Telefon:
+49 (0)241 95 163 153
Fax:
+49 (0)241 95 163 155
E-Mail:
orders@antikoerper-online.de

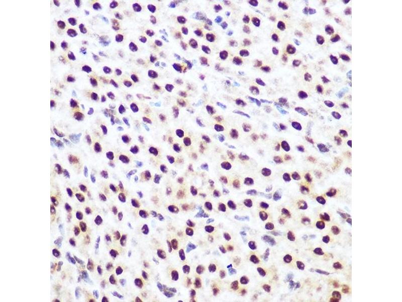
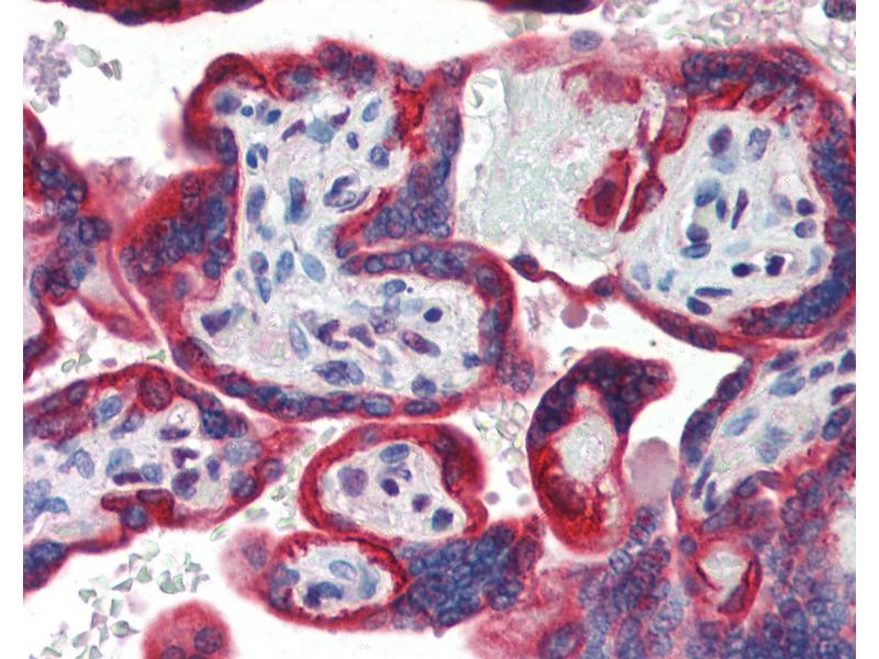
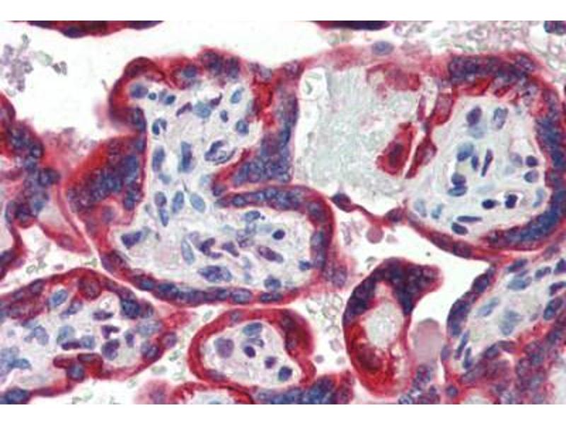
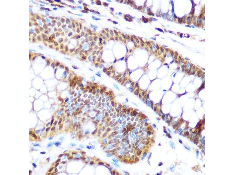
Sp3 Antikörper

(Sp3 Transcription Factor (Sp3))

Wählen Sie einen von 49 Sp3-Antikörpern aus unserem Produktangebot basierend auf 30 Validierungsbilder.

Entdecken Sie zuverlässige Sp3-Antikörper von einer großen Zahl namhafter Hersteller. Unser Portfolio ermöglicht eine präzise Sp3-Detektion in verschiedenen Spezies, darunter Human, Mouse, Rat, Guinea Pig, Horse, Rabbit, Cow, Dog, Bat, Monkey, Pig, und unterstützt vielfältige Forschungsanwendungen wie WB, ELISA, IF (cc), IF (p), IHC.

Finden Sie schnell den passenden Antikörper mit unseren Such-, Filter- und Vergleichsfunktionen. Auf jeder Produktseite stehen Ihnen detaillierte Validierungsdaten, Literaturreferenzen und Kundenbewertungen zur Verfügung. Im Gegensatz zu reinen Vergleichsportalen können Sie Ihre Antikörper direkt über unsere Plattform erwerben. Wählen Sie aus polyklonalen, monoklonalen oder rekombinanten Sp3-Antikörpern aus verschiedenen Wirtsarten wie Rabbit, Mouse. Durchstöbern Sie unten unsere Auswahl an Sp3-Antikörpern und bestellen Sie direkt, um Ihre Forschung effizient voranzubringen.

Alternative Bezeichnungen für Sp3 sind SP3, Sp3, sp3a, sp3.S.

