caspase-8-dependent apoptotic cell death." in: Cell death and differentiation, Vol. 24, Issue 9, pp. 1621-1631, (2017) (PubMed).

He, Ma, Tian, Wei, Zhu, Li, Zhang, Wang, Zhang, Zhong: "ERRα negatively regulates type I interferon induction by inhibiting TBK1-IRF3 interaction." in: PLoS pathogens, Vol. 13, Issue 6, pp. e1006347, (2017) (PubMed).

Reihill, Malcomson, Bertelsen, Cheung, Czerwiec, Barsden, Elborn, Dürkop, Hirsch, Ennis, Kelly, Schock: "Induction of the inflammatory regulator A20 by gibberellic acid in airway epithelial cells." in: British journal of pharmacology, Vol. 173, Issue 4, pp. 778-89, (2016) (PubMed).

Zong, Li, Zeng, Fang, Zhao: "The Effects of Interleukin-17 (IL-17)-Related Inflammatory Cytokines and A20 Regulatory Proteins on Astrocytes in Spinal Cord Cultured In Vitro." in: Cellular physiology and biochemistry : international journal of experimental cellular physiology, biochemistry, and pharmacology, Vol. 38, Issue 3, pp. 1100-10, (2016) (PubMed).

Perez, Jukica, Listopad, Anders, Kühl, Loddenkemper, Blankenstein, Charo: "Permissive expansion and homing of adoptively transferred T cells in tumor-bearing hosts." in: International journal of cancer, Vol. 137, Issue 2, pp. 359-71, (2015) (PubMed).

De, Dainichi, Rathinam, Ghosh: "The deubiquitinase activity of A20 is dispensable for NF-κB signaling." in: EMBO reports, Vol. 15, Issue 7, pp. 775-83, (2014) (PubMed).

de Jong, Verhaar, Chen, Vader, Gremmels, Posthuma, Schiffelers, Gucek, van Balkom: "Cellular stress conditions are reflected in the protein and RNA content of endothelial cell-derived exosomes." in: Journal of extracellular vesicles, Vol. 1, (2013) (PubMed).

Lai, Wu, Tsai, Chuang, Chuang, Hsu, Lai: "Transcription of Tnfaip3 is regulated by NF-κB and p38 via C/EBPβ in activated macrophages." in: PLoS ONE, Vol. 8, Issue 9, pp. e73153, (2013) (PubMed).

Aliase für TNFAIP3 Antikörper

TNF alpha induced protein 3 (TNFAIP3) Antikörper
TNF alpha induced protein 3 S homeolog (tnfaip3.S) Antikörper
tumor necrosis factor, alpha-induced protein 3 (Tnfaip3) Antikörper
TNF alpha induced protein 3 (Tnfaip3) Antikörper
A20 Antikörper
MGC82339 Antikörper
OTUD7C Antikörper
TNFA1P2 Antikörper
tnfaip3 Antikörper
TNFAIP3 Antikörper
Tnfip3 Antikörper
Sie sind hier:
Chat with us!