49 Treffer

Sp3 Reaktivität: Human, Maus, Ratte WB, IHC Wirt: Kaninchen Polyclonal unconjugated
Produktnummer ABIN3043350
500,50 €
Zzgl. Versandkosten 20,00 € und MwSt
100 μg
Lieferung nach: Deutschland
Lieferung in 8 bis 12 Werktagen
 
Sp3 Reaktivität: Human WB, ELISA, IF Wirt: Maus Monoclonal 4E5 unconjugated
Produktnummer ABIN520406
651,20 €
Zzgl. Versandkosten 20,00 € und MwSt
100 μg
Lieferung nach: Deutschland
Lieferung in 8 bis 9 Werktagen
 
Sp3 Reaktivität: Human, Maus, Ratte, Meerschweinchen, Pferd, Kaninchen, Rind (Kuh), Hund, Fledermaus, Affe, Schwein WB, IHC, IHC (p) Wirt: Kaninchen Polyclonal unconjugated
Produktnummer ABIN6741550
512,07 €
Zzgl. Versandkosten 20,00 € und MwSt
100 μL
Lieferung nach: Deutschland
Lieferung in 15 bis 20 Werktagen
 
Sp3 Reaktivität: Human WB, IHC Wirt: Kaninchen Polyclonal unconjugated
Produktnummer ABIN6148314
320,00 €
Zzgl. Versandkosten 20,00 € und MwSt
100 μL (Weitere Mengeneinheiten)
Lieferung nach: Deutschland
Lieferung in 7 bis 9 Werktagen
 
Sp3 Reaktivität: Human, Maus, Ratte, Meerschweinchen, Pferd, Kaninchen, Rind (Kuh), Hund WB, IHC Wirt: Kaninchen Polyclonal unconjugated
Produktnummer ABIN2777872
534,11 €
Zzgl. Versandkosten 20,00 € und MwSt
100 μL (Weitere Mengeneinheiten)
Lieferung nach: Deutschland
Lieferung in 6 bis 9 Werktagen
 
KD Validated Sp3 Reaktivität: Human WB Wirt: Maus Polyclonal unconjugated
Produktnummer ABIN7800416
598,92 €
Zzgl. Versandkosten 20,00 € und MwSt
100 μL
Lieferung nach: Deutschland
Lieferung in 7 bis 10 Werktagen
 
Sp3 Reaktivität: Human WB, ELISA Wirt: Maus Monoclonal 3D4 unconjugated
Produktnummer ABIN520403
651,20 €
Zzgl. Versandkosten 20,00 € und MwSt
100 μg
Lieferung nach: Deutschland
Lieferung in 8 bis 9 Werktagen
 
Sp3 Reaktivität: Human WB, ELISA Wirt: Maus Monoclonal 4E12 unconjugated
Produktnummer ABIN1327086
651,20 €
Zzgl. Versandkosten 20,00 € und MwSt
100 μg
Lieferung nach: Deutschland
Lieferung in 8 bis 9 Werktagen
 
Sp3 Reaktivität: Human WB, ELISA Wirt: Maus Monoclonal 2F4 unconjugated
Produktnummer ABIN1327088
651,20 €
Zzgl. Versandkosten 20,00 € und MwSt
100 μg
Lieferung nach: Deutschland
Lieferung in 8 bis 9 Werktagen
 
Sp3 Reaktivität: Human ELISA, IHC Wirt: Kaninchen Polyclonal unconjugated
Produktnummer ABIN7172646
328,90 €
Zzgl. Versandkosten 20,00 € und MwSt
100 μg (Weitere Mengeneinheiten)
Lieferung nach: Deutschland
Lieferung in 11 bis 15 Werktagen
 
Sp3 Reaktivität: Human WB, ELISA Wirt: Kaninchen Polyclonal unconjugated
Produktnummer ABIN7180255
326,70 €
Zzgl. Versandkosten 20,00 € und MwSt
100 μL
Lieferung nach: Deutschland
Lieferung in 11 bis 15 Werktagen
 
Sp3 Reaktivität: Human, Maus, Ratte ELISA, IHC Wirt: Kaninchen Polyclonal unconjugated
Produktnummer ABIN791038
629,14 €
Zzgl. Versandkosten 20,00 € und MwSt
100 μL
Lieferung nach: Deutschland
Lieferung in 15 bis 20 Werktagen
 
Sp3 Reaktivität: Human, Maus WB, ELISA Wirt: Kaninchen Polyclonal unconjugated
Produktnummer ABIN6389803
377,51 €
Zzgl. Versandkosten 20,00 € und MwSt
100 μL (Weitere Mengeneinheiten)
Lieferung nach: Deutschland
Lieferung in 8 bis 10 Werktagen
 
Sp3 Reaktivität: Human WB, IF (cc), IF (p) Wirt: Kaninchen Polyclonal AbBy Fluor® 488
Produktnummer ABIN1695057
426,37 €
Zzgl. Versandkosten 20,00 € und MwSt
100 μL
Lieferung nach: Deutschland
Lieferung in 20 bis 25 Werktagen
 
Sp3 Reaktivität: Human WB, IF (cc), IF (p) Wirt: Kaninchen Polyclonal AbBy Fluor® 555
Produktnummer ABIN1696884
426,37 €
Zzgl. Versandkosten 20,00 € und MwSt
100 μL
Lieferung nach: Deutschland
Lieferung in 20 bis 25 Werktagen
 
Sp3 Reaktivität: Human WB, IF (cc), IF (p) Wirt: Kaninchen Polyclonal AbBy Fluor® 350
Produktnummer ABIN1693241
426,37 €
Zzgl. Versandkosten 20,00 € und MwSt
100 μL
Lieferung nach: Deutschland
Lieferung in 20 bis 25 Werktagen
 
Sp3 Reaktivität: Human WB, ELISA, IF (cc), IF (p), IHC (p), IHC (fro), ICC Wirt: Kaninchen Polyclonal unconjugated
Produktnummer ABIN1714010
357,70 €
Zzgl. Versandkosten 20,00 € und MwSt
100 μL
Lieferung nach: Deutschland
Lieferung in 8 bis 12 Werktagen
 
Sp3 Reaktivität: Human WB, ELISA, IHC (p), IHC (fro) Wirt: Kaninchen Polyclonal Biotin
Produktnummer ABIN1700508
419,50 €
Zzgl. Versandkosten 20,00 € und MwSt
100 μL
Lieferung nach: Deutschland
Lieferung in 20 bis 25 Werktagen
 
Sp3 Reaktivität: Human WB, IF (cc), IF (p) Wirt: Kaninchen Polyclonal Cy3
Produktnummer ABIN1702321
437,53 €
Zzgl. Versandkosten 20,00 € und MwSt
100 μL
Lieferung nach: Deutschland
Lieferung in 20 bis 25 Werktagen
 
Sp3 Reaktivität: Human WB, IF (cc), IF (p) Wirt: Kaninchen Polyclonal AbBy Fluor® 647
Produktnummer ABIN1698695
426,37 €
Zzgl. Versandkosten 20,00 € und MwSt
100 μL
Lieferung nach: Deutschland
Lieferung in 20 bis 25 Werktagen
 
  • Typ Primary
    • Primary
  • Anwendung
    • Western Blotting (WB)
    • ELISA
    • Immunofluorescence (Cultured Cells) (IF (cc))
    • Immunofluorescence (Paraffin-embedded Sections) (IF (p))
    • Immunohistochemistry (IHC)
    • Immunohistochemistry (Paraffin-embedded Sections) (IHC (p))
    • Immunofluorescence (IF)
    • Immunocytochemistry (ICC)
    • Immunohistochemistry (Frozen Sections) (IHC (fro))
    • Immunoprecipitation (IP)
  • Reaktivität
    • Human
    • Mouse
    • Rat
    • Guinea Pig
    • Horse
    • Rabbit
    • Cow
    • Dog
    • Bat
    • Monkey
    • Pig
  • Abbildungen verfügbar
  • Nur ohne Konservierungsmittel
  • Carrier free only
  • Wirt
    • Rabbit
    • Mouse
  • Klonalität
    • Polyclonal
    • Monoclonal
  • Klon
    • 2F4
    • 3D4
    • 4E12
    • 4E5
  • Bindungsspezifität
    • AA 651-750
    • AA 292-321
    • AA 301-384
    • C-Term
    • AA 287-430
    • AA 516-615
    • Center
    • Internal Region
    • N-Term
    • AA 1-74
    • AA 240-350
    • AA 287-336
    • AA 291-321
    • AA 32-81
    • AA 569-599
    • Middle Region
    • acLys551
  • Konjugat
    • Unkonjugiert
    • Biotin
    • FITC
    • HRP
    • APC
    • AbBy Fluor® 350
    • AbBy Fluor® 488
    • AbBy Fluor® 555
    • AbBy Fluor® 594
    • AbBy Fluor® 647
    • AbBy Fluor® 680
    • AbBy Fluor® 750
    • Cy3
    • Cy5
    • Cy5.5
    • Cy7
    • PE
  • Isotyp
    • IgG
    • IgG2a
    • Ig Fraction
    • IgG2b
  • Format
    • Liquid
    • Lyophilized
  • Grade
    • KD Validated
    • KO Validated
  • Hersteller
    • antibodies-online
    • Aviva Systems Biology
    • Cohesion Biosciences
    • Acris
    • Boster Bio
    • Enogene Biotech
    • ProSci
    • USBio

Aliase für Sp3 Antikörper

Sp3 transcription factor (SP3) Antikörper
trans-acting transcription factor 3 (Sp3) Antikörper
Sp3 transcription factor (Sp3) Antikörper
sp3a transcription factor (sp3a) Antikörper
Sp3 transcription factor S homeolog (sp3.S) Antikörper
D130027J01Rik Antikörper
SP3 Antikörper
sp3 Antikörper
SPR2 Antikörper
zgc:162922 Antikörper
Sie sind hier:
Chat with us!